Материал: Патан Серов учебник

Внимание! Если размещение файла нарушает Ваши авторские права, то обязательно сообщите нам

Энтеропатиями называют хронические заболевания тонкой кишки, в основе которых лежат наследственные или приобретенные ферментные нарушения энтероцитов (кишечные ферментопатии). Снижение активности или выпадение определенных ферментов ведет к недостаточному всасыванию тех веществ, которые в норме эти ферменты расщепляют. В результате этого развивается синдром нарушенного всасывания тех или иных пищевых веществ (malabsorption syndrom).

Среди энтеропатий различают: 1) дисахаридазную недостаточность (например, алактазию); 2) гиперкатаболическую гипопротеинемическую энтеропатию (кишечная лимфангиэктазия); 3) глютеновую энтеропатию (нетропическая спру, спру-целиакия).

Патологическая анатомия. Изменения при различных энтеропатиях более или менее однотипны и сводятся к разной степени выраженности дистрофических и атрофических изменений в слизистой оболочке тонкой кишки. Особенно характерны укорочение и утолщение ворсинок, вакуолизация и уменьшение числа энтероцитов с потерей ими микроворсинок (щеточной каемки), углубление крипт и утолщение базальной мембраны, инфильтрация слизистой оболочки плазматическими клетками, лимфоцитами, макрофагами. В поздних стадиях отмечаются почти полное отсутствие ворсинок и резкий склероз слизистой оболочки.

При гиперкатаболической гипопротеинемической энтеропатии описанные изменения сочетаются с резким расширением лимфатических капилляров и сосудов кишечной стенки (кишечная лимфангиэктазия). Гистоферментохимическое исследование биоптатов слизистой оболочки кишки позволяет определить ферментные нарушения, характерные для определенного вида энтеропатии, например недостаточность ферментов, расщепляющих лактозу и сахарозу, при дисахаридазной энтеропатии. При глютеновой энтеропатии диагноз ставится на основании изучения материала двух энтеробиопсий, произведенных до и после аглютеновой диеты.

Для энтеропатии характерны те же последствия, что и для тяжелого хронического энтерита. Они ведут, помимо синдрома нарушенного всасывания, к гипопротеинемии, анемии, эндокринным нарушениям, авитаминозам, отечному синдрому.

Болезнь Уиппла

Болезнь Уиппла (кишечная липодистрофия) - редкое хроническое заболевание тонкой кишки, для которого характерны синдром нарушенного всасывания, гипопротеин- и гиполипидемия, прогрессирующая слабость и похудание.

Этиология. Многие исследователи в связи с обнаружением в макрофагах слизистой оболочки бацилловидных телец придают значение инфекционному фактору. В пользу инфекционной природы болезни говорит и то, что эти тельца при лечении антибиотиками исчезают из слизистой оболочки и вновь появляются при обострении заболевания.

476

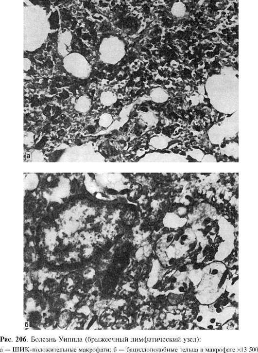
Патологическая анатомия. Как правило, отмечают уплотнение стенки тонкой кишки и ее брыжейки, а также увеличение брыжеечных лимфатических узлов, что связано с отложением в них липидов и жирных кислот и резким лимфостазом. Характерные изменения обнаруживаются при микроскопическом исследовании. Они проявляются выраженной инфильтрацией собственной пластинки слизистой оболочки кишки макрофагами, цитоплазма которых окрашивается реактивом Шиффа (ШИК-положительные макрофаги). Помимо слизистой оболочки, такого же вида макрофаги появляются в брыжеечных лимфатических узлах (рис. 206), печени, синовиальной жидкости. В макрофагах и эпителиальных клетках слизистой оболочки при электронно-микроскопическом исследовании находят бациллоподобные тельца (см. рис. 206). В кишке, лимфатических узлах и брыжейке, в участках накопления жира обнаруживают липогранулемы.

Колит

При колите воспалительный процесс охватывает преимущественно слепую (тифлит), поперечную ободочную(трансверзит), сигмовидную (сигмоидит) или прямую (проктит) кишку, а в некоторых случаях распространяется на всю кишку (панколит). Воспаление может быть как острым, так и хроническим.

Острый колит

Острый колит - острое воспаление толстой кишки.

Этиология. Различают инфекционный, токсический и токсикоаллергический колиты. К инфекционным относят дизентерийный, брюшнотифозный, колибациллярный,

стафилококковый, грибковый, протозойный, септический, туберкулезный, сифилитический колиты, к токсическим - уремический, сулемовый, медикаментозный, а ктоксикоаллергическим - алиментарный и копростатический колиты.

Патологическая анатомия. Выделяют следующие формы острого колита: катаральный, фибринозный, гнойный, геморрагический, некротический, гангренозный, язвенный.

При катаральном колите слизистая оболочка кишки гиперемирована, отечна, на поверхности ее видны скопления экссудата, который может иметь серозный, слизистый или гнойный характер (серозный, слизистый или гнойный катар). Воспалительный инфильтрат пронизывает не только толщу слизистой оболочки, но и подслизистый слой, в котором видны кровоизлияния. Дистрофия и некробиоз эпителия сочетаются с десквамацией поверхностного эпителия и гиперсекрецией желез.

