Материал: Патан Серов учебник

Внимание! Если размещение файла нарушает Ваши авторские права, то обязательно сообщите нам

Рис.

а - активный гепатит; клеточная инфильтрация портальной и внутридольковой склерозированной стромы печени, деструкция гепатоцитов пограничной пластинки; б - персистирующий гепатит; клеточная инфильтрация склерозированных портальных полей; пограничная пластинка сохранена; дистрофия гепатоцитов

лимфоцитарные скопления встречаются внутри долек, где отмечаются гиперплазия звездчатых ретикулоэндотелиоцитов и очаги склероза ретикулярной стромы. Пограничная пластинка, как и структура печеночных долек, как правило, сохранена. Дистрофические изменения гепатоцитов выражены минимально или умеренно (гидропическая дистрофия),

501

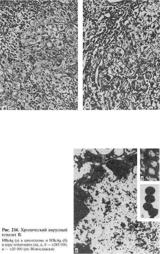
некроз гепатоцитов встречается редко. В печени выявляются маркеры антигенов вируса гепатита В: матово-стекловидные гепатоциты, содержащие HBsAg, реже - «песочные» ядра с HBcAg, тельца Каунсильмена. При хроническом персистирующем гепатите возможна не только очаговая, но и генерализованная экспрессия HBcAg; она может и отсутствовать.

Хронический персистирующий гепатит очень редко прогрессирует в цирроз печени и только в тех случаях, когда трансформируется в активный гепатит.

Внепеченочные изменения при вирусном гепатите проявляются желтухой и множественнымикровоизлияниями в коже, серозных и слизистых оболочках, увеличением лимфатических узлов, особенно брыжеечных, и селезенки за счет гиперплазии ретикулярных элементов. При остром гепатите довольно часто возникает катаральное воспаление слизистой оболочки верхних дыхательных путей и пищеварительного тракта. В эпителии почечных канальцев, мышечных клетках сердца и нейронах ЦНС находят

дистрофические изменения. При хроническом активном гепатите развиваются системные поражения экзокринных желез (слюнных, желудка, кишечника, поджелудочной железы) и сосудов (васкулиты, гломерулонефрит).

Смерть при вирусном гепатите наступает от острой (некротическая форма) или хронической (хронический активный гепатит с исходом в цирроз) печеночной недостаточности. В ряде случаев развивается гепаторенальный синдром.

Алкогольный гепатит

Алкогольный гепатит - острое или хроническое заболевание печени, связанное с алкогольной интоксикацией.

Этиология и патогенез. Алкоголь (этанол) является гепатотоксическим ядом и при определенной концентрации вызывает некроз печеночных клеток. Цитотоксическое действие этанола выражено сильнее и легче совершается в ранее измененной печеночной ткани (жировой гепатоз, хронический гепатит, цирроз). Повторные атаки острого алкогольного гепатита могут вести к развитию хронического персистирующего гепатита, который при прекращении употребления алкоголя имеет доброкачественное течение. Однако если употребление алкоголя продолжается, то атаки острого алкогольного гепатита способствуют переходу хронического персистирующего гепатита в портальный цирроз печени. В ряде случаев развивается хронический активный алкогольный гепатит, который быстро заканчивается постнекротическим циррозом печени. В прогрессировании алкогольного гепатита определенную роль играет угнетение этанолом регенераторных возможностей печени. Допускается участие и аутоиммунных механизмов, причем в роли аутоантигена, вероятно, выступает алкогольный гиалин.

Патологическая анатомия. Изменения печени при остром и хроническом алкогольном гепатите различны.

502

Острый алкогольный гепатит имеет хорошо очерченную макроскопическую (лапароскопия) и микроскопическую (биопсия печени) характеристику. Печень выглядит плотной и бледной, с красноватыми участками и нередко с рубцовыми западениями. Микроскопическая картина острого алкогольного гепатита сводится к некрозу гепатоцитов, инфильтрации зон некрозов и портальных трактов нейтрофилами, к появлению большого количества алкогольного гиалина (телец Маллори) в цитоплазме гепатоцитов и экстрацеллюлярно (рис. 217). Алкогольный гиалин представляет собой фибриллярный белок, синтезируемый гепатоцитами под влиянием этанола (см. рис. 217), что ведет печеночные клетки к гибели.

Алкогольный гиалин отличается не только цитотоксическим воздействием на гепатоциты, вызывая их некроз. Он стимулирует лейкотаксис, обладает антигенными свойствами, что ведет к образованию циркулирующих иммунных комплексов. Алкогольный гиалин сенсибилизирует лимфоциты, способные к киллерному эффекту, а также коллагеногенез. С циркуляцией в крови иммунных комплексов, содержащих антиген алкогольного гиалина, связаны системные проявления алкогольного гепатита в виде васкулитов и особенно гломерулонефрита.

Рис.

