Материал: Патан Серов учебник

Внимание! Если размещение файла нарушает Ваши авторские права, то обязательно сообщите нам

Патологическая анатомия. В течении амилоидоза почек различают латентную, протеинурическую, нефротическую и азотемическую (уремическую) стадии. В разные стадии изменения почек различны и отражают динамику процесса.

Влатентной стадии внешне почки изменены мало, хотя в пирамидах (сосочках) обнаруживаются склероз и амилоидоз по ходу прямых сосудов и собирательных трубок. Изменения клубочков состоят в утолщении и двухконтурности мембран их капилляров, просветы которых аневризматически расширены. Цитоплазма эпителия канальцев, особенно проксимальных, и просветы канальцев забиты белковыми гранулами. В интермедиарной зоне и пирамидах строма пропитана белками плазмы.

Впротеинурической стадии амилоид появляется не только в пирамидах, но и в клубочках в виде небольших отложений в мезангии и отдельных капиллярных петлях, а также в артериолах. Склероз и амилоидоз пирамид и пограничного слоя резко выражены и ведут к выключению и атрофии многих глубоко расположенных нефронов, редукции путей юкстамедуллярного кровотока и лимфотока в мозговом веществе почек. Эпителий канальцев главных отделов в состоянии гиалиново-капельной или гидропической дистрофии; в просвете канальцев обнаруживаются

цилиндры. Почки увеличены, плотны, поверхность их бледно-серая или желто-серая. На разрезе корковый слой широкий, матовый, мозговое вещество серо-розовое, «сального» вида,

нередко цианотичное (большая сальная почка).

Внефротической стадии количество амилоида в почках увеличивается. Он обнаруживается во многих капиллярных петлях большинства клубочков, в артериолах и артериях, по ходу собственной мембраны канальцев, однако выраженный склероз коркового вещества отсутствует. В пирамидах и интермедиарной зоне, наоборот, склероз и амилоидоз имеют диффузный характер. Канальцы расширены, забиты цилиндрами. В эпителии канальцев в строме много липидов (холестерина). Почки имеют вид, типичный для так называемого амилоидно-липоидного нефроза. Они становятся большими, плотными,

восковидными - большая белая амилоидная почка.

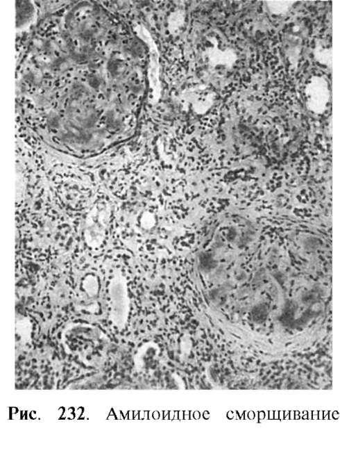
Вазотемической (уремической) стадии в связи с нарастающим амилоидозом и склерозом наблюдаются гибель большинства нефронов, их атрофия, замещение соединительной тканью. Почки обычных размеров или несколько уменьшены. Они очень плотные, со множеством рубцовых западений на поверхности (амилоидно-сморщенные почки) (рис. 232).

Вэтой стадии нередко развивается гипертрофия сердца, особенно левого желудочка, что связано с развитием нефрогенной артериальной гипертензии.

Осложнения. Осложнением амилоидоза почек обычно является какаялибо инфекция (пневмония, рожа, паротит), которая возникает вследствие резкого снижения сопротивляемости организма на почве иммунной недостаточности и обменных нарушений. Возможны осложнения в связи с развивающейся при амилоидозе нефрогенной артериальной гипертензией (инфаркты, кровоизлияния, сердечная недостаточность). Сравнительно редко встречается двусторонний тромбоз венозной системы почек. Больному амилоидозом в любой

531

стадии угрожает острая почечная недостаточность. К этому осложнению могут вести избыточное накопление в крови продуктов белкового распада, редукция почечного кровообращения при шокоподобном снижении артериального давления, сосудистые расстройства в связи с трюмбозом почечных вен, интер-

куррентные заболевания и др.

