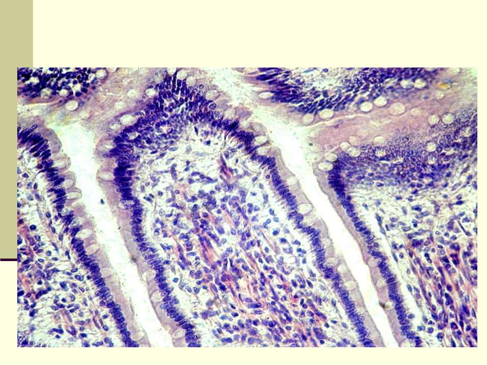
Однослойный однорядный цилиндрический эпителий тонкого кишечника содержит 5 типов клеток:
каемчатые
бокаловидные
клетки с ацидофильными гранулами
(клетки Панета)
недифференцированные или малодифференцированные — бескаемчатые
Эндокринные (всего 19 типов
эндокриноцитов. Наиболее распространены
— ЕС, J, S, К, D клетки).
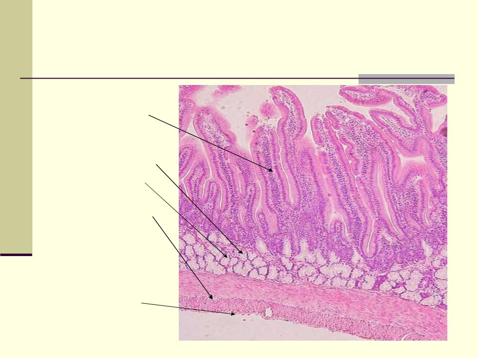
Кишечная ворсинка
пейерова бляшка
Мышечная оболочка
Внутренний — циркулярный
межмышечное нервное сплетение — Ауэрбаха
Наружный — продольный
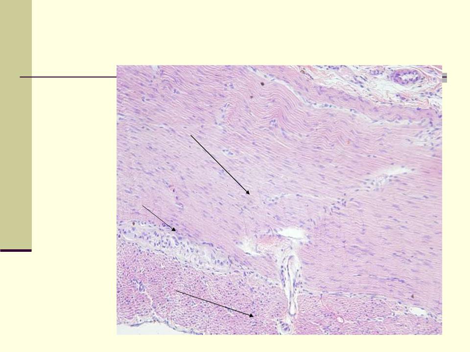
Двенадцатиперстная кишка
Слизистая оболочка
Подслизистая основа
Бруннеровы железы
Мышечная оболочка
Серозная оболочка