Материал: Язык зеркало организма

Внимание! Если размещение файла нарушает Ваши авторские права, то обязательно сообщите нам

АЛЛЕРГИЧЕСКИЕ СОСТОЯНИЯ

 

 

 

 

 

 

 

атрофии нитевидных сосочков наблюдают увеличение грибовидных сосочков,

 

что придаёт языку вид плода малины("малиновый" язык), наподобие языка

 

при скарлатине. После применения тетрациклинов возникаетотёчность язы-

 

ка; его спинка покрывается серовато-бурым с коричневым оттенком налётом;

 

нитевидные сосочки удлинены, шероховаты. Подобная картина сходна с "чёр-

 

ным волосатым" языком. Дифференциальную диагностику проводят с гипови-

 

таминозами В2, РР, анемией Аддиссона-Бирмера, с типичным "чёрным воло-

 

сатым" языком.

 

 

 

 

 

 

 

 

Длительное применение препаратов золота,

мышьяка,

стрептомицина

 

нередко вызывает папулёзные поражения слизистой оболочки языка, сопровож-

 

дающиеся жжением и шероховатостьюслизистой. Визуально наблюдают на

 

спинке языка, слизистой щёк, в линии смыкания зубов, в ретромолярной обла-

 

сти нежный белесоватый налёт в виде кружевного рисунка. В узловых местах

 

рисунка выявляются нежные папулы, либо они скапливаются в виде бляшек

 

перламутрового цвета. Нередко папулы сочетаются с появлением пузырьков,

 

эрозий и язв, с образованием участков некроза и фибринозноговоспаления

 

эпителия. Подобная клиника сопровождается затруднённым приёмом пищи,

 

нарушением функций речи, недомоганием, субфебрильной температурой и

 

головными болями. Эту форму поражения дифференцируют с никотиновым сто-

 

матитом, лейкоплакией, красным плоским лишаем, вторичным рецидивным

 

сифилисом (папулёзная форма).

 

 

 

 

 

 

 

 

После приёма сульфаниламидов чащевозникают фиксированные пятни-сто-

 

везикулёзные поражения, которые характеризуются

на начальных

этапах

 

жжением и зудом слизистой. На слизистой языка, нёба, реже на других участ-

 

ках появляются единичные или множественные пятнасинюшно-красного от-

 

тенка, овальной или полигональной формы (рис. 11-2). В центре пятна возни-

 

кают пузырьки или пузыри размером 0,5-1,5 см в диаметре, наполненные

 

прозрачным содержимым. Вследствие травмирования их зубами, пищевыми

 

продуктами, протезами и др. покрышка пузырей разрывается с образованием

 

болезненной эрозивной кровоточащей поверхности. Подобные поражения сле-

 

дует дифференцировать спузырчаткой,

многоформной

экс-судативной

 

эритемой.

 

 

 

 

 

 

 

После

приёма

амидопирина,

 

сульфаниламидов,

барбитуратов

 

могут

появляться

эрозивные

и

язвенно-некротические

поражения

 

аллергического

либо иммуно-

 

аллергического

 

.типа

При

 

аллергической

форме

больные

жалуются на жжение и бо-

 

лезненность, появление пузы-

Рей' быстро вскр

Рис. 1 1 - 2 : Аллергическая

 

 

энантема нёба и поражение языка

образованием эрозий и язв.

 

(медикаментозный глоссит).

Слизистая оболочка губ, языка

 

 

 

 

 

 

 

 

 

 

ГЛАВА 11

и нёбагиперемирована, слегка отёчна, разрыхлена. Местами обнаруживаются пузыри и неглубокие эрозии и язвы, дно которых покрыто сероватым налётом. Нередко аналогичные изменения наблюдаются и на кожных покровах.

Иммуноаллергическая форма язвенно-некротического поражения слизи-

стой оболочки (агранулоцитоз медикаментозного происхождения) развивается внезапно (иногда постепенно) и протекает тяжело. Больные отмечают изъязвления в различных участках слизистой, одновременно общую слабость, недомогание, головную боль и боль в суставах. Слизистая оболочка языка, нёбных дужек и миндалин разрыхлена и изъязвлена. Язвы полигональной формы, с фестончатыми краями, нередко глубокие, а при локализации на дёснах и твёрдом нёбе могут проникать до кости. Серо-бурый налёт, покрывающий их, легко удаляется ватным тампоном. Характерно, что при наличии множественных и глубоких язв окружающая их слизистая оболочка с минимальными признаками воспаления, ареактивна. Это существенный признак агранулоцитоза. Регионарные лимфоузлы либо увеличены и слабо болезненны, либо в пределах нормы. При клиническом исследовании крови выявляется нейтропения, снижение количества лейкоцитов вплоть до их исчезновения(агранулоцитоз), увеличение СОЭ до 50-70 мм/час. Число лимфоцитов в пределах нормы. Нередко выявляется моноцитоз. Дифференцируют с острыми формами лейкоза, лучевой болезнью, ангиной Венсана, специфическими изъязвлениями и агранулоцитозом немедикаментозного происхождения (см. "Поражения языка при болезнях крови").

