Материал: Лучевая диагностика органов дыхания Онкология

Внимание! Если размещение файла нарушает Ваши авторские права, то обязательно сообщите нам

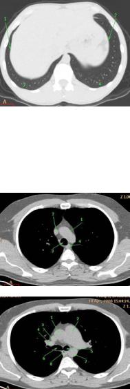
Рис. 27. КТ на уровне верхнего

средостения (уровень пяти сосудов)

в средостенном электронном окне:

1 – левая подключичная артерия; 2 – левая общая сонная артерия;

3 – правый плечеголовной артериальный ствол; 4 – левый плечеголовной венозный ствол;

5 – правый плечеголовной венозный ствол; 6 – трахея

Рис. 28. КТ на уровне дуги аорты в

средостенном электронном окне:

1– дуга аорты;

2– верхняя полая вена;

3– трахея;

4– пищевод

Рис. 29. КТ на уровне ствола ЛА в

средостенном электронном окне:

1– восходящая аорта; 2 – ствол легочной артерии;

3– верхняя полая вена;

4– ветвь правой легочной артерии;

5– левый главный бронх;

6– правый главный бронх;

7– нисходящая аорта;

8– пищевод

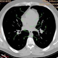
Рис. 30. КТ на уровне нижних

легочный вен в средостенном электронном окне: 1 – левый желудочек;

2 – правый желудочек;

3 – правое предсердие;

4 – левое предсердие;

5 – левая нижняя легочная вена; 6 – ветвь левой легочной

артерии; 7 – ветвь правой легочной артерии;

8 – нисходящая аорта;

9 – непарная вена;

10 – пищевод

Средостение представляет собой пространство в грудной полости, расположенное между листками медиастинальной плевры. Оно участвует в формировании срединной тени на рентгенограммах грудной полости в прямой проекции. Краеобразующими контурами средостения на прямой рентгенограмме являются крупные сосуды и сердце.

Анатомически средостение принято делить на верхнее и нижнее. Границами между ними является место прикрепления перикарда к крупным сосудам.

При рентгенологическом исследовании в средостении выделяют три вертикально расположенных отдела: передний, центральный и задний, а также три этажа: верхний, средний и нижний. Деление это условное и анатомические границы отсутствуют (рис. 31). Оно предназначено для систематизации и упрощения диагностики патологических образований.

а

б

Рис. 31. Схема (а) и рентгенограмма правая боковая (б) с обозначением органов средостения:

1– переднее средостение;

2– центральное средостение;

3– заднее средостение;

4– ретростернальное пространство и локализация вилочковой железы;

5– восходящая аорта;

6– сердце:

7– ретрокардиальное пространство;

8– грудная аорта;

9– левая ветвь легочной артерии;

10– дуга аорты

Установлено, что некоторые определенные патологические процессы, располагаются в строго определенных зонах средостения.

В переднем средостении расположены вилочковая железа, восходящая часть аорты, общий ствол легочной артерии, сердце, лимфатические узлы.

В центральном средостении находятся трахея и крупные бронхи, дуга аорты, правая и левая легочные артерии, лимфатические узлы.

В заднем средостении расположены пищевод, нисходящая часть аорты, нервы, лимфатические узлы.

Границы средостения в связи с внедрением КТ и МРТ претерпели некоторые коррективы. Переднее средостение представляет собой преваскулярное пространство, расположенное между грудиной и крупными сосудами. В структуру заднего средостения относят ретроваскулярное пространство, расположенное позади крупных сосудов и перикарда, и паравертебральные пространства.

Центральное средостение представляет собой сосудистое пространство и включает крупные артериальные и венозные сосуды, перикард и его содержимое, лимфтические узлы.

В переднем средостении чаще всего локализуются, опухоли вилочковой железы, тератомы, целомические кисты, липомы, аневризмы восходящей аорты (рис. 32).

В центральном средостении визуализируются патологические изменения лимфатических узлов, бронхогенные и энтерогенные кисты (рис. 33).

При наличии образований в заднем средостении следует предполагать неврогенные опухоли, аневризмы нисходящего отдела грудной аорты (рис. 34).

При наличии образования в верхнем этаже средостения прежде всего необходимо предполагать опухоли щитовидной железы.

Рис. 32. Схема расположения

патологических образования в переднем средостении:

1 – загрудинный зоб и опухоли щитовидной железы; 2 – опухоли вилочковой железы;

3– тератомы;

4– целомические кисты;

5– аневризмы восходящей аорты

Рис. 33. Схема расположения

патологических образования в центральном средостении:

1 – загрудинный зоб и опухоли щитовидной железы; 2 – патология

лимфатических узлов;

3– поражения пищевода;

4– бронхогенные и энтерогенные кисты

Рис. 34. Схема расположения

патологических образования в заднем средостении:

1 – неврогенные опухоли;

2 – аневризмы грудной аорты; 3 – поражения пищевода,

паратрахеальных лимфатических узлов