Материал: Патан Серов учебник

Внимание! Если размещение файла нарушает Ваши авторские права, то обязательно сообщите нам

Наследственные тубулопатии связаны с недостаточностью определенных ферментов, осуществляющих функции канальцев. Среди наследственных канальцевых ферментопатий различают: 1) тубулопатии с полиурическим синдромом (почечная глюкозурия, несахарный диабет, солевой диабет); 2) тубулопатии, проявляющиеся рахитоподобным заболеванием, остеопатией (фосфат-диабет; глюкозоаминоацидурический рахит, или синдром Дебре-де Тони-Фанкони); 3) тубулопатии с нефролитиазом и нефрокальцинозом (цистинурия, глицинурия, первичная гипероксалурия, почечный канальцевый ацидоз).

Интерстициальный нефрит

Интерстициальным (межуточным) нефритом в широком смысле слова обозначают воспаление преимущественно межуточной ткани почек с последующим вовлечением в процесс всего нефрона. Среди заболеваний группы интерстициального нефрита наибольшее значение имеют тубулоинтерстициальный нефрит и пиелонефрит.

Тубуло-интерстициальный нефрит

Тубуло-интерстициальный нефрит - группа заболеваний, характеризующихся преимущественным иммуновоспалительным поражением интерстиция и канальцев почек.

Этиология и патогенез. Этиологические факторы разнообразны: токсические (лекарственные вещества, особенно антибиотики и анальгетические препараты; тяжелые металлы), метаболические (гиперкальциноз, гипокалиемия), радиационные, инфекционные (вирусы, бактерии), иммунологические и сенсибилизирующие, ангиогенные (васкулиты), онкогенные (лейкозы, злокачественные лимфомы) и наследственные.

В патогенезе наибольшее значение имеют иммунопатологические механизмы (иммунокомплексный, антительный, клеточный иммунный цитолиз).

Классификация. Различают первичный (самостоятельное заболевание)

и вторичный (чаще при системной красной волчанке, ревматоидном артрите, синдроме Гудпасчера, реакции отторжения почки) острый ихронический тубуло-интерстициальный нефрит.

Патологическая анатомия. При остром тубуло-интерстициальном нефрите находят отек и инфильтрацию интерстиция почек лимфоцитами и макрофагами - лимфогистиоцитарный вариант, плазмобластами и плазмоцитами - плазмоцитарный вариант или эозинофилами - эозинофильный вариант; возможно образование эпителиоидно-клеточных гра-

536

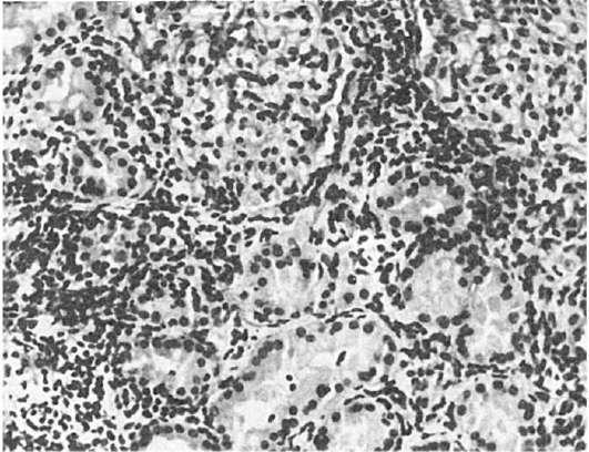
Рис.

233. Острый тубуло-интерстициальный нефрит

нулем - гранулематозный вариант. Клеточный инфильтрат располагается периваскулярно и, проникая в межканальцевые пространства, разрушает нефроциты (рис. 233). Некротические изменения нефроцитов сочетаются с дистрофическими. На базальной мембране канальцев выявляются компоненты иммунных комплексов (IgG, IgM и С3).

При хроническом тубуло-интерстициальном нефрите лимфогистиоцитарная инфильтрация стромы сочетается со склерозом, особенно периваскулярным и перидуктальным, а дистрофия нефроцитов - с ихрегенерацией. Электронно-микроскопическое исследование нефробиоптатов свидетельствует о том, что среди клеток инфильтрата преобладают активированные лимфоциты и макрофаги, а базальная мембрана канальцев, с которой контактируют эти клетки, фенестрирована и утолщена. Эти изменения служат проявлением клеточного иммунного цитолиза.

