Материал: Итог1

Внимание! Если размещение файла нарушает Ваши авторские права, то обязательно сообщите нам

клітин епітелію. Місцями видно розриви базальних мембран канальців (тубулорексис). Набряк строми. Клубочки і епітелій прямих канальців збережені.

Селезінка та печінка при хворобі Гоше

Макро-Структура печінки та селезінки

змінена. Видни осередки, які побудовані з

великих клітин.

Мікро-цитоплазма цих клітин пінистого виду, блідо-блакитного кольору. Це клітини ретікулогістіоцітарной походження, навантажені липоидо цереброзидів-керазину (клітини Гоше). Лімфоїдні фолікули збереглися про вигляді невеликих острівців з дрібних клітин з гіперхромними ядром.

8. Сагова селезінка

Опис

 

 

 

макропрепарату

Опис

мікропрепарату

Селезінка набуває світло-вишневого кольору,Амілоїд

відкладається тільки в лімфатичних

дещо збільшена у розмірі, консистенція

фолікулах (у білій пульпі) (у вигляді амфорної

ущільнена.

рожевої речовини), викликає цим самим

 

 

 

 

Амілоїдно-змінені фолікули селезінки на

атрофію лімфоїдної тканини. Остання

розрізі мають вигляд дрібних напівпрозорихзберігається тільки при наявності центральних

зерен, які нагадують зерна саго і дещо

артерій фолікулів.

підвищуються над поверхнею розрізу.

 

9. Гіалиноз капсули селезінки. "Глазурна селезінка."

макропрепарат - селезінка.

Маса і розміри органу не збільшені, форма збережена

Капсула нерівномірно потовщена, блискуча, щільна.

Колір капсули - білий, вона крупнобугристая, причому бугристость більш виражена спереду. Поглиблення різні за розміром.

Мікроскопічно: Гіаліноз може розвинутися в результаті плазматичного просякання, фібриноїдного набухання, запалення, некрозу, склерозу. У капсулі селезінки гіалиноз розвивається як результат склерозу. Сполучна тканина набухає, її пучки зливаються в однорідну щільну, хрящеподібну масу, клітини стискаються, атрофуються. Тканина стає щільною, блискучою, напівпрозорою. На ряду з гіалінозом сполучної тканини в селезінці може бути присутнім місцевий гіаліноз артеріол. При цьому утворюється простий гіалин (внаслідок пропотівання незмінених або малозмінених компонентів плазми крові).

Вихід:

1) сприятливий:

а) був можливий лише як стадія процесу при його стабілізації і розсмоктуванні гіалинових мас;

б) несприятливий - найбільш частий: порушення функції органу, обмеження його функціональних можливостей.

Посттуберкульозні петрифікати в легені (вогнище Гона)

Макропрепарат:

Субплевральні, дрібні вогнища звапнування

(відкладення солей

кальцію або петрифікати) проявляються як ділянки

кісткової щільності у

верхніх долях легень (вогнища перенесеного

первинного

туберкульозу, що загоїлись) білого кольору, щільної

консистенції, з

чіткими межами. Плевра над ними втягнена,

склерозована (потовщена, ущільнена, сірого кольору).

 

Мікропрепарат: Дистрофічне звапнування (змішана дистрофія) на

 

мікропрепараті виявляються відкладення солей кальцію,

 

зафарбованих темно-фіолетовим кольором. Інкапсульований

осередок

казеозного некрозу (рожевий колір).

16.Волога

гангрена

нижньої

кінцівки

Макропрепарат представлений ампутованою нижньою кінцівкою на рівні стопи. Некротизовані м’які тканини (тил стопи і пальці) набряклі, брудного ціанотично-багрового кольору, відзначається відшарування ділянок шкіри. Уражена зона нечітко відмежована від інтактних тканин. З великою долею ймовірності, волога гангрена може бути наслідком порушення кровопостачання дистальних відділів нижньої кінцівки, зокрема, при атеросклерозі в поєднанні з тромбозом або емболією судин. Виникненню артеріальної оклюзії сприяють гіпертонічна хвороба, гіперліпідемія, куріння.

Мікропрепарат: Зона некрозу гомогенна, еозинофільна. Можемо спостерігати каріорексис, каріопікноз та каріолізис.

89. Пневмоцистна пневмонія при ВІЛ-інфекції/СНІДі

Макропрепарат представлений збільшеними легенями, з крововиливами різної консистенції. У бронхах накопичується гнійний ексудат.

Мікропрепарат: в просвіті альвеол пінисті еозинофільні маси, міжальвеолярні перетинки і строма легень з дифузним запальним інфільтратом, переважають лімфоцити, макрофаги, запальна гіперемія.

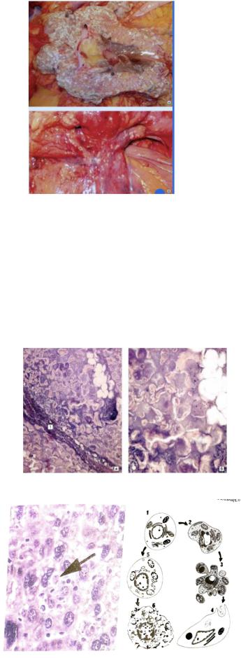
Жировий некроз підшлункової залози при панкреатиті

Макропрепарат . Жировий некроз підшлункової залози при панкреатиті. Жировий панкреонекроз (жировий некроз, стеатонекроз, ферментний некроз). Множинні округлі і неправильної форми зливні вогнища жовтувато-білого кольору, м'якої консистенції в тканини підшлункової залози і навколишнього жирової клітковини: а - підшлункова залоза, розсічена по довжині, б - стеатонекрози брижі тонкої кишки і великого сальника.

Мікропрепарат. Жировий некроз підшлункової залози при панкреатиті.

Жировий панкреонекроз (жировий некроз, стеатонекроз, ферментний некроз). Ліпоцити (адипозоцитів) позбавлені ядер, в більшості з них ліпідні вакуолі (прозорі при забарвленні гематоксиліном і еозином) заміщені зернистої або базофільною гомогенною масою. Видно збереглася сполучнотканинна перегородка (1) з великим запальним інфільтратом, розповсюджується на некротізіровані групи ліпоцитів: а - χ 100; б - χ 200

χ

18. Апоптоз та апоптозне тільце