Материал: Итог1

Внимание! Если размещение файла нарушает Ваши авторские права, то обязательно сообщите нам

Макропрепарат: видалена некротизована шкіра і підшкірна клітковина, залишки гнійних мас на відкритих м’язах.

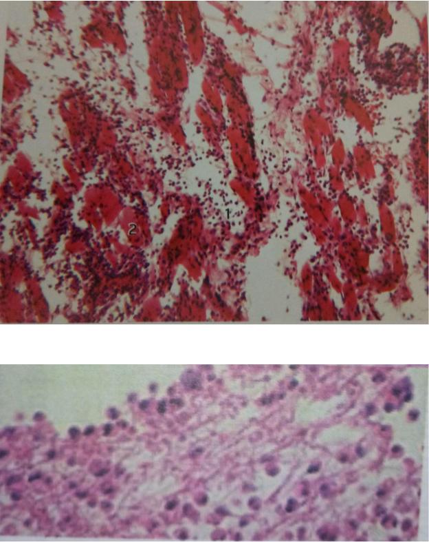
Мікропрепарат флегмона скелетного м’яза: дифузна масивна лейкоцитарна іфільтрація сполучної тканини(1).фрагменти м’язових волокон подекуди некротизовані(2).

Мікропрепарат: на тлі повнокров’я (1) та набряку (2) – широкі поля лейкоцитарної інфільтрації тканини.

80.Багатовузловий колоїдний зоб

Макропрепарати:

Розміри і маса щитовидної залози частіше збільшені, поверхня горбиста, з декількома вузлами різної величини, щыльноеластичноъ консистенціъ, капсула былувата, на розрізі (2-ий мал.) представлена конгломератом вузлів різного розміру, жовтувато-коричневого кольору, зернистого вигляду, з білими прошарками і рубцями, вогнищами крововиливів, гемосидерозу.

Мікропрепарати: Вузловий колоїдний мікро-макрофолікулярний