477

Фибринозный колит в зависимости от глубины некроза слизистой оболочки и проникновения фибринозного экссудата делят накрупозный и дифтеритический (см. Дизентерия). Гнойный колит обычно характеризуется флегмонозным воспалением - флегмонозный колит, флегмона толстой кишки. В тех случаях, когда при колите в стенке кишки возникают множественные кровоизлияния, появляются участки геморрагического пропитывания, говорят о геморрагическом колите. При некротическом колите омертвению нередко подвергается не только слизистая оболочка, но и подслизистый слой. Гангренозный колит - вариант некротического. Острый язвенный колит обычно завершает дифтеритические или некротические изменения стенки кишки. В ряде случаев, например при амебиазе, язвы в толстой кишке появляются в самом начале болезни.

478

Осложнения острого колита: кровотечение, перфорация и перитонит, парапроктит с параректальными свищами. В ряде случаев острый колит принимает хроническое течение.

Хронический колит

Хронический колит - хроническое воспаление толстой кишки - возникает первично или вторично. В одних случаях он генетически связан с острым колитом, в других случаях эта связь не прослеживается.

Этиология. Факторы, вызывающие хронический колит, по существу те же, что и у острого,

т.е. инфекционные, токсические и токсикоаллергические. Важное значение приобретает длительность действия этих факторов в условиях повышенной местной (кишечной) реактивности.

Патологическая анатомия. Изменения при хроническом колите, изученные на материале биопсий, мало чем отличаются от таковых при хроническом энтерите, хотя при колите более отчетливо выраженывоспалительные явления, которые сочетаются с дисрегенераторными и ведут к атрофии и склерозуслизистой оболочки. Руководствуясь

этим, различают хронический колит без атрофии слизистой оболочки и хронический атрофический колит.

При хроническом колите без атрофии слизистой оболочки последняя отечна, тускла,

зерниста, серо-красная или красная, нередко с множественными кровоизлияниями и эрозиями. Отмечаются уплощение и десквамация призматического эпителия, увеличение числа бокаловидных клеток в криптах. Сами крипты укорочены, просвет их расширен, иногда они напоминают кисты (кистозный колит). Собственная пластинка слизистой оболочки, в которой встречаются кровоизлияния, инфильтрирована лимфоцитами, плазматическими клетками, эозинофилами, клеточный инфильтрат нередко проникает в ее мышечный слой. Степень клеточной инфильтрации может быть различной - от весьма умеренной очаговой до резко выраженной диффузной с образованием отдельных абсцессов в криптах (криптабсцессы) и очагов изъязвления.

Для хронического атрофического колита характерны уплощение призматического эпителия, уменьшение числа крипт, гиперплазия гладкомышечных элементов. В слизистой оболочке преобладают гистиолим-

фоцитарная инфильтрация и разрастание соединительной ткани; в ряде случаев встречаются эпителизирующиеся и рубцующиеся язвы.

Среди форм хронического колита выделяют так называемый коллагеновый колит, для которого характерно накопление вокруг крипт слизистой оболочки коллагена, аморфного белка и иммуноглобулинов («болезнь перикриптальных фибробластов»). Развитие этой формы колита связывают с извращением синтеза коллагена либо с аутоиммунизацией.

Осложнения. Парасигмоидит и парапроктит, в ряде случаев гиповитаминоз.

479

Неспецифический язвенный колит

Неспецифический язвенный колит (синонимы: идиопатический язвенный колит, язвенный проктоколит) - хроническое рецидивирующее заболевание, в основе которого лежит воспаление толстой кишки с нагноением, изъязвлением, геморрагиями и исходом в склеротическую деформацию стенки. Это довольно распространенное заболевание, которое встречается чаще у молодых женщин.

Этиология и патогенез. В возникновении этого заболевания безусловно значение местной аллергии, которая вызвана, видимо, микрофлорой кишечника. В пользу аллергической природы колита свидетельствует сочетание его с крапивницей, экземой, бронхиальной астмой, ревматическими болезнями, зобом Хасимото. В патогенезе заболевания большое значение придают аутоиммунизации. Это подтверждается обнаружением при язвенном колите аутоантител, фиксирующихся в эпителии слизистой оболочки кишки, характером клеточного инфильтрата слизистой оболочки, который отражает реакцию гиперчувствительности замедленного типа. Хроническое течение болезни и несовершенство репаративных процессов связаны, видимо, не только с аутоагрессией, но и с трофическими расстройствами в связи с выраженной деструкцией интрамурального нервного аппарата кишки.

Патологическая анатомия. Процесс обычно начинается в прямой кишке и постепенно распространяется на слепую. Поэтому встречаются как относительно изолированные поражения прямой и сигмовидной или прямой, сигмовидной и поперечной ободочной кишок, так и тотальное поражение всей толстой кишки (рис. 207).

Морфологические изменения зависят от характера течения болезни - острого или хронического (Когой Т.Ф., 1963).

Острая форма соответствует острому прогрессирующему течению и обострению хронических форм. В этих случаях стенка толстой кишки отечна, гиперемирована, с множественными эрозиями и поверхностными язвами неправильной формы, которые сливаются и образуют обширные участки изъязвления. Сохранившиеся в этих участках островки слизистой оболочки напоминают полипы (бахромчатые псевдополипы). Язвы могут проникать в подслизистый и мышечный слои, где отмечаются фибрино-

480