Материал: 10 Дифференциальная диагностика диффузных заболеваний легких

Внимание! Если размещение файла нарушает Ваши авторские права, то обязательно сообщите нам

Лучевая

Изменения

Частота

стадия

 

 

(вариант)

 

 

 

 

 

0

Нет изменений на рентгенограмме органов

5%

 

грудной клетки.

 

 

 

 

I

Увеличение внутригрудных лимфатических

50 %

 

узлов; паренхима лёгких не изменена.

 

 

 

 

II

Увеличение внутригрудных лимфатических

30%

 

узлов;

 

 

патологические изменения паренхимы

 

 

лёгких.

 

 

 

 

II

Патология лёгочной паренхимы без

15%

 

Увеличения внутригрудных лимфатических

 

 

узлов.

 

 

 

 

IV

Выраженный фиброз лёгких как ведущий

20%

 

рентгенологический синдром.

 

51

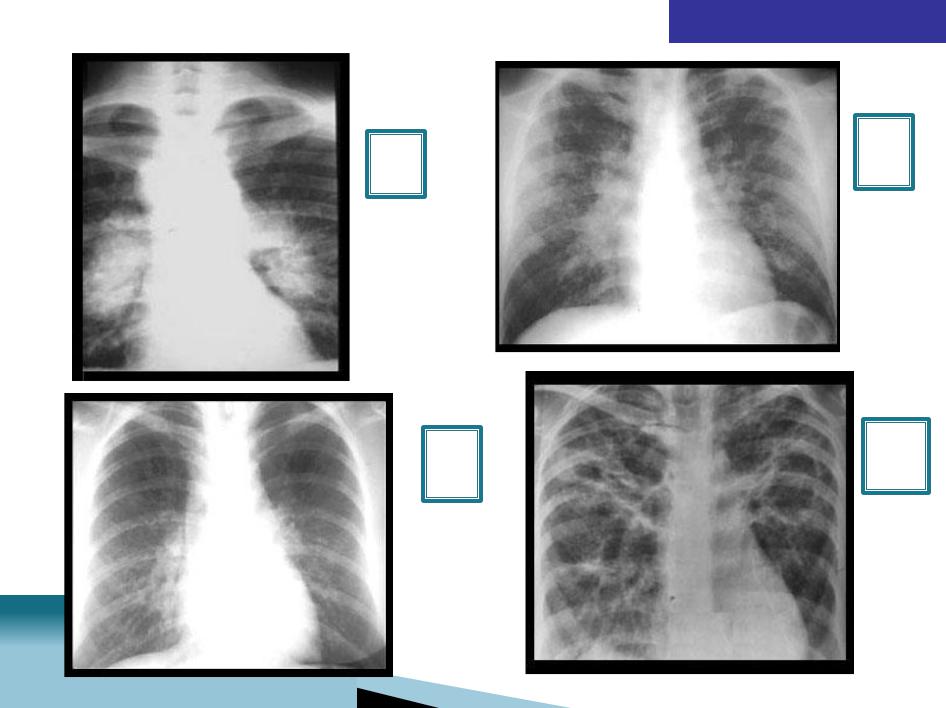
РЕНТГЕНОГРАФИЯ

 

 

II

I

 

 

 

 

 

II

 

 

I

 

 

IV

III

 

 

 

 

III

IV

52

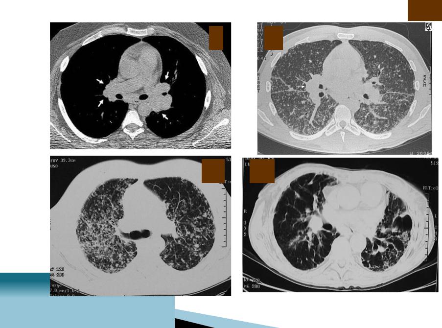
РКТ

I II

III IV

53

Слабость

Боль и дискомфорт в грудной клетке

Лихорадка

Суставной синдром

Снижение остроты зрения и/или затуманивание зрения

Неприятные ощущения со стороны сердца

Неврологические жалобы

Одышка, кашель

Узловатая эритема

Увеличенные слюнные железы

54

Это васкулит с первичным деструктивнопролиферативным поражением артериол, капилляров, венул.

В дерме - периваскулярная гистиоцитарная инфильтрация, признаки септального панникулита. Перегородки подкожного жира утолщены отёком, кровоизлияниями и нейтрофильной инфильтрацией.

Гистопатологический маркёр узловатой эритемы - радиальные гранулёмы Мишера (Miescher) - разновидности липоидного некробиоза - состоят из узловых скоплений мелких гистиоцитов, расположенных радиально вокруг центральной расщелины.

Саркоидных гранулём узловатая эритема не содержит, биопсия её элементов не имеет диагностического значения.

55