Материал: лекция-4

Внимание! Если размещение файла нарушает Ваши авторские права, то обязательно сообщите нам

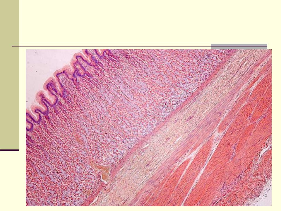
СЛИЗИСТАЯ оболочка желудка состоит из:

Эпителия

Собственной пластинки

Мышечной пластинки

Желудок (малое увеличение)

Эпителий. Тип строения:

Однослойный

Призматический

Железистый

Одинаковый во всех отделах желудка.

Покровные эпителиоциты, выстилают внутреннею поверхность желудка.

Функции - образование слизи и простогландинов. Слизь – это защита эпителия от повреждений.

Она обладает бактерицидными и буферными свойствами.

Простогландины осуществляют контроль за слизеобразованием.

Эпителий желудка

Собственная пластинка слизистой оболочки:

Образована РВСТ с большим кол-вом

кровеносных и лимфатических сосудов.

Здесь располагаются железы желудка:

собственные (фундальные)

кардиальные

пилорические.