Лекарственная аллергическая тромбоцитопения (рис. 11-3) появляется на

 

слизистой

 

оболочке

 

в

виде

 

геморрагической сыпи и возникает после

 

 

применения

 

 

 

, хинина хинидина,

 

 

сульфаниламидов,

препаратов

висмута, золота,

 

 

мышьяка, ртути. Ведущим симптомом является

 

 

геморрагическая сыпь на фоне неизменённой

 

 

слизистой. Размеры

участков

кровоизлияния

 

 

колеблются

от

пе-техий

 

до

пятнистых

 

 

высыпаний

2-3-10

 

мм

 

 

в

диаметре.

 

 

Геморрагическая

сыпь

нередко

сопровождается

 

 

профузным

кровотечением

 

из

слизистой

 

 

оболочки рта, дёсен, трудно останавливающимся

 

 

при

использовании

 

 

 

соответствующих

 

 

гемостатиков.

В

крови

определяются

резкое

 

 

уменьшение

 

тромбоцитов,

удлинение

 

 

времени

кровотечения. Дифференцировать

 

 

следует с гемофилией, болезнью Верльгофа,

 

 

гиповитаминозом

С

 

и

признаками острого

 

 

лейкоза.

 

 

 

 

 

 

 

 

 

 

Рис. 1 1 - 3 :

ПРИ каждом болезненном изменении в

 

Лекарственная

полости рта у людей,

имеющих различные

 

аллергическая

металлические включения (пломбы, корон-

 

тромбоцитопения.

ки, мостовидные протезы,

ортодонтические

 

 

 

 

 

 

 

 

 

 

 

 

 

 

 

АЛЛЕРГИЧЕСКИЕ СОСТОЯНИЯ

приспособления) следует иметь

в

виду

возможность-

никновения

электрогальвани-

ческих явлений (рис. 11-4). В таких случаях говорят о биметаллизме.

Типичным

 

 

 

выражением

 

 

 

лекарственного

поражения -

ляется "электрогальваническая"

лейкоплакия.

 

Клиническими

признаками

её

следует

считать

покраснение

 

ограниченного

участка

слизистой

Рис. 11-4:

оболочки,

центральная

 

часть

Электрогальванический глоссит.

 

которого

становится беловатого цвета или матовой. При биметаллизме могут наблюдаться зуд, жжение, боль, дизэстезии, сочетающиеся с психосоматическими симптомами (неврастенический синдром, беспокойство, бессонница, головные боли). Могут наблюдаться функциональные и органические неврогенные или обменные нарушения вследствие электрогальванического воздействия на головной мозг и гипофиз.

Аллергические поражения, возникающие при резорбтивном дей-

ствии лекарств. Такой вид медикаментозной аллергии характерен при парентеральном введении препаратов (особенно содержащих металлы - висмут, ртуть, золото и др., и ряд других соединений).

Тяжёлые металлы. Висмут. Ввиду отложения частиц висмута в полости рта наблюдается появление "висмутовой каёмки" (синевато-серое окрашивание по краю десны); однако, могут наблюдаться и более тёмные, почти чёрные отложения на губах, щеках, нёбе, миндалинах и языке. На кончике языка эти пигментации могут быть точечными и соответствовать сосочкам языка. Наблюдают наличие чёрных кружков в окружении протоков малых слюнных желёз. Висмутовые изменения остаются долго. Вызванные висмутом гиперхромии объясняются наличием в полости рта сероводорода, который при контакте со связанной с протеином окисью висмута образует сульфид висмута. При генерализованных отложениях висмута может развиться язвенный стоматит с изъязвлениями, покрытыми белыми и серыми псевдоплёнками. Наблюдается также "висмутовый" глоссит с безболезненными гладкими и блестящими, жёлтого цвета, ограниченными изменениями на языке.

Ртуть. Ртутные стоматиты характеризуются появлением"металлического" привкуса, гиперсаливации, а иногда и сухости слизистой. Они обычно локализуются в области десны, нёба и других областей рта. Процесс начинается со слущивания слизистой, её истончения. Она становится блестящей, "лакированной", после чего развиваются эрозии с беловато-жёлтыми налётами. Особенно сильно выражены повреждения в области коренных зубов и под языком. Возникает регионарный лимфаденит подчелюстных лимфатических узлов. В генезе ртутного стоматита -застойная гиперемия с замедлением кровообраще-

Рис. 11-5: Аллергическая реакция на препараты золота.