Исходом тубуло-интерстициального нефрита может быть различной степени нефросклероз.

Пиелонефрит

Пиелонефрит - инфекционное заболевание, при котором в процесс вовлекаются почечная лоханка, ее чашечки и вещество почек с преимущественным поражением межуточной ткани. В связи с этим пиелонефрит является интерстициальным (межуточным) нефритом. Он может быть одно- и двусторонним.

537

На основании клинико-морфологических данных различают острый и хронический пиелонефрит, который имеет обычно рецидивирующее течение в виде атак острого пиелонефрита.

Этиология и патогенез. Пиелонефрит - инфекционное заболевание. Возбудителями его могут быть различные инфекты (кишечная палочка,

энтерококк, стрептококк, стафилококк, протей и др.), однако в большинстве случаев - кишечная палочка. Чаще микробы заносятся в почки восходящим путем из мочеточников, мочевого пузыря, мочеиспускательного канала(урогенный восходящий пиелонефрит). Урогенному восхождению инфекции способствуют дискинезия мочеточников и

лоханки, повышение внутрилоханочного давления (везикоренальный и пиелоренальный рефлюксы), а также обратное всасывание содержимого лоханок в вены мозгового вещества почек (пиеловенозный рефлюкс). Восходящий пиелонефрит нередко осложняет те заболевания мочеполовой системы, при которых затруднен отток мочи (камни и стриктуры мочеточников, стриктуры мочеиспускательного канала, опухоли мочеполовой системы), поэтому он часто развивается и во время беременности. Инфекционные агенты могут проникать в почку, в том числе и лоханку, с током крови (гематогенный нисходящий пиелонефрит). Такой путь возникновения пиелонефрита наблюдается при многих инфекционных заболеваниях (брюшной тиф, грипп, ангина, сепсис). Возможен и лимфогенный занос инфекции в почки(лимфогенный пиелонефрит), источником инфекции в этих случаях являются толстая кишка и половые органы.

Для развития пиелонефрита недостаточно лишь проникновения инфекции в почки. Его возникновение определяется реактивностью организма и рядом местных причин, обусловливающих нарушение оттока мочи и мочевой стаз. Этими же причинами объясняется возможность рецидивирующего хронического течения болезни.

Патологическая анатомия. Изменения при остром и хроническом пиелонефрите различны.

При остром пиелонефрите в разгар заболевания обнаруживаются полнокровие и лейкоцитарная инфильтрация лоханки и чашечек, очаги некроза слизистой оболочки, картина фибринозного пиелита. Межуточная ткань всех слоев почки отечна, инфильтрирована лейкоцитами (рис. 234); нередки множественные милиарные абсцессы, кровоизлияния. Канальцы в состоянии дистрофии, просветы их забиты цилиндрами из слущенного эпителия и лейкоцитов. Процесс имеет очаговый или диффузный характер.

Почка (почки) увеличена, ткань набухшая, полнокровная, капсула легко снимается. Полости лоханок и чашечек расширены, заполнены мутной мочой или гноем, их слизистая оболочка тусклая, с очагами кровоизлияний. На разрезе почечная ткань пестрая, желто-серые участки окружены зоной полнокровия и геморрагии, встречаются абсцессы.

Для хронического пиелонефрита характерна пестрота изменений, так как склеротические процессы, как правило, сочетаются с экссудативнонекротическими. Изменения лоханок и чашечек сводятся к их склерозу, лимфоплазмоцитарной инфильтрации, полипозу слизистой

538

оболочки и метаплазии переходного эпителия в многослойный плоский. В ткани почки выражено хроническое межуточное воспаление с разрастанием соединительной ткани, инкапсуляцией абсцессов и макрофагальной

Рис.

