Материал: Патан Серов учебник

Внимание! Если размещение файла нарушает Ваши авторские права, то обязательно сообщите нам

Гистологически определяется резкое нарушение долькового строения печени с интенсивным фиброзом и формированием узлов регенерации (ложных долек), состоящих из пролиферирующих гепатоцитов и пронизанных соединительнотканными прослойками. В ложных дольках обычная радиарная ориентация печеночных балок отсутствует, а сосуды расположены неправильно (центральная вена отсутствует, портальные триады обнаруживаются непостоянно).

Среди микроскопических видов цирроза, исходя из особенностей построения узловрегенератов, выделяютмонолобулярный цирроз, если узлырегенераты захватывают одну печеночную дольку, мультилобулярный, если они строятся на нескольких печеночных дольках, и мономультилобулярный - при сочетании первых двух видов цирроза.

Морфогенез. Ключевым моментом в генезе цирроза являются дистрофия (гидропическая, баллонная, жировая) и некроз гепатоцитов, возникающие в связи с воздействием различных факторов. Гибель гепатоцитов ведет к усиленной их регенерации (митозы, амитозы) и появлению узловрегенератов (ложных долек), окруженных со всех сторон соединительной тканью. В синусоидах ложных долек появляется соединительнотканная мембрана (капилляризация синусоидов), в результате связь гепатоцита со звездчатым

ретикулоэндотелиоцитом прерывается. Так как кровоток в псевдодольках затруднен, основная масса крови воротной вены устремляется в печеночные вены, минуя ложные дольки. Этому способствует и появление в соединительнотканных прослойках, окружающих псевдодольки, прямых связей (шунтов) между разветвлениями воротной и печеночных вен (внутрипеченочные портокавальные шунты). Нарушения микроциркуляции в ложных дольках ведут к гипоксии их ткани, развитию дистрофии и некроза гепатоцитов. С нарастающими дистрофическими и некротическими изменениями гепатоцитов связаны проявления печеночно-клеточной недостаточности.

Формирование узлов-регенератов сопровождается диффузным фиброзом. Развитие соединительной ткани обусловлено многими факторами: некрозом гепатоцитов, нарастающей гипоксией в связи с сдавлением сосудов печени экспансивно растущими узлами, склерозом печеночных вен, капилляризацией синусоидов. Фиброз развивается как внутри долек, так и в перипортальной ткани. Внутри долек соединительная ткань образуется в результате коллапса стромы на месте фокусов некроза (склероз после коллапса), активации синусоидальных липоцитов (клеток Ито), которые претерпевают фибробластические превращения, а также вклинивания в дольку соединительнотканных перегородок, или септ, из портальных и перипортальных полей (септальный склероз). В перипортальной ткани фиброз связан с активацией фибробластов. Выраженный склероз пери-

портальных полей и печеночных вен обусловливает развитие портальной гипертензии, в результате чего воротная вена разгружается не только через внутрипеченочные, но и внепеченочные портокавальные анастомозы. С декомпенсацией портальной гипертензии

связано развитие асцита, варикозного расширения вен пищевода, желудка, геморроидального сплетения и кровотечений из этих вен.

506

Следовательно, к структурной перестройке и деформации печени ведут ее регенерация и склероз, причем перестройка затрагивает все элементы печеночной ткани - дольки, сосуды, строму. Структурная перестройка печени замыкает порочный круг при циррозе: блок между кровью и гепатоцитами становится причиной гибели последних, а гибель гепатоцитов поддерживает мезенхимально-клеточную реакцию и извращенную регенерацию паренхимы, что утяжеляет существующий блок.

Различают три морфогенетических типа цирроза: постнекротический, портальный и смешанный.

Постнекротический цирроз развивается в результате массивных некрозов печеночной паренхимы. В участках некроза происходят коллапс ретикулярной стромы и разрастание соединительной ткани (цирроз после коллапса), образующей широкие фиброзные поля (рис. 219). В результате коллапса стромы происходит сближение портальных триад и центральных вен, в одном поле зрения обнаруживается более трех триад, что считается патогномоничным морфологическим признаком постнекротического цирроза (см. рис. 219). Ложные дольки состоят в основном из новообразованной печеночной ткани, они содержат множество многоядерных печеночных клеток. Характерны белковая дистрофия и некроз гепатоцитов, липиды в печеночных клетках обычно отсутствуют. Нередко встречаются пролиферация холангиол, картина холестаза. Печень при постнекротическом циррозе плотная, уменьшена в размерах, с крупными узлами, разделенными широкими и глубокими бороздками (крупноузловой или смешанный цирроз) (рис. 220).

Постнекротический цирроз развивается быстро (иногда в течение нескольких месяцев), связан с разнообразными причинами, ведущими к некрозу ткани печени, но чаще это - токсическая дистрофия печени, вирусный гепатит с обширными некрозами, редко - алкогольный гепатит. Для него характерны ранняя печеночно-клеточная недостаточность и поздняя портальная гипертензия.

Портальный цирроз формируется вследствие вклинивания в дольки фиброзных септ из расширенных и склерозированных портальных и перипортальных полей, что ведет к соединению центральных вен с портальными сосудами и появлению мелких (монолобулярных) ложных долек. В отличие от постнекротического портальный цирроз характеризуется однородностью микроскопической картины - тонкопетлистой соединительнотканной сетью и малой величиной ложных долек (рис. 221). Портальный цирроз обычно является финалом хронического гепатита алкогольной или вирусной природы и жирового гепатоза, поэтому мор-

507

Рис.

219. Постнекротический цирроз печени:

а - разрастание фибробластов (Фб) и коллагеновых волокон (КлВ) между гепатоцитами; ЖК - желчный капилляр; БМ - базальная мембрана капилляра. Электронограмма. х14 250 (по Штайнеру); б - несколько триад в поле соединительной ткани (микроскопическая картина)

508

Рис.

220. Постнекротический цирроз. Поверхность печени крупнобугристая. Внизу увеличенная вследствие цирроза селезенка

509

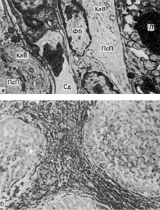
Рис.

221. Портальный цирроз печени:

а - фибробласты (Фб) и пучки коллагеновых волокон (КлВ) в перисинусоидальном пространстве (ПсП); синусоид (СД) сдавлен; в цитоплазме гепатоцитов капли липидов (Л). Электронограмма. х6000 (по Давиду); б - ложные дольки разделены узкими прослойками соединительной ткани, инфильтрированной лимфоцитами и макрофагами (микроскопическая картина)

фологические признаки хронического воспаления и жировой дистрофии гепатоцитов встречаются при этом циррозе довольно часто. Печень при портальном циррозе маленькая, плотная, зернистая или мелкобугристая(мелкоузловой цирроз) (рис. 222).

510