Смерть больных при амилоидозе почек наступает обычно вследствие хронической почечной недостаточности и уремии в финальной стадии заболевания. Однако в ряде случаев причиной ее становится острая почечная недостаточность или присоединившаяся инфекция.

К гломерулопатиям относят также диабетический гломерулосклероз (см. Болезни желез внутренней секреции) как основное выражение диабетической нефропатии и печеночный

532

гломерулосклероз (см. Болезни печени, желчного пузыря и поджелудочной железы), развивающийся при хроническом гепатите и циррозе печени.

Тубулопатии

Острая почечная недостаточность

Острая почечная недостаточность - синдром, морфологически характеризующийся некрозом эпителия канальцев и глубокими нарушениями почечного крово- и лимфообращения. Острая почечная недостаточность отождествляется с некротическим нефрозом (некронефроз).

Этиология. Основными причинами являются интоксикации и инфекции. К развитию некротического нефроза могут вести отравления солями тяжелых металлов (ртуть, свинец, висмут, хром, уран), кислотами (серная, хлористоводородная, фосфорная, щавелевая), многоатомными спиртами (этилен-гликоль, или антифриз), веществами наркотического ряда (хлороформ, барбитураты) и сульфаниламидами («сульфаниламидная почка»). Острая почечная недостаточность наблюдается при ряде тяжелых инфекций (холера, брюшной тиф, паратиф, дифтерия, сепсис), она может осложнять заболевания печени (гепаторенальный синдром) и самих почек (гломерулонефрит, амилоидоз, почечнокаменная болезнь). Некронефроз возникает при травматических повреждениях (синдром длительного раздавливания - crush syndrom, послеоперационная острая почечная недостаточность), обширных ожогах, массивном гемолизе («гемолитическая почка»), обезвоживании и обесхлоривании («хлорогидропеническая почка»).

Патогенез. Развитие острой почечной недостаточности тесно связано с механизмами шока любой этиологии - травматического, токсического, гемолитического, бактериального. Любой шоковый раздражитель, способный вызвать острое нарушение кровообращения, гиповолемию и падение артериального давления, может явиться причиной развития острой почечной недостаточности. В связи с этим основным звеном ее патогенеза становятся нарушения почечной гемодинамики как отражение общих гемодинамических сдвигов при шоке, которое сводится к спазму сосудов коркового слоя и сбросу основной массы крови на границе коры и мозгового вещества в вены по почечному шунту. Редуцированное кровообращение в почках определяет как прогрессирующую ишемию коркового вещества, так и нарушения почечного лимфотока с развитием отека интерстиция. В связи с нарастанием ишемии коры развиваются глубокие дистрофические и некротические изменения канальцев главных отделов

с разрывом канальцевой базальной мембраны (тубулорексис). В развитии дистрофии и некроза канальцев большую роль играет также непосредственное действие на эпителий циркулирующих в крови нефротоксических веществ, причем поражения нефротоксического характера касаются преимущественно проксимальных канальцев.

Некроз канальцев и разрывы их базальной мембраны определяют возможность неадекватной канальцевой реабсорбции, поступление клубочкового ультрафильтрата плазмы в почечный

533

интерстиций. Это способствует нарастанию отека почечной ткани, повышению внутрипочечного давления. С некрозом канальцев, разрывом их базальной мембраны, тубуловенозным рефлюксом (от лат. reflux - обратное течение) связана закупорка канальцев пигментным детритом, кристаллами миоглобина, погибшими клетками и т.д. Канальцевая обструкция и прогрессирующий отек интерстиция являются основными причинами нарастания внутрипочечного давления, усугубляющего состояние тканевой гипоксии и аноксии.

На смену деструктивным процессам в канальцах приходят репаративные. Однако при острой почечной недостаточности полного восстановления почечной паренхимы не происходит; развивается очаговый нефросклероз. Поэтому можно говорить лишь о выздоровлении со

структурным ущербом.

Патологическая анатомия. В различные стадии циклического течения патологическая анатомия острой почечной недостаточности неоднозначна. Различают начальную (шоковую), олигоанурическую стадию и стадию восстановления диуреза. Внешний вид почек независимо от стадии заболевания одинаков: они увеличены, набухшие, отечные, фиброзная капсула напряжена, легко снимается. Широкий бледно-серый корковый слой резко отграничен от темно-красных пирамид, в интермедиарной зоне почки и лоханке нередко возникают кровоизлияния.

