Материал: Патан Серов учебник

Внимание! Если размещение файла нарушает Ваши авторские права, то обязательно сообщите нам

питания (белковое и витаминное голодание) и обмена веществ (обменные заболевания печени).

Патологическая анатомия заболеваний печени в последние десятилетия уточнена и дополнена новыми данными в связи с изучением материалов биопсии печени, которая широко используется для диагностических целей. Морфологические изменения печени, лежащие в основе ее заболеваний, могут проявлятьсядистрофией и некрозом гепатоцитов, воспалением стромы (портальные тракты, синусоиды) и желчных протоков, дисрегенераторными и опухолевыми процессами. В тех случаях, когда в печени

преобладают дистрофия и некроз гепатоцитов, говорят о гепатозах, а при преобладании воспаления - о гепатитах.Дисрегенераторные процессы с исходом в склероз и перестройку печеночной ткани лежат в основе цирроза печени, на фоне которого нередко развивается рак печени.

Гепатоз

Гепатоз - заболевание печени, характеризующееся дистрофией и некрозом гепатоцитов; он может быть как наследственным, так и приобретенным.

Большую группу наследственных гепатозов составляют так называемые обменные заболевания печени. Они возникают в связи с нарушением обмена белков и

аминокислот (цистиноз и аминоацидурия, или синдром Дебре-де ТониФанкони), жиров (наследственные

липидозы), углеводов (гликогенозы), пигментов (наследственный пигментный гепатоз, порфирии),минералов (гемохроматоз, гепатоцеребральная дистрофия, или болезнь Вильсона-Коновалова). Многие из наследственных гепатозов являются болезнями накопления и заканчиваются развитием цирроза печени.

Приобретенные гепатозы в зависимости от характера течения могут быть острыми или хроническими.Наибольшее значение среди острых гепатозов имеет

токсическая дистрофия, или прогрессирующий массивный некроз печени, а среди хронических - жировой гепатоз.

Токсическая дистрофия печени

Токсическая дистрофия - правильнее, прогрессирующий массивный некроз печени, - острое,

реже хроническое, заболевание, характеризующееся прогрессирующим массивным некрозом печени и печеночной недостаточностью.

Этиология и патогенез. Массивный некроз печени развивается чаще всего при экзогенных (отравление недоброкачественными пищевыми продуктами, грибами, гелиотропом, фосфором, мышьяком и др.) и эндогенных (токсикоз беременности, тиреотоксикоз) интоксикациях. Он встречается и при вирусном гепатите как выражение его злокачественной (молниеносной) формы. В патогенезе основное значение придается гепатотоксическому

491

действию яда (вируса). Определенную роль могут играть аллергические и аутоаллергические факторы.

Патологическая анатомия. Изменения печени различны в разные периоды болезни, занимающей обычно около 3 нед.

В первые дни печень несколько увеличена, плотноватая или дряблая и приобретает яркожелтую окраску как на поверхности, так и на разрезе. Затем она прогрессивно уменьшается («тает на глазах»), становится дряблой, а капсула - морщинистой; на разрезе ткань печени серая, глинистого вида.

Микроскопически в первые дни отмечается жировая дистрофия гепатоцитов центров долек, быстро сменяющаяся их некрозом и аутолитическим распадом с образованием жиробелкового детрита, в котором находят кристаллы лейцина и тирозина. Прогрессируя, некротические изменения захватывают к концу 2-й недели болезни все отделы долек; лишь на периферии их остается узкая полоса гепатоцитов в состоянии жировой дистрофии. Эти изменения печени характеризуют стадию желтой дистрофии.

На 3-й неделе болезни печень продолжает уменьшаться в размерах и становится красной. Эти изменения связаны с тем, что жиробелковый детрит печеночных долек подвергается фагоцитозу и резорбируется; в результате оголяется ретикулярная строма с резко расширенными переполненными кровью синусоидами; клетки сохраняются лишь на периферии долек. Изменения печени на 3-й неделе болезни характеризуютстадию красной

дистрофии.