ГЛАВА 11

ния в расширенных сосудах вследствие повреждения - констрикторов. Имеет значение также состояние гигиены полости рта.

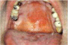
Препараты золота. (Рис. 11-5). Стоматит выражается в появлении эритематозного отёка слизистой, особенно языка, сопровождающегося обильной саливацией и иногда изъязвлениями. Наблюдаются клинические признаки эле

ментов красного плоского ли- ; v . ' w. , . ; ■ ; шая в виде болезненных молочно-белого цвета сетевидных образований на щеках, губах и языке. Могут наблюдаться буллёзные, быстро вскрывающиеся эрозии. Название "хризиаз" сохраняют для особых форм, вызванных лечением препаратами золота.

Ведущим механизмом лекарственного поражения слизистых оболочек солями тяжёлых металлов являются, как было сказано выше, их отложения в слизистой, но не исключаются также сенсибилизация, биотропизм и пр.

Малоизвестно, что хинин также может вызвать изменения в полости рта, выражающиеся в диффузном покраснении нёба, миндалин и слизистой щёк и появлением пузырно-буллёзных высыпаний. Применение резохина может вызвать поражение слизистой в виде тёмно-серой пигментации дёсен и нёба. Своеобразным поражением мягких тканей пародонта является гиперпластический

гингивит у эпилептиков при продолжительном лечении гидантоином(мезантоин, дилантин и др.).

Антибиотики и сульфаниламиды. (Рис. 11- 6,11-7). Необходимо помнить о ряде

Рис. 11-6:

Аллергическая реакция на сульфадиметоксин.

L

Рис. 11-7:

"Пенициллиновый" глоссит.

АЛЛЕРГИЧЕСКИЕ СОСТОЯНИЯ

феноменов сенсибилизации по отношению к антибиотикам. Сенсибилизация слизистых оболочек и кожи к ним может возникать не одновременно и не совместно. Кожные пробы с антибиотиком, резко положительные на наружных покровах, могут не вызывать реакции при аппликации препарата на слизистые оболочки, и наоборот, стоматиты, вызванные антибиотиками, могут протекать без каких-либо кожных проявлений (дерматитов).

На ранних этапах поражения слизистой рта отмечают жжение, онемение языка, нарушение вкусовых ощущений, гиперсаливацию. Характерными изменениями языка, как и в случаях контактной аллергии, являются атрофия, покраснение, сглаживание рисунка поверхности языка ("полированный" язык). Эти изменения часто осложняются вторичной инфекцией. При парентеральной антибиотикотерапии могут наблюдаться красный гладкий язык и чёрный "ворсинчатый" язык. Здесь поражаются прежде всего сосочки языка, особенно нитевидные. Гипертрофия их в роговой части приводит к развитию"ворсинчатого" чёрного языка, а атрофия - гладкого красного языка. Подобная картина наблюдается почти в 10-40% случаев при местном или парентеральном лечении антибиотиками. В механизмах описанных поражений следует учитывать угнетающее действие антибиотиков на кишечную микробную флору, её способность синтезировать витамины; также непосредственно антифлавиновое действие антибиотиков, угнетение антагонистической роли микробной флоры в полости рта и возникновение суперинфекции. Не исключены аллергизация, угнетение энзимных систем, влияющих на обновление клеток, воздействие на митотическую активность клеток. Назначение витаминов группы В и прекращение лечения антибиотиками нормализует состояние языка.

При лечении эритромицином возникает жжение и отёчно-язвенный стоматит. Поражения слизистой оболочки антиметаболитами фолиевой кислоты (аминоптерин) и его аналогом метотрексатом проявляются афтоподобными, но более крупными и склонными к некрозу эрозивно-язвенными поражениями.

Сыворотки и вакцины. В месте введения сывороток сразу после введения может появиться покраснение, сопровождающееся через некоторое время феноменом Артюса, а позднее - сывороточной болезнью (тахикардия, снижение кровяного давления, одышка, рвота, сенсорные нарушения, коллапс, конвульсии). Сыворотки могут стать причиной крапивницы, отёка Квинке, скарлатиноформной эритемы, кореподобной сыпи, пурпуры; иногда возникает высыпание типа многоформной экссудативной эритемы. Дифтерийный анатоксин вызывает генерализованную крапивницу. Противооспенная прививка - аллергические осложнения типа поствакцинальных экзантем, которые могут быть макулёзными (типа многоформной экссудативной эритемы), папулёзными (типа узловатой эритемы) и геморрагическими (геморрагическая экзантема).

Вакцина Кальметта-Герена (БЦЖ) - после введения остаются трудно заживающие язвы, подкожные абсцессы, лимфангит; в тяжёлых случаях или у ослабленных больных - элементы туберкулёзной волчанки или колликвативного туберкулёза.