217. Острый алкогольный гепатит (биопсия печени):

а - тельце Маллори (алкогольный гиалин), окруженное нейтрофилами; б - скопления гранулярного алкогольного гиалина вблизи ядра (Я) гепатоцита. Электронограмма. х15 000

Острый алкогольный гепатит чаще возникает на фоне жирового гепатоза, хронического гепатита и цирроза. Однако он может развиться также в неизмененной печени. Повторные атаки острого алкогольного гепатита на фоне жирового гепатоза или хронического гепатита ведут к развитию цирроза печени. Острый алкогольный гепатит в цирротической печени

503

может протекать с массивными некрозами и заканчиваться токсической дистрофией с летальным исходом. Если острый алкогольный гепатит развивается в неизмененной печени, то при отмене алкоголя и соответствующей терапии структура печени может восстановиться или появляется фиброз стромы. Но при продолжении употребления алкоголя изменения в печени прогрессируют, ожирение гепатоцитов усиливается, фиброз стромы нарастает.

Хронический алкогольный гепатит чаще проявляется в виде персистирующего, очень редко - активного.

При хроническом персистирующем алкогольном гепатите находят ожирение гепатоцитов,

склероз и обильную гистиолимфоцитарную инфильтрацию портальной стромы (рис. 218).

Для хронического активного алкогольного гепатита характерны белковая (гидропическая,

баллонная) дистрофия и некроз гепатоцитов на периферии долек, строение которых нарушается. Кроме того, выражена диффузная гистиолимфоцитарная инфильтрация широких и склерозированных портальных трактов, причем клетки инфильтрата проникают на периферию долек, окружая и разрушая гепатоциты (ступенчатые некрозы).

Исход алкогольного гепатита в цирроз - обычное явление. Возможно развитие и острой печеночной недостаточности.

Рис.

218. Хронический персистирующий алкогольный гепатит (биопсия печени). Ожирение гепатоцитов, склероз и лимфогистиоцитарная инфильтрация стромы портальных трактов

Цирроз печени

Цирроз печени - хроническое заболевание, характеризующееся нарастающей печеночной недостаточностью в связи с рубцовым сморщиванием и структурной перестройкой печени.

504

Термин «цирроз печени» (от греч. kirrhos- рыжий) ввел Р. Лаэннек (1819), имея в виду особенности морфологических изменений печени (плотная бугристая печень рыжего цвета).

Классификация. Современные классификации цирроза печени учитывают этиологические, морфологические, морфогенетические и клиникофункциональные критерии.

Этиология. В зависимости от причины, ведущей к развитию цирроза, различают: 1) инфекционный (вирусный гепатит, паразитарные заболевания печени, инфекции желчных путей); 2) токсический и токсикоаллергический (алкоголь, промышленные и пищевые яды, лекарственные вещества, аллергены); 3) билиарныгй (холангит, холестаз разной природы:); 4) обменно-алиментарный (недостаточность белков, витаминов, липотропных факторов, циррозы накопления при наследственных нарушениях обмена); 5) циркуляторный (хронический венозный застой в печени); 6) криптогенный циррозы.

Основное клиническое значение в настоящее время имеют вирусный, алкогольный и билиарный циррозы печени. Вирусный цирроз печени развивается обычно

после гепатита типа В, а алкогольный, как правило, после множественных атак алкогольного гепатита. В развитии первичного билиарного цирроза придают значение как аутоиммунной реакции в отношении эпителия внутрипеченочных желчных протоков, так и нарушению обмена желчных кислот; не исключается также связь с вирусным гепатитом (холестатическая форма) и влияние лекарственных средств.

Среди обменно-алиментарных циррозов особую группу составляют циррозы накопления, или тезаурисмозы,которые встречаются

при гемохроматозе и гепатоцеребральной дистрофии (болезнь Вильсона-Коновалова).

Патологическая анатомия. Характерными изменениями печени при циррозе являются дистрофия и некроз гепатоцитов, извращенная регенерация, диффузный склероз, структурная перестройка и деформация органа.

Печень при циррозе плотная и бугристая, размеры ее чаще уменьшены, реже - увеличены.

Руководствуясь морфологическими особенностями цирроза, различают его макроскопические и микроскопические виды. Макроскопически в зависимости от наличия или отсутствия узлов-регенераторов, их величины и характера выделяют следующие виды цирроза: неполный септальный, мелкоузловой, крупноузловой, смешанный (мелкокрупноузловой).

При неполном септальном циррозе узлы-регенераторы отсутствуют, паренхиму печени пересекают тонкие септы, часть которых заканчивается слепо. При мелкоузловом циррозе узлы регенерации одинаковой величины, обычно не более 1 см в диаметре. Они имеют, как правило, монолобуляр-

ное строение; септы в них узкие. Для крупноузлового цирроза характерны узлы регенерации разной величины, диаметр больших из них составляет 5 см. Многие узлы мультилобулярные, с широкими септами. Присмешанном циррозе сочетаются признаки мелко- и крупноузлового.

505