При массивном некрозе печени отмечаются желтуха, гиперплазия околопортальных лимфатических узлов иселезенки (иногда она напоминает септическую), множественные кровоизлияния в кожу, слизистые и серозные оболочки, легкие, некроз эпителия канальцев почек, дистрофические и некробиотические изменения в поджелудочной железе, миокарде, ЦНС.

При прогрессирующем некрозе печени больные умирают обычно от острой печеночной или почечной(гепаторенальный синдром) недостаточности. В исходе токсической дистрофии может развитьсяпостнекротический цирроз печени.

Хроническая токсическая дистрофия печени наблюдается в тех редких случаях, когда болезнь рецидивирует. В финале также развивается постнекротический цирроз печени.

Жировой гепатоз

Жировой гепатоз (синонимы: жировая дистрофия печени, жировая инфильтрация, или ожирение, печени; стеатоз печени) - хроническое заболевание, характеризующееся повышенным накоплением жира в гепатоцитах.

492

Этиология и патогенез. К жировому гепатозу ведут токсические воздействия на печень (алкоголь, инсектициды, некоторые лекарственные средства), эндокринно-метаболические нарушения (сахарный диабет, общее ожирение), нарушения питания (недостаточность липотропных факторов, квашиоркор, употребление с пищей избыточного количества жиров и углеводов) и гипоксия (сердечно-сосудистая, легочная недостаточность, анемии и т.д.).

Основное значение в развитии жирового гепатоза имеет хроническая алкогольная интоксикация. Развиваетсяалкогольный стеатоз печени. Установлено непосредственное действие этанола на печень. Прямое окисление становится в этих условиях наиболее адекватным. В результате синтез триглицеридов в печени усиливается, мобилизация жирных кислот из жировых депо повышается, а использование жирных кислот в печени снижается. Образующиеся триглицериды являются инертными соединениями и не мешают синтетическим процессам, происходящим в гепатоцитах. Это объясняет длительность стеатоза печени при алкогольной интоксикации.

Для развития жирового гепатоза имеет значение количество выпиваемого алкоголя и длительность его употребления (годами), хотя имеются большие индивидуальные различия в способности печени метаболизировать алкоголь.

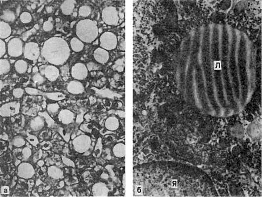
Патологическая анатомия. Печень при стеатозе большая, желтая или красно-коричневая, поверхность ее гладкая. В гепатоцитах определяется жир, относящийся к триглицеридам. Ожирение гепатоцитов может бытьпылевидным, мелко- и крупнокапельным (рис. 213). Капля липидов оттесняет относительно сохранные органеллы на периферию клетки (см. рис. 213), которая становится перстневидной. Жировая инфильтра-

Рис.

213. Жировой гепатоз:

493

а - крупнокапельное ожирение гепатоцитов; б - в цитоплазме гепатоцита крупная капля липидов (Л). Я - ядро. Электронограмма. х12 000

ция может охватывать единичные гепатоциты (так называемое диссеминированное ожирение), группы гепатоцитов (зональное ожирение) или всю паренхиму печени (диффузное ожирение). В одних случаях (интоксикации, гипоксия) ожирение печеночных клеток развивается преимущественно центролобулярно, в других (белково-витаминная недостаточность, общее ожирение) - преимущественно перипортально. При резкой жировой инфильтрации печеночные клетки погибают, жировые капли сливаются и образуют расположенные внеклеточно жировые кисты, вокруг которых возникает клеточная реакция, разрастается соединительная ткань.

Различают три стадии жирового гепатоза: 1) простое ожирение, когда деструкция гепатоцитов не выражена и мезенхимально-клеточная реакция отсутствует; 2) ожирение в сочетании с некробиозом гепатоцитов и мезенхимально-клеточной реакцией; 3) ожирение с начинающейся перестройкой дольковой структуры печени. Третья стадия стеатоза печени необратима и рассматривается как предцирротическая. Эволюция жирового гепатоза в цирроз портального типа прослежена при повторных биопсиях печени и доказана в эксперименте. При развитии цирроза на фоне стеатоза жиры из гепатоцитов исчезают. При стеатозе печени возможна желтуха. В ряде случаев жировой гепатоз сочетается с хроническим панкреатитом, невритами.

