Материал: Sindromy_po_pulmonologii_dlya_pechati_Adamchika_2016_goda

Внимание! Если размещение файла нарушает Ваши авторские права, то обязательно сообщите нам

Рестриктивный тип нарушения вентиляции наблюдается при ограничении способности лѐгких к расширению и спадению (гидроторакс, пневмоторакс, пневмосклероз, кифосколиоз, массивные плевральные спайки, окостенение рѐберных хрящей, ограничение подвижности рѐбер). Из фаз дыхания страдает преимущественно вдох. При спирографическом исследовании наблюдается снижение ЖЕЛ и МВЛ.

Смешанный тип встречается при длительно текущих лѐгочных и сердечных заболеваниях и объединяет в себе признаки 2-х типов нарушения вентиляции (обструктивного и рестриктивного), часто с превалированием одного из них.

16

Различают три степени тяжести дыхательной недостаточности:

1степень - одышка возникает при доступных ранее физических нагрузках, цианоз отсутствует, утомляемость быстрая, вспомогательная дыхательная мускулатура в дыхании не участвует.

2степень - одышка возникает при привычных нагрузках, цианоз выражен нерезко, выражена утомляемость, при нагрузке в дыхании участвует вспомогательная мускулатура.

3степень - одышка в покое, цианоз, утомляемость выражена, в дыхании постоянно участвует вспомогательная мускулатура.

О наличие ДН и еѐ степени судят по выраженности таких клинических признаков, как одышка, тахикардия, цианоз и по изменению дыхательных объѐмов и ѐмкостей. Данные физикальных методов исследования будут зависеть от основного заболевания, с которым связано развитие дыхательной недостаточности.

Частная патология:

ОСТРЫЙБРОНХИТ Острый бронхит — острое диффузное воспаление слизистой оболочки брон-

хов (острый эндобронхит), реже — одновременно других оболочек стенки бронхов вплоть до тотального их поражения (панбронхит) без вовлечения паренхимы легких, проявляющееся кашлем (сухим или с выделением мокроты), которое продолжается до 3 недель.

Эпидемиология: Острый бронхит — одно из наиболее распространенных заболеваний дыхательных путей. Эпидемиология острого бронхита прямо связана с эпидемиологией гриппа и других респираторных вирусных инфекций. Типичными пиками нарастания частоты заболевания считают конец декабря и начало марта. Специальных исследований по эпидемиологии острого бронхита в России не проводили, поэтому истинная распространенность заболевания неизвестна, поскольку только больные с выраженными симптомами обращаются за медицинской помощью и попадают в статистическую отчетность, что составляет более 40% обращаемости в поликлинику, связанной с заболеваниями органов дыхания. По данным США, ежегодно острый бронхит переносят более 12 млн человек (5% жителей страны).

Этиология: Обычно выделяют два основных вида острого бронхита — вирусный и бактериальный, но возможны и другие, более редкие этиологические варианты (токсический, ожоговый). Последние редко наблюдаются изолированно, обычно служат компонентом системного поражения и рассматриваются в пределах соответствующих заболеваний.

К факторам риска острого бронхита относят:

а) иммунодефицитные состояния; б) пожилой или детский возраст; в) курение (в том числе пассивное);

г) воздушные поллютанты (пыль, химические агенты).

17

Этиология острого бронхита:

Возбудители

Характерные черты

 

 

Вирус гриппа А

Крупные эпидемии 1 раз в 3 года, захватывающие целые страны.

 

Наиболее частая причина клинически выраженного гриппа. Тяжелое

 

течение заболевания и высокая смертность во время эпидемий

 

 

Вирус гриппа В

Эпидемии 1 раз в 5 лет, пандемии реже, менее тяжелое течение, чем

 

при инфекции вирусом гриппа А

 

 

Парагрипп (типы 13)

Изолированные случаи, эпидемиологически не связанные между со-

 

бой

Аденовирусы

Изолированные случаи, эпидемиологически не связанные между со-

 

бой

Пневмококки

У людей среднего возраста или у пожилых. Внезапное начало. При-

 

знаки поражения верхних дыхательных путей

Микоплазмы

У людей старше 30 лет. Признаки поражения верхних дыхательных

 

путей на ранних стадиях. Сухой кашель

Haemophilus

Курящие и больные хроническим бронхитом

influenzae

 

 

 

Moraxella catarrhalis

Хронический бронхит и лица с иммунодефицитом

 

 

Классификация острого бронхита:

1. Этиологический фактор:

а) Острый инфекционный бронхит (вирусный, бактериальный, смешан-

ный).

б) Острый бронхит, вызываемый химическими и физическими факторами (токсический, ожоговый).

2. Патогенез:

а) Первичный бронхит.

б) Вторичный бронхит (при наличии первичной инфекции в верхних дыхательных путях).

3.Характер воспаления:

а) Катаральный. б) Гнойный.

в) Гнойно-некротический.

4.Преобладающая локализация поражения:

а) Проксимальный острый бронхит (поражение крупных бронхов). б) Дистальный острый бронхит (поражение мелких бронхов).

5. Течение процесса:

а) Острое (2-3 нед).

б) Затяжное (1 мес и более).

