Материал: Панкреатит_2019

Внимание! Если размещение файла нарушает Ваши авторские права, то обязательно сообщите нам

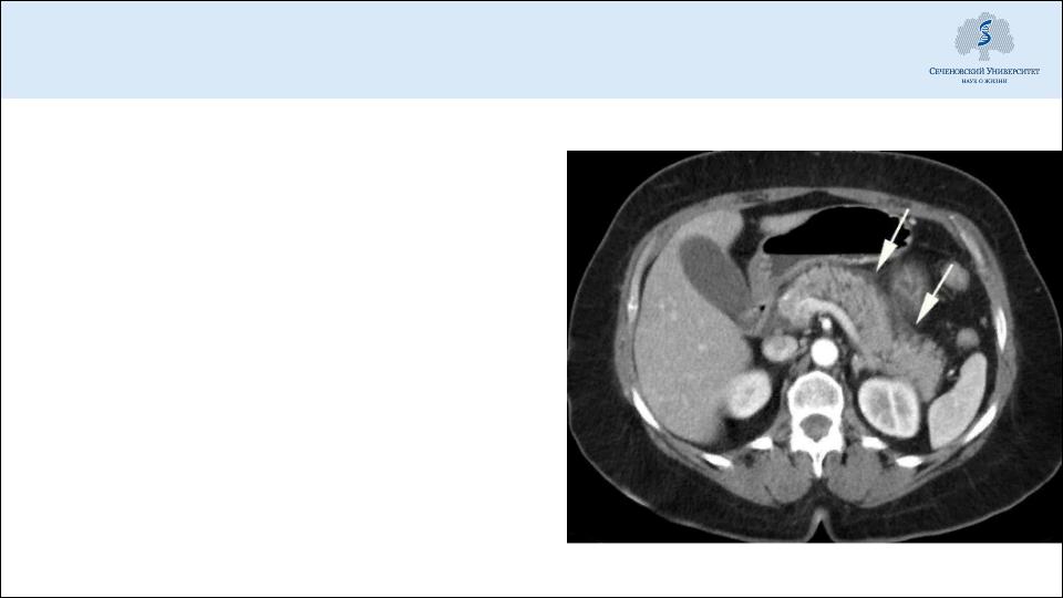
Диагностика: компьютерная томография

Выявление некрозов, их распространенности

Выявление местных осложнений панкреатита

Оптимальный срок выполнения – 72 ч от начала заболевания (время формирования некрозов)

При тяжелом остром панкреатите (панкреонекрозе) – динамическая КТ (раз в 4-7 дней) для контроля воспалительного процесса, изменений в поджелудочной железе, забрюшинной клетчатке etc.

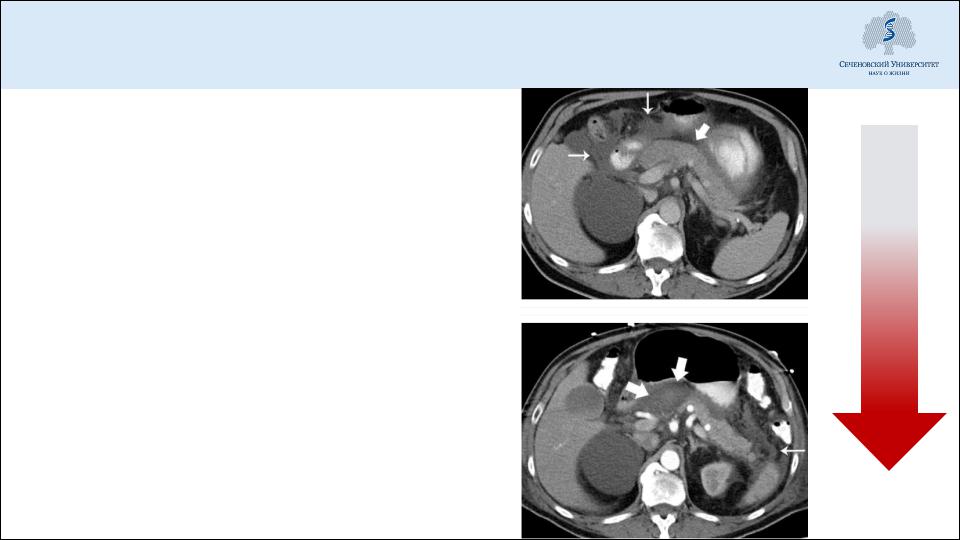
Диагностика: компьютерная томография

Выявление некрозов, их распространенности

Выявление местных осложнений панкреатита

Оптимальный срок выполнения – 72 ч от начала заболевания (время формирования некрозов)

При тяжелом остром панкреатите (панкреонекрозе) – динамическая КТ (раз в 7-15-20 сутки) для контроля воспалительного процесса, изменений в поджелудочной железе, забрюшинной клетчатке etc.a

72 ч

Диагностика: компьютерная томография

CT severity index (индекс Бальтазара)

Степень

Характеристика

Баллы

А

Нормальный вид

0

B

Увеличение размеров

1

С

Воспаление парапанкреатической клетчатки

2

 

 

 

D

Увеличение железы и жидкость в одном парапанкреатическом пространстве

3

 

 

 

E

Жидкость в >2 областях парапанкреатической клетчатки

4

 

 

 

Площадь некроза

<30%

2

в % от паренхимы

 

 

30-50%

4

 

 

>50%

6

 

 

 

0-3 балла – панкреатит легкого течения

4-6 баллов – среднетяжелого течения

7-10 баллов – тяжелого течения

Диагностика: шкала APACHE II

Диагностика: критерии Ranson