Материал: ПРАКТИЧЕСКИЕ НАВЫКИ ДЛЯ СТУДЕНТОВ Казань

Внимание! Если размещение файла нарушает Ваши авторские права, то обязательно сообщите нам

ощущается рукой как толчок или удар. Теперь при отрывании пальцев коленная чашка «всплывает», принимая исходное положение.

Очень большое скопление жидкости в суставе препятствует погружению коленной чашки и затрудняет ее баллотирование. Сустав переполнен и напряжен (чаще всего излившейся в сустав кровью), и чашку нельзя погрузить вглубь. При синовите, развивающемся хронически, скопление жидкости может быть иногда очень большим, но напряжения нет, так как накопление жидкости происходило медленно и также медленно растягивалась капсула

(«Ортопедическая диагностика», B.O.Маркс).

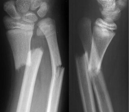
5. Интерпретация рентгенограммы с заболеваниями и

повреждениями опорно-двигательного аппарата (пример) (рис. 7)

Рис. 7. Рентгенограмма пациента с переломом нижней обеих костей предплечья со смещением.

6. Транспортная иммобилизация при повреждениях: верхней конечности; нижней конечности; позвоночника; таза.

Иммобилизация (immobilis - неподвижный) - комплекс лечебно-

профилактических мероприятий, направленный на создание покоя

26

поврежденной анатомической области с целью восстановления анатомических взаимоотношений поврежденных частей тела и профилактики возможных осложнений.

Транспортная иммобилизация - создание неподвижности (покоя)

поврежденной части тела с помощью транспортных шин или подручных средств на время, необходимое для транспортировки пострадавшего (раненого)

с места получения травмы (поля боя) или этапа медицинской эвакуации в лечебное учреждение.

Различают лечебную и транспортную иммобилизацию. В лечебных учреждениях выполняется лечебная иммобилизация на срок, необходимый для консолидации перелома, восстановления поврежденных структур и тканей.

Транспортная иммобилизация как неотъемлемая часть оказания первой помощи применяется в первые часы и минуты после ранения. Зачастую она играет решающую роль не только в профилактике осложнений, но и в сохранении жизни раненых и пострадавших. С помощью иммобилизации обеспечивается покой, предупреждаются интерпозиция сосудов, нервов, мягких тканей, распространение раневой инфекции и вторичные кровотечения. Кроме того, транспортная иммобилизация является неотъемлемой частью мероприятий по профилактике развития травматического шока у раненых и пострадавших.

Транспортная иммобилизация осуществляется непосредственно на поле боя (месте повреждения) и на этапах медицинской эвакуации. Транспортировка раненого или пострадавшего с переломами и обширными повреждениями без адекватной транспортной иммобилизации опасна и недопустима.

Своевременно и правильно выполненная транспортная иммобилизация является важнейшим мероприятием первой помощи при огнестрельных,

открытых и закрытых переломах, обширных повреждениях мягких тканей,

повреждениях суставов, сосудов и нервных стволов. Отсутствие иммобилизации во время транспортировки может привести к развитию тяжелых осложнений (травматический шок, кровотечение и др.), а в некоторых

27

случаях и к гибели пострадавшего.

Опыт Великой Отечественной войны показал, что применение шины Дитерихса при переломах бедра вдвое снизило частоту травматического шока,

в 4 раза число раневых осложнений анаэробной инфекцией, в 5 раз число летальных исходов.

В очаге массовых санитарных потерь в большинстве случаев первая помощь при переломах и обширных ранениях будет оказываться в порядке само- и взаимопомощи. Поэтому врач медицинского пункта обязан хорошо владеть техникой транспортной иммобилизации и обучать ее приемам весь личный состав.

Показания к транспортной иммобилизации:

переломы костей;

повреждение суставов: ушибы, повреждения связок, вывихи,

подвывихи;

разрывы сухожилий;

повреждение крупных сосудов;

повреждение нервных стволов;

обширные повреждения мягких тканей;

отрывы конечностей;

обширные ожоги, отморожения;

острые воспалительные процессы конечностей.

