Материал: Патан Серов учебник

Внимание! Если размещение файла нарушает Ваши авторские права, то обязательно сообщите нам

сидерофагов, а также краевом стоянии лейкоцитов и лейкодиапедезе. Эти изменения выражены главным образом в дистальном отделе аппендикса. Расстройства крово- и лимфообращения сочетаются с дистрофическими изменениями в интрамуральной нервной системе отростка.

В последующие часы на фоне дисциркуляторных изменений в дистальном отделе аппендикса появляются фокусы экссудативного гнойного воспаления слизистой оболочки, называемые первичным аффектом. На вершине такого конусовидного фокуса, обращенной в просвет отростка, отмечаются поверхностные дефекты эпителия. Эти микроскопические изменения характеризуют острый поверхностный аппендицит, при котором отросток становится набухшим, а серозная оболочка его - полнокровной и тусклой. Изменения, свойственные простому или поверхностному аппендициту, обратимы, если же они прогрессируют, развивается острый деструктивный аппендицит.

К концу первых суток лейкоцитарный инфильтрат распространяется на всю толщу стенки отростка - развивается флегмонозный аппендицит (рис. 210). Размеры отростка увеличиваются, серозная оболочка его становится тусклой и полнокровной, на поверхности ее появляется фибринозный налет (рис. 211, см. на цв. вкл.); стенка на разрезе утолщена, из просвета выделяется гной. Брыжейка отечна, гиперемирована. Если на фоне диффузного гнойного воспаления отростка появляются множественные мелкие гнойнички (абсцессы), говорят об апостематозном аппендиците, если же к флегмонозному аппендициту присоединяется изъязвление слизистой оболочки - о флегмонозно-язвенном аппендиците. Завершает гнойно-деструктивные изменения отростка гангренозный аппендицит, который называют вторичным, так как он возникает в результате перехода гнойного процесса на окружающие ткани (периаппендицит, см. рис. 211), в том числе и на брыжеечку отростка (мезентериолит), что ведет к тромбозу аппендикулярной артерии.

Вторичный гангренозный аппендицит следует отличать от гангрены аппендикса, развивающейся при первичном тромбозе или тромбоэмболии его артерии. Очевидно, поэтому гангрену аппендикса не совсем удачно называют первичным гангренозным аппендицитом.

486

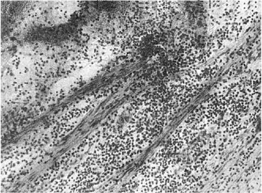
Рис.

210. Флегмонозный аппендицит. Отек стенки и расслоение ее гнойным экссудатом

Вид аппендикса при гангренозном аппендиците весьма характерен. Отросток утолщен, серозная оболочка его покрыта грязно-зелеными фибринозно-гнойными наложениями. Стенка также утолщена, серогрязного цвета, из просвета выделяется гной. При микроскопическом исследовании обнаруживаются обширные очаги некроза с колониями бактерий, кровоизлияния, тромбы в сосудах. Слизистая оболочка изъязвлена почти на всем протяжении.

Осложнения. При остром аппендиците осложнения связаны с деструкцией отростка и распространением гноя. Нередко возникающая при флегмонозно-язвенном аппендиците перфорация стенки ведет к развитию ограниченного и разлитого перитонита,

который появляется также при самоампутации гангренозно-измененного аппендикса. Если при флегмонозном аппендиците происходит закрытие проксимального отдела отростка, то просвет дистального отдела растягивается и развивается эмпиема отростка. Распространение гнойного процесса на окружающие отросток ткани и слепую

кишку (периаппендицит, перитифлит)сопровождается образованием осумкованных гнойников, переходом воспаления на забрюшинную клетчатку. Весьма опасно развитие гнойного тромбофлебита сосудов брыжейки с распространением его на ветви

воротной вены и возникновением пилефлебита (от греч. pile - ворота, flebos - вена). В таких случаях возможны тромбобактериальная эмболия разветвлений воротной вены в печени и образование в ней пилефлебитических абсцессов.

Хронический аппендицит. Он развивается после перенесенного острого аппендицита и характеризуется склеротическими и атрофическими процессами, на фоне которых могут появиться воспалительно-деструктивные изменения. Обычно воспаление и деструкция

487

сменяются разрастанием грануляционной ткани в стенке и просвете отростка. Грануляционная ткань созревает, превращается в рубцовую. Возникают резкий склероз и атрофия всех слоев стенки, облитерация просвета отростка, между аппендиксом и окружающими тканями появляются спайки. Эти изменения могут сочетаться с гранулирующими и острыми язвами, гистиолимфоцитарной и лейкоцитарной инфильтрацией стенки аппендикса.

Иногда при рубцовой облитерации проксимального отдела отростка в его просвете накапливается серозная жидкость и отросток превращается в кисту - развивается водянка отростка. Если содержимым кисты становится секрет желез - слизь, то говорят о мукоцеле. Редко слизь вследствие перистальтики отростка собирается в шаровидные

образования (миксоглобулы), что ведет к миксоглобулезу отростка. При прорыве кисты и попадании слизи и образующих ее клеток в брюшную полость возможна имплантация этих клеток на брюшине, что ведет к ее изменениям, напоминающим опухоль - миксому. В таких случаях говорят опсевдомиксоме брюшины.

О ложном аппендиците говорят в тех случаях, когда клинические признаки приступа аппендицита обусловлены не воспалительным процессом, а дискинетическими расстройствами. В случаях гиперкинеза отрост-

ка мышечный слой его сокращен, фолликулы увеличены, просвет резко сужен. При атонии просвет резко расширен, заполнен каловыми массами (копростаз), стенка отростка истончена, слизистая оболочка атрофична.

