Материал: лекция-4

Внимание! Если размещение файла нарушает Ваши авторские права, то обязательно сообщите нам

Эндокриноциты:

Энтерохромафинные (ЕС) образуют:

1.серотонин - стимулирует секреторную и двигательную активность клеток желудка;

2.мелатонин - контролирует фотопериодичность секреции;

3.эндорфин - морфиноподобный гормон, подавляет болевые ощущения.

Энтерохромафиноподобные клетки (ECL) вырабатывают:

- гистамин - активируют париетальные клетки.

G- клетки вырабатывают:

- гастрин. Стимулирует главных, париетальных клеток, а также моторику желудка

D-клетки вырабатывают: соматостатин - обладает местным ингибирующим действием на синтез ферментов, гормонов, соляной кислоты.

Д-1клетки секретируют: вазоинтестинальний пептид (ВИП). Снижает АД, стимулирует выделение гормонов поджелудочной железы.

Р-клетки бомбезин. Стимулирует париетальные клетки, секрецию ферментов поджелудочной железы, усиливает сокращение ГМК желчного пузыря.

Кардиальные железы – трубчатые, с сильно разветвленным концевым отделом, располагаются в

кардиальной части желудка.

Образованы: слизистыми, отдельными главными, париетальными и эндокринными клетками.

Пилорические трубчатые, с сильноразветвленными и извитыми концевыми отделами, располагаются в пилорическом отделе.

Образованы слизистыми и отдельными эндокринными клетками.

Пилорические железы :

-занимают 1/2 толщины слизистой оболочки,

-расположены редко,

-просветы широкие,

-нет париетальных клеток.

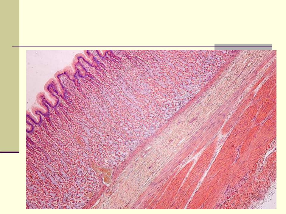
Желудок (малое увеличение)

ФУНКЦИИ тонкой кишки:

Окончательная химическая обработка — переваривание питательных веществ. Расщепление белков, жиров и углеводов до простых соединений.

Всасывание продуктов расщепления питательных веществ в кровь и лимфу.

Механическая функция — проталкивание содержимого кишки (химуса) в дистальном направлении.

Эндокринная - благодаря очень большому числу клеток диффузной эндокринной системы (ДЭС).

Иммунная – благодаря скоплению лимфоидной ткани.

ТОНКАЯ КИШКА

Слизистая

оболочка

Подслизистая

основа

Мышечная

оболочка

Серозная

оболочка