Гепатит

Гепатит - заболевание печени, в основе которого лежит ее воспаление, выражающееся как в дистрофических и некробиотических изменениях паренхимы, так и в воспалительной инфильтрации стромы. Гепатит может бытьпервичным, т.е. развиваться как самостоятельное заболевание, или вторичным как проявление другой болезни. В зависимости от характера течения различают острый и хронический гепатиты.

Патологическая анатомия острого и хронического гепатитов различна.

Острый гепатит может быть экссудативным и продуктивным. При экссудативном гепатите в одних случаях (например, при тиреотоксикозе) экссудат имеет серозный характер и пропитывает строму печени (серозный гепатит), в других - экссудат гнойный (гнойный гепатит), может диффузно инфильтрировать портальные тракты (например, при гнойном холангите и холангиолите) или образовывать гнойники

(пилефлебитические абсцессы печени при гнойном аппендиците, амебиазе; метастатические абсцессы при септикопиемии).

Острый продуктивный гепатит характеризуется дистрофией и некрозом гепатоцитов различных отделов дольки и реакцией ретикулоэндотелиальной системы печени. В результате образуются гнездные или разлитые инфильтраты пролиферирующих звездчатых

494

ретикулоэндотелиоцитов (купферовских клеток), эндотелия, к которым присоединяются гематогенные элементы.

Внешний вид печени при остром гепатите зависит от характера развивающегося воспаления.

Хронический гепатит характеризуется деструкцией паренхиматозных элементов, клеточной инфильтрацией стромы, склерозом и регенерацией печеночной ткани. Эти изменения могут быть представлены в различных сочетаниях, что позволяет выделить три морфологических вида хронического гепатита: активный (агрессивный), персистирующий и холестатический. При хроническом активном гепатите резкая дистрофия и некроз гепатоцитов (деструктивный гепатит) сочетаются с выраженной клеточной инфильтрацией, которая не только охватывает склерозированные портальные и перипортальные поля, но и проникает внутрь дольки.

При хроническом персистирующем гепатите дистрофические изменения гепатоцитов слабо выражены; характерна лишь диффузная клеточная инфильтрация портальных полей, реже - внутридольковой стромы.

При хроническом холестатическом гепатите наиболее выражены холестаз, холангит и холангиолит, сочетающиеся с межуточной инфильтрацией и склерозом стромы, а также с дистрофией и некробиозом гепатоцитов.

Помимо активного, персистирующего и холестатического видов хронического гепатита некоторые исследователи выделяют при вирусных поражениях печени хронический лобулярный гепатит, который характеризуется внутридольковыми некрозами групп гепатоцитов и лимфоидно-клеточной инфильтрацией. Термин «лобулярный гепатит» - сугубо описательный (гистотопографический), подчеркивающий лишь локализацию изменений внутри долек печени.

Печень при хроническом гепатите, как правило, увеличена и плотна. Капсула ее очагово или диффузно утолщена, белесовата. Ткань печени на разрезе имеет пестрый вид.

Этиология и патогенез. Возникновение первичного гепатита, т.е. гепатита как самостоятельного заболевания, чаще всего связано с воздействием гепатотропного вируса (вирусный гепатит), алкоголя(алкогольный гепатит) или лекарств (медикаментозный, или лекарственный, гепатит). Причинойхолестатического

гепатита становятся факторы, которые ведут к внеклеточному холестазу и подпеченочной желтухе; определенное значение имеют и лекарства (метилтестостерон, производные фенотиозина и т.д.). Среди первичных гепатитов наибольшее значением имеют вирусный и алкогольный.

Этиология вторичного гепатита, т.е. гепатита как проявления другой болезни (неспецифический реактивный гепатит), чрезвычайно разнообразна. Это -

инфекция (желтая лихорадка, цитомегалия, брюшной тиф, дизентерия, малярия, туберкулез,

495