234. Пиелонефрит:

а - острый пиелонефрит. Диффузная лейкоцитарная инфильтрация межуточной ткани почки; б - хронический пиелонефрит, щитовидная почка

резорбцией гнойно-некротических масс. Канальцы подвергаются дистрофии и атрофии. Сохранившиеся канальцы резко растянуты, эпителий их уплощен, просветы заполнены коллоидоподобным содержимым, почка напоминает по строению щитовидную железу (щитовидная почка; см. рис. 234). Выражен преимущественно перигломерулярный и экстракапиллярный гломерулосклероз. Артерии и вены склерозированы.

Изменения почечной ткани при хроническом пиелонефрите имеют очаговый характер: участки межуточного воспаления, атрофии и склероза окружены относительно сохранной почечной тканью, в которой можно найти признаки регенерационной гипертрофии. Эта способность процесса определяет характерный вид почек при хроническом пиелонефрите: размеры почек неодинаковы, поверхность их крупнобугристая, на разрезе видны поля рубцовой ткани, чередующеся с относительно сохранившейся почечной паренхимой; лоханки расширены, стенки их утолщены, белесоваты.

В финале хронического пиелонефрита развивается пиелонефритическая сморщенная почка илипиелонефритические сморщенные почки. При этом характерны неравномерное рубцовое сморщивание, образование плотных спаек между тканью почки и капсулой, склероз

539

лоханок и лоханочной клетчатки, асимметрия процесса в обеих почках. Эти признаки хотя и от-

носительны, но позволяют отличать пиелонефритический нефросклероз от нефросклероза и нефроцирроза другой этиологии.

Осложнения. При остром пиелонефрите прогрессирование гнойного процесса ведет к слиянию крупных абсцессов и образованию карбункула почки, сообщению гнойных полостей с лоханкой (пионефроз), переходу процесса на фиброзную капсулу (перинефрит) и околопочечную клетчатку (паранефрит). Острый пиелонефрит может осложниться некрозом сосочков пирамид (папиллонекроз), развивающимся в результате токсического действия бактерий в условиях мочевого стаза. Это осложнение пиелонефрита встречается чаще у больных диабетом. Редко пиелонефрит становится источником сепсиса. При ограничении гнойного процесса в период рубцевания могут образоваться хронические абсцессы почки. При хроническом пиелонефрите, особенно одностороннем, возможно развитие нефрогенной артериальной гипертензии и артериолосклерозаво второй

(интактной) почке. Двустороннее пиелонефритическое сморщивание почек ведет к хронической почечной недостаточности.

Исход. При остром пиелонефрите исходом обычно является выздоровление. Тяжелые его осложнения (пионефроз, сепсис, папиллонекроз) могут быть причиной смерти. Хронический пиелонефрит со сморщиванием почек нередко заканчивается азотемической уремией. При развитии нефрогенной артериальной гипертензиилетальный исход при хроническом пиелонефрите иногда связан с теми осложениями, которые встречаются при гипертонической болезни (кровоизлияние в мозг, инфаркт миокарда и др.).

Почечнокаменная болезнь (нефролитиаз)

Почечнокаменная болезнь (нефролитиаз) - заболевание, при котором в почечных чашечках, лоханках и мочеточниках образуются камни разной величины, структуры и химического состава (фосфаты, ураты, оксалаты, карбонаты и др.). Заболевание имеет хроническое течение; в процесс вовлекаются одна или обе почки.

Этиология и патогенез. Камнеобразование в почках и мочевых путях изучено недостаточно. Среди общих факторов, способствующих развитию нефролитиаза, имеют значение наследственные и приобретенные нарушения минерального обмена (кальциевого, фосфорного, мочекислого, щавелевокислого) и кислотно-основного состояния (развитие ацидоза), характер питания (преобладание в пище углеводов и животных белков) и минеральный состав питьевой воды (эндемический нефролитиаз), а также недостаток витаминов (авитаминоз А). К местным факторам камнеобразования относят те, которые могут изменить физико-химическое состояние мочи и тем самым способствовать выпадению из нее солей. Важную роль играютвоспалительные процессы в мочевых путях и мочевой стаз. Эти факторы могут вести к повышению концентрации в моче солей, изменению рН и коллоидного равновесия мочи, образованию коллоидной (белковой) основы камня. Большое значение в развитии нефролитиаза

540