Материал: Патан Серов учебник

Внимание! Если размещение файла нарушает Ваши авторские права, то обязательно сообщите нам

ясняется тем, что участки склероза и атрофии (западения) чередуются с участками гипертрофированных нефронов (выбухания). На разрезе слой почечной ткани тонкий, причем особенно истончено корковое вещество; ткань почек сухая, малокровная, серого цвета.

При микроскопическом исследовании в запавших участках отмечаются атрофия клубочков и канальцев, замещение их соединительной тканью (см. рис. 229). Клубочки превращаются в рубчики (гломерулосклероз)или гиалиновые шарики (гломерулогиалиноз). В выбухающих участках клубочки несколько гипертрофированы, капсула их утолщена, капиллярные петли склерозированы. Просвет канальцев расширен, эпителий их уплощен. Артериолы склерозированы и гиалинизированы. В мелких и средних артериях наблюдаются фиброз и гиалиноз интимы, выражены склероз и гистиолимфоцитарная инфильтрация стромы.

При гломерулонефрите, особенно хроническом, страдают не только почки; появляется ряд внепочечных изменений. На почве артериальной гипертензии развиваются гипертрофия сердца, преимущественно левого желудочка, и изменения

сосудов - артерий (эластофиброз, атеросклероз) и артериол (артериолосклероз)мозга,

сердца, почек, сетчатки глаза и др. В связи с этим следует подчеркнуть, что изменения почек при хроническом гломерулонефрите связаны не только с гломерулитом и его эволюцией в гломерулосклероз, но и снефрогенной артериальной гипертонией,

артериолосклерозом. При вторичном сморщивании почек, наличии артериальной гипертонии, гипертрофии сердца и склероза сосудов дифференциальная диагностика хронического гломерулонефрита и почечной формы гипертонической болезни иногда представляет большие трудности.

Осложнения. Осложнением гломерулонефрита при его остром и подостром течении может быть острая почечная недостаточность. Для хронического течения гломерулонефрита характерна хроническая почечная недостаточность с проявлениями азотемической уремии. Возможны также сердечно-сосудистая недостаточность, кровоизлияние в мозг, которые становятся причиной смерти.

Исход острого гломерулонефрита обычно благоприятный - выздоровление, подострого и хронического - неблагоприятный. Хронический гломерулонефрит - самая частая причина хронической почечной недостаточности. Пересадка почек и хронический гемодиализ - единственно возможные способы продления жизни больных в таких случаях.

Нефротический синдром

Нефротический синдром характеризуется высокой протеинурией, диспротеинемией, гипопротеинемией, гиперлипидемией (гиперхолестеринемией) и отеками.

Классификация. Различают первичный, или идиопатический, нефротический синдром, который является самостоятельным заболеванием, и вторичный нефротический синдром как выражение почечного заболевания, например гломерулонефрита, амилоидоза.

526

Первичный нефротический синдром. Этот синдром может быть представлен тремя заболеваниями: липоидным нефрозом (нефропатия с минимальными изменениями), мембранозной нефропатией (мембранозный гломерулонефрит) и фокальным сегментарным склерозом (гиалиноз).

Липоидный нефроз (нефропатия с минимальными изменениями) встречается как у детей, так и у взрослых.

Этиология и патогенез. Причина, вызывающая развитие липоидного нефроза, неизвестна; не исключено, что речь идет о дисплазии подоцитов. Патогенез липоидного нефроза не отличается от нефротического синдрома любой этиологии. Возникающие вторично в связи с изменениями гломерулярного фильтра дистрофия и некробиоз эпителия канальцев становятся ведущими и в значительной мере определяют все клинические проявления, характерные для нефротического синдрома.

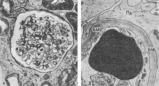
Патологическая анатомия. Для липоидного нефроза характерны так называемые минимальные изменения гломерулярного фильтра, которые выявляются только при электронно-микроскопическом исследовании и выражаются потерей подоцитами их малых отростков («болезнь малых отростков подоцитов») (рис. 230). Базальная мембрана не изменена, реакция гломерулярных клеток отсутствует, иммунные комплексы в клубочках, как правило, не выявляются. В результате слияния подоцитов с мембраной под световым микроскопом она выглядит несколько утолщенной, отмечается незначительное расширение мезангия. В связи с повреждением гломерулярного фильтра, повышением его проницаемости резко изменяются канальцы главных отделов нефрона. Они расширены, эпителий набухший, содержит гиалиновые капли, вакуоли, нейтральные

Рис.

230. Липоидный нефроз:

а - гистологическая картина не изменена; полутонкий срез; б - сохранность базальной мембраны (БМ) капилляров, отсутствие малых отростков подоцитов (Пд). Электронограмма.

х24 000

527

жиры, холестерин (преобладает жировая дистрофия). Дистрофия, некробиоз, атрофия и десквамация эпителия канальцев сочетаются с его регенерацией. В просвете канальцев много гиалиновых, зернистых и восковидных цилиндров. Строма отечна, лимфатические сосуды расширены. В интерстиции много липидов, особенно холестерина, липофагов, лимфоидных элементов.

Почки при липоидном нефрозе резко увеличены, дряблые, капсула снимается легко, обнажая желтоватую гладкую поверхность. Корковый слой на разрезе широкий, желто-белый или бледно-серый, пирамиды серо-красные (большие белые почки).

