Материал: Лучевая диагностика органов дыхания Онкология

Внимание! Если размещение файла нарушает Ваши авторские права, то обязательно сообщите нам

уже упомянутую диоксидглюкозу, меченную 18F (сокращенно ФДГ). Многие ФДГ называют молекулой века, настолько важную информацию можно получить с её использованием.

Рис. 5. ПЭТ – томограф, совмещенный с КТтомографом.

Недостатками радионуклидов для ПЭТ является необходимость использования для их производства дорогих циклотронов. Кроме того, такие радионуклиды имеют короткие периоды полураспада (периоды полураспада 15О и 18F составляют 2 мин и 110 мин, соответственно). Быстрый

распад требует достаточно близкого расположения циклотрона к лаборатории. Поэтому ПЭТ считается дорогостоящим исследованием.

ПЭТ позволяет:

-изучить кровоток и транзит жидкости в органах и тканях;

-исследовать метаболизм сахаров, жиров и белков;

-изучить процессы молекулярного транспорта;

-исследовать распределение лекарственных препаратов и их фармакокинетику.

Исторически развитие ПЭТ началось с 1970 г. и состояло из исследования функций сердца и мозга. Однако уже через 10 лет ПЭТ стали использовать для обнаружения онкологических заболеваний.

В ПЭТ – диагностике рака наиболее распространенным фармпрепаратом является вышеназванная ФДГ. Биохимически её состав очень похож на природную глюкозу. Диагностика основана на том, что многие раки используют глюкозу с повышенной частотой по сравнению

снормальными клетками. ФДГ, попадая в клеточную жидкость, превращается в ФДГ-6-фосфат.

Увеличенное его содержание будет свидетельствовать о наличии опухоли и её активности. ПЭТ с ФДГ считается эффективным средством для диагностики таких онкологических заболеваний, как:

единичные метастазы в лёгком и не мелкоклеточный рак,

меланомы,

лимфомы,

колоректальные раки,

раки головы-шеи,

раки пищевода,

продолженный рост рака молочной железы,

карцинома щитовидной железы.

Рис. 6. Скан всего тела мужчины с нормальным распределением ФДГ (чёрный цвет). Активность интенсивно аккумулируется в головном мозге, в фарингеальной области, в слюнных железах, в левом вентрикулярном миокардии (вариации), мочевыводящей системе и мочевом пузыре. Умеренная активность наблюдается в печени, селезёнке и яичках.

Следует оговориться, что к увеличению внутриклеточного использования ФДГ приводят нормальные и нераковые состояния: инфекция, воспаление, ателектаз, заживающие ткани, мускульная активность. То есть нормальные ткани или доброкачественные процессы могут маскироваться под злокачественную патологию.

Кроме того, есть раки, потребляющие ФДГ со скоростью нормальных тканей. Такая опухоль при ПЭТ остается невыявленной и непролеченной.

А

В

С

Рис. 7. Активность ФДГ в щитовидной железе может сильно отличаться: от нормальной - испещренная картина (А), ассиметричное накопление активности, связанное с мультицентричным зобом от хронического аутоиммунного тироидита (В), очень симметричное накопление, связанное с лимфомой с поражением щитовидной железы (С).

Рис. 8. ФДГ локализировано в местах введения препарата. Три области с умеренной активностью в бёдрах представляют собой места недавнего введения. Представлены метастазы в грудной области.

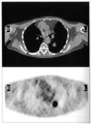
Рис. 9. Компьютерная томограмма (вверху) и ПЭТ– скан (внизу).

У пациента с раком пищевода и мочевого пузыря на ФДГ ПЭТ/КТ сканах в настоящее время представлена