Правила транспортной иммобилизации

Транспортная иммобилизация должна выполняться качественно и обеспечивать полный покой поврежденной части тела или ее сегмента. Все действия должны быть продуманными и исполняться в определенной последовательности.

Основные правила при выполнении транспортной иммобилизации.

1. Транспортная иммобилизация поврежденной части тела должна выполняться на месте травмы в максимально ранние сроки после ранения или повреждения. Чем раньше выполнена иммобилизация, тем меньше

28

дополнительное травмирование области повреждения.

2.Перед проведением транспортной иммобилизации необходимо ввести пострадавшему обезболивающее средство (омнопон, морфин, промедол). При этом следует учитывать, что действие обезболивающего препарата наступает только через 5-10 мин. До наступления обезболивающего эффекта наложение транспортных шин недопустимо.

3.Транспортную иммобилизацию на этапах первой и доврачебной помощи выполняют поверх обуви и одежды, так как раздевание пострадавшего является дополнительным травмирующим фактором.

4.Поврежденную конечность иммобилизируют в функциональном положении: верхняя конечность согнута в локтевом суставе под углом 90°,

кисть расположена ладонью к животу либо укладывается ладонью на поверхность шины, пальцы кисти полусогнуты, нижняя конечность незначительно согнута в коленном суставе, голеностопный сустав согнут под углом 90°.

5.Гибкие шины необходимо предварительно смоделировать в соответствии с контурами и положением поврежденной части тела (на здоровой конечности или на себе).

6.Перед наложением средств транспортной иммобилизации следует защитить костные выступы (лодыжки, гребни подвздошных костей, крупные суставы) ватно-марлевыми салфетками. Давление жестких шин в области костных выступов приводит к образованию пролежней.

7.При наличии раны на нее накладывается стерильная повязка, и только после этого осуществляется иммобилизация. Противопоказаны наложение повязки и укрепление шины одним и тем же бинтом.

8.В случаях, когда повреждение сопровождается наружным кровотечением, перед транспортной иммобилизацией выполняются его остановка (жгут, давящая повязка), обезболивание, рана укрывается стерильной повязкой.

9.Металлические шины предварительного обертывают ватой и бинтами с

29

целью профилактики пролежней от непосредственного давления на мягкие ткани. При транспортировке в зимнее время металлические шины, охлаждаясь,

могут вызвать местное отморожение.

10. Перед транспортировкой в холодное время конечность с наложенной шиной необходимо утеплить, обернув теплой одеждой, одеялом или термопленкой. Если конечность в обуви, то следует расслабить шнуровку.

Соблюдение перечисленных общих правил обязательно при выполнении транспортной иммобилизации повреждений любой локализации.

Таким образом, своевременная и качественная транспортная

иммобилизация предупреждает:

развитие травматического и ожогового шока;

ухудшение состояния пострадавшего;

превращение закрытого перелома в открытый;

возобновление кровотечения в ране;

повреждение крупных кровеносных сосудов и нервных стволов;

распространение и развитие инфекции в области повреждения.

Средства транспортной иммобилизации

Различают средства транспортной иммобилизации стандартные,

нестандартные и импровизированные (из подручных средств).

Стандартные транспортные шины - это средства иммобилизации промышленного изготовления. Ими оснащены медицинские учреждения и медицинская служба ВС РФ (шины, входящие в СС, СМВ, комплекты Б-2 и Б- 5). В настоящее время широко применяют шины фанерные, лестничные,

Дитерихса, пластмассовые, картонные, пневматические, вакуумные носилки,

косынки. К стандартным транспортным шинам также относят: шины медицинские пневматические, шины пластмассовые, вакуумные, носилки иммобилизующие вакуумные (рис. 8, 9, 10, 11, 12).

30