Материал: лекция-4

Внимание! Если размещение файла нарушает Ваши авторские права, то обязательно сообщите нам

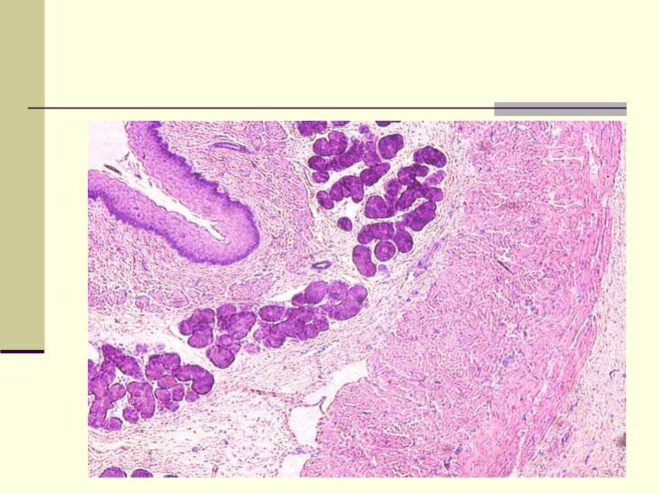
2. Подслизистая основа образована РВСТ с высоким содержанием эластических

волокон.

В этой оболочке содержится другой

вид желез, а именно концевые

отделы собственных желез

пищевода. Вырабатывают: слизь,

антибактериальное

вещество –

лизоцим, а также

бикарбонатные

ионы (защищают

эпителий от

кислот).

 

Подслизистое нервное сплетение МЕЙСНЕРА.

3. Мышечная оболочка – образована: внутренним циркулярным и наружным продольным слоями.

-В верхней части пищевода эти слои представлены: поперечно-полосатой тканью

-в нижней части – гладкомышечной тканью

-в средней – их сочетание.

Нервное сплетение АУЭРБАХА.

4.Адвентициальная оболочка – образована РВСТ.

Вбрюшном отделе (ниже диафрагмы) сменяется на серозную оболочку.

Пищевод

Пищевод

ЖЕЛУДОК

ФУНКЦИИ:

1.Химическая обработка пищи.

2.Механическая. В желудке происходит перемешивание и перетирание пищи до полужидкой консистенции (химус).

3.Секреция антианемического фактора, способствующего всасыванию из пищи витамина В12.

4.Всасывание ряда веществ (воды, соли, сахара, солей, спиртов, некоторых лекарственных веществ др.)

5.Экскреторная – выведение продуктов обмена через слизистую оболочку (аммиак, мочевина).

6.Эндокринная, гормон-секретирующая функция - образование гормонов (серотонин, гистамин, гастрин, соматостатин, простагландины), участвующих в регуляции секреторной и двигательной активности.

7.Участвует в регуляции водно-солевого обмена и рН крови