Опухоли кишечника

Среди опухолей кишечника наибольшее значение имеют эпителиальные - доброкачественные и злокачественные.

Из доброкачественных эпителиальных опухолей наиболее часто встречаются аденомы (в видеаденоматозных полипов). Они локализуются обычно в прямой кишке, затем по частоте - в сигмовидной, поперечной ободочной, слепой и тонкой. Среди аденом кишечника выделяют тубулярную, тубуло-ворсинчатую и ворсинчатую. Ворсинчатая аденома, которая представлена мягкой розово-красной тканью с ворсинчатой поверхностью (ворсинчатая опухоль), имеет железисто-сосочковое строение. Она может малигнизироваться. При множественных аденоматозных полипах говорят о полипозе кишечника, который имеет семейный характер.

Рак встречается как в тонкой, так и в толстой кишке. Рак тонкой кишки встречается редко, обычно вдвенадцатиперстной кишке, в области ее большого (фатерова) соска. Опухоль не достигает больших размеров, очень редко вызывает затруднение оттока желчи, что является причиной подпеченочной желтухи, и осложняется воспалением желчных путей.

488

Рак толстой кишки имеет тенденцию к учащению, смертность от него увеличивается. Из различных отделов толстой кишки рак чаще встречается в прямой кишке, реже в сигмовидной, слепой, печеночном и селезеночном углах поперечной ободочной кишки.

Раку прямой кишки обычно предшествуют хронический язвенный колит, полипоз, ворсинчатая опухоль или хронические свищи прямой кишки (предраковые заболевания).

В зависимости от характера роста различают экзофитные, эндофитные и переходные формы рака.

К экзофитным ракам относят бляшковидный, полипозный и крупнобугристый, к эндофитным - язвенный и диффузно-инфильтративный, обычно суживающий просвет кишки (рис. 212), к переходным - блюдцеобразный рак.

Среди гистологических типов рака кишечника выделяют аденокарциному, муцинозную аденокарциному, перстневидно-клеточный, плоскоклеточный, железистоплоскоклеточный, недифференцированный, неклассифицируемый рак. Экзофитные формы рака имеют обычно строение аденокарциномы, эндофитные формы - строение перстневидноклеточного или недифференцированного рака.

Отдельно выделяют раки заднепроходного канала: плоскоклеточный, клоакогенный, мукоэпидермальный, аденокарциному.

Метастазирует рак прямой кишки в регионарные лимфатические узлы и печень.

Рис.

212.Диффузноинфильтративный рак прямой кишки

Перитонит

489

Перитонит, или воспаление брюшины, нередко осложняет болезни органов пищеварения: прободение язвы желудка или двенадцатиперстной кишки, язвы кишечника при брюшном тифе, неспецифический язвенный колит, дизентерию; он встречается как осложнение при аппендиците, болезнях печени, холецистите, остром панкреатите и др.

Перитонит может быть ограничен тем или иным отделом брюшной полости - ограниченный перитонит или быть распространенным - разлитой перитонит. Чаще это острый экссудативный перитонит (серозный, фибринозный, гнойный), иногда он может быть каловым, желчным. Висцеральная и париетальная брюшина при этом резко

гиперемирована, с участками кровоизлияний, между кишечными петлями видны скопления экссудата, который как бы склеивает петли. Экссудат располагается не только на поверхности органов и стенок брюшной полости, но и скапливается в нижележащих отделах (боковые каналы, полость малого таза). Стенка кишечника дряблая, легко рвется, в просвете имеется много жидкого содержимого и газов.

При разлитом перитоните организация гнойного экссудата сопровождается образованием осумкованных межкишечных скоплений гноя - «абсцессов»; при ограниченном перитоните в области диафрагмы появляется поддиафрагмальный «абсцесс». В исходе фибринозного перитонита образуются спайки в брюшной полости, в ряде случаев развивается хронический слипчивый перитонит (спаечная болезнь), что ведет к кишечной непроходимости.

Иногда хронический перитонит возникает «первично». Обычно он ограниченный: перигастрит при язвенной болезни

желудка, периметрит и перисальпингит после родов или при длительно текущей инфекции (гонорея),перихолецистит при калькулезе желчного пузыря, периаппендицит без клинических проявлений аппендицита в анамнезе. В таких случаях обычно на ограниченном участке брюшины появляется склероз, образуются спайки, нередко нарушающие функцию органов брюшной полости.

БОЛЕЗНИ ПЕЧЕНИ, ЖЕЛЧНОГО ПУЗЫРЯ И ПОДЖЕЛУДОЧНОЙ ЖЕЛЕЗЫ

Болезни печени, поджелудочной железы, а также желчных путей часто связаны патогенетически, что объясняется особенностью их функции и топографической анатомии. Для понимания сущности этих заболеваний, их патогенеза и диагностики большое значение имеет изучение биоптатов. Наиболее часто производят биопсию печени.

Болезни печени

Болезни печени чрезвычайно разнообразны. Они могут быть наследственными и приобретенными, первичными (собственно заболевания

печени) и вторичными (поражения печени при других заболеваниях). К заболеваниям печени нередко ведут инфекции (вирусный гепатит, острая желтая лихорадка, лептоспирозы, описторхоз, тифы и т.д.) и интоксикации как эндогенной (уремия, тиреотоксикоз), так и экзогенной природы (алкоголь, гепатотропные яды, пищевые отравления). Большое значение имеют расстройства кровообращения (шок, хронический венозный застой), нарушения

490