18

Патогенез: Начальное звено патогенеза острого бронхита — адгезия возбудителей (обычно вирусов) на эпителиальных клетках, выстилающих трахею и бронхи. Снижение эффективности физических факторов защиты (способность верхних дыхательных путей фильтровать вдыхаемый воздух и освобождать его от грубых механических частиц, изменять температуру и влажность воздуха, рефлексы кашля и чихания, мукоцилиарный клиренс) способствует инвазии патогена. Вероятность развития заболевания напрямую связана со снижением неспецифической резистентности дыхательных путей и иммунитета. Микроциркуляторные нарушения и аллергические реакции также способствуют развитию острого бронхита. В ответ на проникновение возбудителя развиваются гиперемия и отек слизистой оболочки бронхов, десквамация цилиндрического эпителия, появляется слизистый или слизисто-гнойный экссудат. Проникновению инфекционного агента способствует снижение фагоцитарной активности нейтрофилов и альвеолярных макрофагов. Воздействие возбудителя приводит к нарушению мукоцилиарного клиренса. Действие неблагоприятных условий окружающей среды, производственных факторов или курения также снижает скорость элиминации частиц с поверхности эпителия дыхательных путей. Гибель и слущивание эпителия бронхов, отек слизистой оболочки бронхов и гиперсекреция бронхиальных желез способствуют развитию обструктивного компонента. При повреждении эпителия бронхов его регенерация происходит в течение 2 нед. При повреждении подслизистой оболочки и при панбронхите восстановление может происходить в течение 3 мес.

Патоморфология: Острый бронхит чаще протекает по типу эндобронхита и характеризуется гиперемией и отеком слизистой оболочки дыхательных путей, десквамацией цилиндрического эпителия, образованием слизистого или слизисто-гнойного экссудата. Вместе с гибелью мерцательного эпителия увеличивается количество бокаловидных клеток. Патоморфологическая картина зависит от типа бронхита. Проходимость мелких бронхов и бронхиол нарушается вследствие скопления воспалительного экссудата и десквамации эпителия бронхов.

Клиническая картина:

Острый бронхит чаще носит характер нисходящей инфекции. Он обычно развивается (нередко в сочетании с трахеитом) сразу после острого респираторного заболевания или одновременно с ним либо после воздействия химических или физических факторов, нарушающих механизмы естественной защиты дыхательных путей и приводящих к начальному неинфекционному воспалению. Инкубационный период инфекции продолжается 3-5 дней. В это время у больного преобладают симптомы острого респираторного заболевания (общее недомогание, насморк, головная боль, фебрильная или субфебрильная лихорадка и, как правило, умеренная гиперемия зева) либо симптомы раздражения дыхательных путей (в первую очередь, сухой кашель). Диагноз «острый бронхит» выставляют при наличии остро возникшего кашля, продолжающегося не более 3 нед (вне зависимости от наличия мокроты), при отсутствии признаков пневмонии и хронических заболеваний легких, которые могут быть причиной кашля.

Жалобы. Заболевание начинается с появления мучительного сухого кашля. Через 2-3 дня кашель может стать влажным с отделением слизистой мокроты. В случае присоединения бактериальной инфекции мокрота становится слизистогнойной, реже — гнойной. Иногда при тяжелых длительных приступах кашля в мокроте появляются прожилки крови. Кашель сопровождается саднящей болью за грудиной и болью соответственно расположению диафрагмы. Нередко кашель нарушает сон больного. При присоединении бронхиолита развиваются экспираторная одышка, цианоз и прочие признаки дыхательной недостаточности. Слабость, повыше-

19

ние температуры тела до фебрильных значений обычно связаны с острым респираторным заболеванием либо с развитием бронхиолита.

Объективное обследование. Голосовое дрожание и перкуторный звук обычно не меняются. Аускультативно выявляют жесткое дыхание, хрипы: на ранних стадиях заболевания — сухие, различной тональности, а с появлением мокроты — влажные, меняющие свой характер после откашливания.

Лабораторные исследования:

Общий анализ крови: умеренный нейтрофильный лейкоцитоз и небольшое увеличение СОЭ.

Биохимический анализ крови. Возможно появление СРВ, повышение концентрации сиаловых кислот, α2-глобулиновой фракции белков плазмы.

Бактериоскопия мокроты, окрашенной по Граму, позволяет оценить тип па-

тогенной микрофлоры и обоснованно назначить антибактериальный препарат. Всем кашляющим и выделяющим мокроту более 2 нед необходима бактериоскопия мазка мокроты, окрашенного по Цилю-Нильсену, для исключения туберкулеза. Бактериологическое исследование мокроты дает возможность более точно идентифицировать возбудителя и оценить его чувствительность к антибиотикам.

Инструментальные исследования:

Исследование функции внешнего дыхания (ФВД) позволяет свое-

временно выявить нарушения бронхиальной проходимости, которые могут быть диагностированы при спирометрии, записи кривой «поток-объем» либо при широко доступной пикфлоуметрии. Обструктивный синдром особенно характерен для бронхиолита.

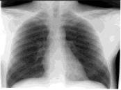
Рентгенологическое исследование органов грудной клетки. Показано при сохранении симптомов острого бронхита более 10 дней (в пределах этого срока при благоприятном течении заболевания должна быть положительная динамика) либо в случае, когда пациент с кашлем последние 2 года не проходил планового флюорографического обследования. При остром бронхите ло кальные изменения легочной ткани (очаги, инфильтраты, фокусы, кольцевидные тени) отсутствуют, иногда наблюдают усиление легочного рисунка.

Бронхоскопия. Не относится к обязательным исследованиям при остром бронхите. При диагностической фибробронхоскопии выявляют катаральный или гнойный эндобронхит и исключают более серьезные заболевания.

20