Течение. Липоидный нефроз при своевременном лечении стероидными гормонами протекает достаточно благоприятно. Однако возможны эволюция минимальных изменений в фокальный сегментарный гломерулярный склероз (гиалиноз) и развитие на поздних стадиях болезни вторичного сморщивания почек.

Мембранозную нефропатию называют также мембранозным гломерулонефритом, хотя воспаление, как таковое, в гломерулах отсутствует. Заболевание характеризуется хроническим течением, клинически проявляется нефротическим синдромом или только протеинурией, имеет типичную светооптическую и электронно-микроскопическую картину.

Этиология и патогенез. Причины развития болезни неизвестны. Патогенез хорошо изучен - мембранозная нефропатия развивается в связи с поражением гломерулярного фильтра циркулирующими иммунными комплексами с неизвестным в подавляющем большинстве случаев антигеном; в ряде случаев в качестве антигена (гаптена) выступают лекарства (D- пеницилламин, препараты золота и др.).

Патологическая анатомия. Для мембранозной нефропатии характерно диффузное утолщение стенок капилляров клубочков при отсутствии или крайне слабой пролиферации мезангиоцитов. Утолщение стенок капилляров происходит за счет новообразования вещества базальнои мембраны подоцитами в ответ на отложения в стенке капилляров субэпителиально иммунных комплексов. Отсутствие воспалительной реакции на иммунные комплексы объясняют наследственным или приобретенным дефицитом Fc-рецепторов мезангиальных клеток, выступающих в роли макрофагов.

Под световым микроскопом новообразованное вещество определяется в виде выростов мембраны в сторону подоцитов между отложениями иммунных комплексов - так называемые шипики на базальнои мембране (рис. 231). Эти изменения базальнои мембраны, выявляемые при электронно-микроскопическом исследовании, называют мембранозной трансформацией (см. рис. 231), завершающейся склерозом и гиалинозом капилляров клубочков. Как правило, изменения клубочков сочетаются с выраженной дистрофией эпителия канальцев.

Почки при мембранозной нефропатии увеличены в размерах, бледнорозовые или желтые, поверхность их гладкая.

528

Рис.

231. Мембранозный гломерулонефрит (мембранозная нефропатия):

а - «шипики» на базальной мембране гломерулярных капилляров (показаны стрелками), полутонкий срез (гистологическая картина); б - субэпителиальные отложения иммунных комплексов (ИК), отделенные друг от друга выростами базальной мембраны (БМ) (показаны стрелками); подоциты (Пд) лишены малых отростков - мембранозная трансформация. Электронограмма. х24 000

Исход. Сморщивание почек и хроническая почечная недостаточность.

Фокальный сегментарный гломерулярный склероз (гиалиноз) может быть как первичным

(идиопатическим) выявляющимся в период формирования нефротического синдрома, так и вторичным, связанным с липоидным нефрозом.

529

Этиология и патогенез не известны. Предполагают, что сегментарный гиалиноз отражает вторичные метаболические нарушения в участках повреждения и коллапса капиллярных петель юкстамедуллярных клубочков.

Патологическая анатомия. Склероз и гиалиноз развиваются избирательно в юкстамедуллярных клубочках,причем поражаются лишь отдельные

клубочки (фокальные изменения), в которых склерозу и гиалинозу подвергаются единичные сегменты сосудистого пучка (сегментарные изменения); остальные клубочки интактны. Особенностью этого вида гломерулопатии является также постоянное обнаружение липидов как в гиалиновых массах, обычно связанных с капсулой клубочков, где находят синехии, так и в мезангиоцитах, приобретающих вид пенистых

клеток. Пролиферация мезангиоцитов отсутствует. Ультраструктурные особенности представлены изменениями эндотелиальной поверхности базальной мембраны гломерулярных капилляров в участках их коллапса: поверхность ее становится как бы обтрепанной.

В исходе фокального сегментарного склероза (гиалиноза) развивается обычно хроническая почечная недостаточность.

Редко встречается наследственный нефритический синдром, который, повидимому, имеет иммунологический механизм развития, так как у матери и ребенка обнаруживаются антиплацентарные и антипочечные антитела. Изменения почек в виде интракапиллярного продуктивного гломерулонефрита и кистозного превращения канальцев в таких случаях нередко сочетаются с аномалиями развития почек. Дети умирают от хронической почечной недостаточности.

Амилоидоз почек

Амилоидоз почек представляет собой одно из проявлений общего амилоидоза

(см. Стромально-сосудистые белковые дистрофии) с яркой клинико-морфологической и нозологической спецификой (нефропатический амилоидоз).

Этиология. Особенно часто нефропатический амилоидоз находят при АА-амилоидозе - вторичном, осложняющем ревматоидный артрит, туберкулез, бронхоэктазы, и наследственном, точнее, при периодической болезни. Из этого следует, что амилоидоз почек - это чаще всего «вторая болезнь».

Патогенез. Механизм развития амилоидоза почек подчинен закономерностям развития АА-

амилоидоза [см.Стромально-сосудистые белковые дистрофии

(диспротеинозы)]. Избирательность поражения почек при этом виде амилоидоза можно объяснить тем, что сывороточный предшественник белка фибрилл амилоида - SAA, содержание которого в плазме крови при амилоидозе увеличивается в сотни раз, фильтруясь в почечных клубочках, расходуется на построение фибрилл амилоида мезангиоцитами.

530