При гистологическом исследовании в разные стадии заболевания в почках находят различные изменения. Динамику этих изменений удается проследить с помощью пункционных биопсий почки.

Вначальной (шоковой) стадии отмечается резкое, преимущественно венозное, полнокровие интермедиарной зоны и пирамид при очаговой ишемии коркового слоя, где капилляры клубочков находятся в спавшемся состоянии. Отек интерстиция сопровождается лимфостазом, наиболее выраженным в интермедиарной зоне. Эпителий канальцев главных отделов находится в состоянии гиалиново-капельной, гидропической или жировой дистрофии. Просветы канальцев неравномерно расширены, содержат цилиндры, иногда кристаллы миоглобина.

Волигоанурической стадии выражены некротические изменения канальцев главных отделов. Эти изменения имеют очаговый характер и сопровождаются деструкцией базальных мембран преимущественно дистальных канальцев - тубулорексисом. Цилиндры «перекрывают» нефрон на разных уровнях, что ведет к застою клубочкового ультрафильтрата

в

полости клубочковой капсулы. Отек интерстиция усиливается, к нему присоединяются лейкоцитарная инфильтрация, геморрагии. Более резко выражен и венозный застой, на фоне которого нередко происходит тромбоз вен.

В стадии восстановления диуреза многие клубочки становятся полнокровными, а отек и инфильтрация почки значительно уменьшаются.

534

Участки некроза эпителия канальцев чередуются с островкамирегенератами из светлых эпителиальных клеток. Некротизированные канальцы, мембрана которых сохранена, регенерируют полностью. В участках, где некроз канальцев сопровождался разрушением базальной мембраны, на месте погибшего нефрона разрастается соединительная ткань, образуются очаги склероза.

Морфология почек при острой почечной недостаточности разной этиологии сходна, хотя и имеет некоторую специфику в зависимости от характера причинного фактора. Так, при отравлении сулемой («сулемовая почка»)появляются массивные отложения солей кальция в участках некроза, для гемолитической почки характерны скопления в канальцах гемоглобина в виде аморфных масс и гемоглобиновых цилиндров. При отравлении антифризом в просвете канальцев обнаруживаются кристаллы оксалата кальция, а при отравлении сульфаниламидами - сульфаниламидные кристаллы.

Осложнения. Тяжелым осложнением острой почечной недостаточности является сегментарный или тотальный некроз коркового вещества почек. В его возникновении основную роль играют длительность почечной ишемии и глубина

циркуляторных нарушений, хотя нельзя исключить и значение аллергических механизмов.

Исход. Выздоровление при лечении гемодиализом - обычное явление в настоящее время. Однако в ряде случаев острая почечная недостаточность ведет к смерти от уремии, которая чаще наступает в шоковой или олигоанурической стадии. Некроз коркового

вещества почек в подавляющем большинстве случаев заканчивается летально, хотя жизнь больных можно продлить благодаря применению гемодиализа. Иногда спустя многие годы после острой почечной недостаточности развивается рубцовое сморщивание почек и больные погибают от хронической почечной недостаточности.

Хронические тубулопатии

К хроническим тубулопатиям обструктивного генеза относятся миеломная почка и подагрическая почка.

В основе характерных для миеломной почки изменений лежит парапротеинемический нефроз (см. Хронические лейкозы), который развивается в связи с засорением стромы почек и закупоркой канальцев низкомолекулярным белком - парапротеином, секретируемым миеломными клетками. В финале происходит вторичноесморщивание почек, иногда присоединяется амилоидоз. Больные умирают от хронической почечной недостаточности.

При подагрической почке засорение интерстиция и обструкция канальцев связаны с повышенным выделением почками мочевой кислоты (гиперурикурия), содержание которой в крови также повышено (гиперурикемия). В результате повреждения почечной ткани мочевой кислотой и ее солями, а также аутоинфекции в почках и лоханках часто развивается пиелонефрит.

535