Материал: лекция-4

Внимание! Если размещение файла нарушает Ваши авторские права, то обязательно сообщите нам

Желудочный сок (состав):

Ферменты в основном секретируются главными

клетками желез:

пепсиноген (расщепляет белки до пептонов),

химозин (створаживает молоко),

липаза (переваривание жиров),

лизоцим (расщепление оболочек бактерий)

Соляная кислота. Образование ионов водорода и хлора происходит с помощь париетальных

клеток желез.

Слизь. Существует в 2 формах:

нерастворимая фракция - покрывает

поверхность слизистой оболочки;

растворимая фракция - образует коллоидную

систему.

Антианемический фактор. Образуется париетальными клетками. Необходим для всасывания витамина В12, который обязателен для эритропоэза.

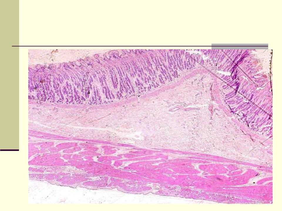
Строение желудка

АНАТОМИЧЕСКИ выделяют:

(Четыре части)

Кардиальная

Тело

Дно

Пилорическая

ГИСТОЛОГИЧЕСКИ выделяют:

Слизистую оболочку

Подслизистую

оболочку

Мышечную оболочку

Серозную оболочку

Оболочки желудка

Рельеф слизистой оболочки желудка:

Складки образованны слизистой и

подслизистой оболочками

желудочные поля (участки, ограниченные друг от друга бороздками)

желудочные ямки (щелевидные

вдавления покровного эпителия в собственную пластинку, в которые

открываются железы желудка).