Материал: Ключевые слайды по РА 4 курс

Внимание! Если размещение файла нарушает Ваши авторские права, то обязательно сообщите нам

Ревматоидный артрит: принципы формулировки диагноза 1/2

Активность болезни:

•0

– ремиссия (DAS28<2,6);

•1

– низкая активность (2,6 < DAS28 < 3,2);

•2

- средняя активность (DAS28 =3,2- 5,1);

•3

– высокая активность (DAS28 > 5,1) Иммунологические нарушения:

• серопозитивный;

• серонегативный;

• АЦЦПпозитивный;

• АЦЦПнегативный

Клиническая стадия:

Очень ранняя – длительность болезни < 6 мес.

Ранняя стадия – от 6 мес. до 1 года;

Развернутая стадия – более 1 года;

Поздняя стадия - ≥ 2 года + выраженные деструктивные изменения в суставах

4 курс Дисциплина: факультетская терапия

Выполнили: Осипянц Р.А., Троицкая Е.А.

Российские клинические рекомендации. Ревматология. Под ред. акад. Е.Л. Насонова, 2017

Smolen J.,Aletaha D., McInnes I. Rheumatoid arthritis // Lancet.2016

Ревматоидный артрит: принципы формулировки диагноза 2/2

Рентгенологическаястадия (поШтейнброкеру):

I – околосуставнойостеопороз (ОП);

II - ОП + сужениесуставной щели, единичныеэрозии;

III – тоже + множественныеэрозии + подвывихи;

IV – тоже + костныйанкилоз

Формы:

эрозивная

неэрозивная

Функциональныйкласс (ФК):

•I – полностью сохранены самообслуживание, непрофессиональная и профессиональная деятельность;

•II – сохранены самообслуживание и профессиональная деятельность, ограничена непрофессиональная деятельность;

•III – сохранено самообслуживание, ограничены непрофессиональная и профессиональная деятельность;

•IV - ограничены самообслуживание, непрофессиональная и профессиональная деятельность

4 курс Дисциплина: факультетская терапия

Выполнили: Осипянц Р.А., Троицкая Е.А.

Российские клинические рекомендации. Ревматология. Под ред. акад. Е.Л. Насонова, 2017

Smolen J.,Aletaha D., McInnes I. Rheumatoid arthritis // Lancet.2016

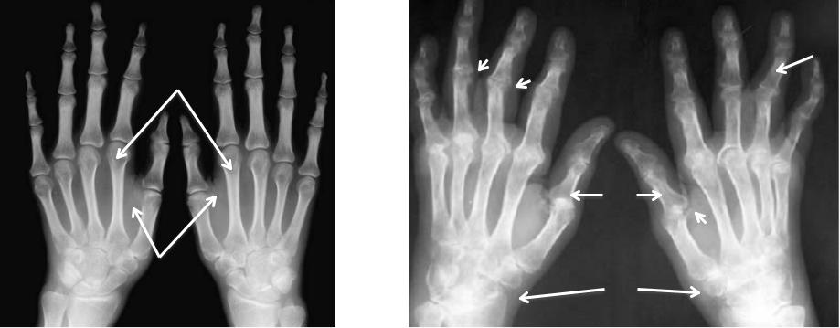
Рентгенологические изменения суставов кистей при РА

 

1

2

1

1

 

 

 

 

 

2

 

 

1

 

2

 

А

Б

3

 

А. I рентгенологическая стадия:

1– околосуставной остеопороз 2 – отек мягких тканей

Б. IV рентгенологическая стадия

1– Эрозии суставных поверхностей

2 – подвывихи в пястнофаланговых и межфаланговых суставах

3 – анкилоз костей запястья

4 курс Дисциплина: факультетская терапия

Выполнили: Осипянц Р.А., Троицкая Е.А.

Дополнительные инструментальные методы

Рентгенография (КТ) органов грудной клетки

МРТ суставов

Ультразвуковое исследование o кисти

o крупных суставов

Российские клинические рекомендации. Ревматология. Под ред. акад. Е.Л. Насонова, 2017

Особые клинические формы

Синдром Фелти:

серопозитивный РА

спленомегалия

нейтропения <2000 клеток/мл

язвы нижнихконечностей

Болезнь Стилла взрослых – серонегативное аутовоспалительное заболевание:

лихорадка

макулопапулезная сыпь

боль в горле

лимфаденопатия и/или спленомегалия

лейкоцитоз >10х109/л.

Российские клинические рекомендации. Ревматология. Под ред. акад. Е.Л. Насонова, 2017