Материал: лекция-4

Внимание! Если размещение файла нарушает Ваши авторские права, то обязательно сообщите нам

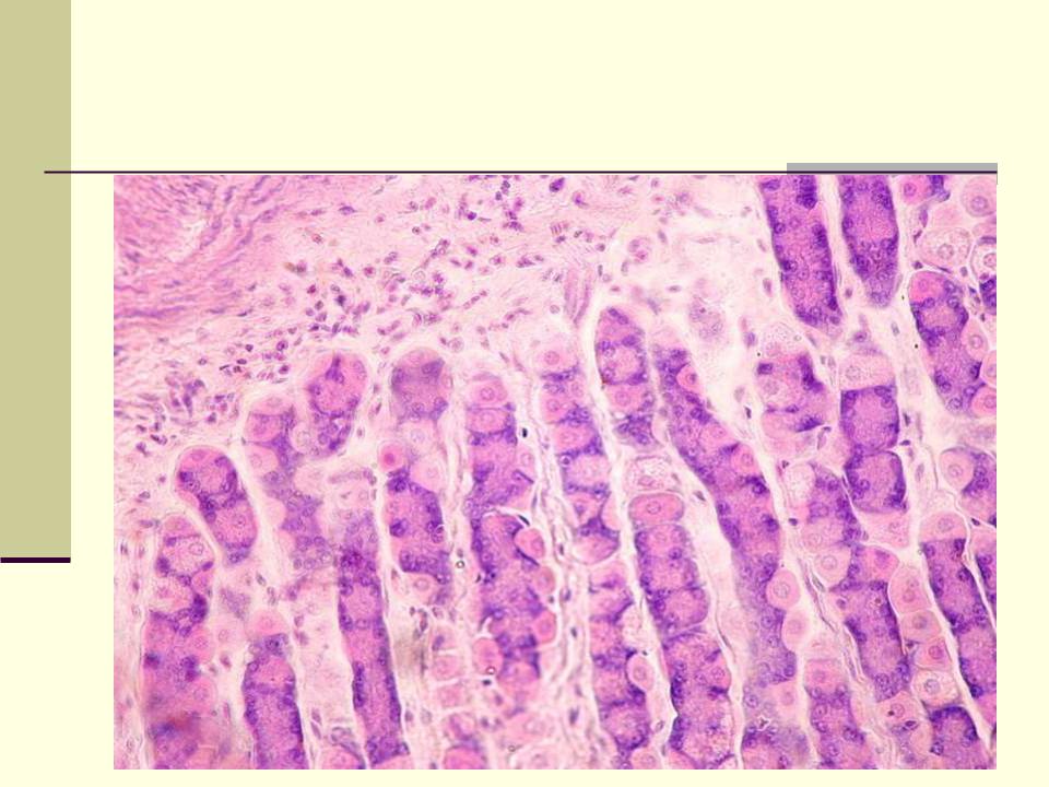
Собственные железы (фундальные)

располагаются области тела и дна желудка

и численно преобладают. Имеют вид узких трубок.

В железе выделяют шейку, тело и дно. Железа состоит из 4-х типов клеток:

главных

париетальных

Слизисто-шеечных

эндокринных.

Главные клетки

– наиболее многочисленные.

Локализация - тело и дно желез, цитоплазма

клеток базофильно окрашена.

Клетки участвуют в образовании ферментов

желудочного сока (пепсиноген, химозин,

липаза).

Естественные стимуляторы этих клеток - пища

и эндокриноциты.

Париетальные (обкладочные)

преобладают в верхней части железы, крупнее

 

главных и располагаются снаружи от них,

 

цитоплазма оксифильная. Лежат поодиночке.

 

Много митохондрий и содержат особые

 

внутриклеточные секреторные канальцы. Клетки

 

секретируют ионы водорода и хлора, ионы

 

соединяясь, образуют соляную кислоту (рН 2,0).

Соляная кислота обеспечивает:

1.

разрушение белков,

2.

угнетение роста патогенных микроорганизмов.

3.

превращение пепсиногенов в пепсин

 

Секреция париетальных клеток стимулируется

 

гистамином, гастрином и ацетилхолином.

Также клетки синтезируют и выделяют антианемический фактор.

Железы желудка

Слизисто - шеечные клетки

располагаются в шейке железы. Небольших

размеров со слабобазофильной зернистой

цитоплазмой.

Функции:

-участвуют в обновлении покровного

эпителия с высокой скоростью (3-4 суток)

-участвуют в образовании всех типов клеток собственных желез.

-содержат кислые мукополисахариды,

обеспечивающие собственную защиту клеток от самопереваривания.