Материал: Патан Серов учебник

Внимание! Если размещение файла нарушает Ваши авторские права, то обязательно сообщите нам

Иногда в тяжелых случаях острый гломерулонефрит имеет морфологические изменения, характерные длянекротического гломерулонефрита: фибриноидный некроз капилляров клубочка и приносящей артериолы наряду с тромбозом капилляров и инфильтрацией нейтрофильными лейкоцитами.

Почки при остром гломерулонефрите несколько увеличены, набухшие. Пирамиды темнокрасные, кора серовато-коричневого цвета с мелким красным крапом на поверхности и разрезе или с сероватыми полупрозрачными точками (пестрая почка). Однако в ряде случаев (смерть в первые дни болезни) почки при вскрытии могут казаться совершенно неизмененными и лишь гистологическое исследование выявляет диффузный гломерулонефрит.

Изменения почек, характерные для острого гломерулонефрита, чаще полностью обратимы. Однако в ряде случаев они сохраняются более года (острый затянувшийся гломерулонефрит) и могут трансформироваться в хронический.

Подострый гломерулонефрит развивается в связи с поражением клубочков почек как циркулирующими иммунными комплексами, так и антителами. Течет он быстро (быстропрогрессирующий гломерулонефрит), рано наступает почечная

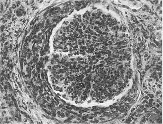
недостаточность (злокачественный гломерулонефрит).Характерны экстракапиллярные продуктивные изменения клубочков - экстракапиллярный продуктивный гломерулонефрит. В результате пролиферации эпителия капсулы (нефротелия), подоцитов и макрофагов появляются полулунные образования («полулуния»), которые сдавливают клубочек (рис. 225). Капиллярные петли подвергаются некрозу, в просвете их образуются фибриновые тромбы. Массы фибрина обнаруживаются и в полости капсулы, куда они поступают через микроперфорации каттиллярных мембран. Скопления фибрина в полости капсулы клубоч-

521

Рис.

225. Экстракапиллярный продуктивный гломерулонефрит. «Полулуние» из пролиферирующих клеток нефротелия и подоцитов

ков способствуют превращению эпителиальных «полулуний» в фиброзные спайки или гиалиновые поля. Изменения клубочков сочетаются с выраженной дистрофией нефроцитов, отеком и инфильтрацией стромы почек. Рано наступают склероз и гиалиноз клубочков, атрофия канальцев и фиброз стромы почек.

Почки при подостром гломерулонефрите увеличены, дряблые, корковый слой широкий, набухший, желто-серый, тусклый, с красным крапом и хорошо отграничен от темно-красного мозгового вещества почки (большая пестрая почка - рис. 226, см. на цв. вкл.) либо красный и сливается с полнокровными пирамидами («большая красная почка»).

Хронический гломерулонефрит - самостоятельное заболевание, протекающее латентно или с рецидивами, растягивающееся иногда на многие годы и заканчивающееся хронической почечной недостаточностью. Причина развития хронического гломерулонефрита обычно неясна, но механизм его развития хорошо изучен: в 80-90% случаев он связан с циркулирующими иммунными комплексами. Хронический гломерулонефрит представлен двумя морфологическими типами - мезангиальным и фибропластическим (склерозирующим).

Мезангиальный гломерулонефрит развивается в связи с пролиферацией мезангиоцитов в ответ на отложения под эндотелием и в мезангии иммунных комплексов. При этом отмечается расширение мезангия сосудистого пучка клубочков и накопление в нем матрикса. При пролиферации мезангиоцитов их отростки выселяются на периферию капиллярных петель (интерпозиция мезангия), что ведет к «отслойке» эндотелия от мембраны и под световым микроскопом определяется как утолщение, двухконтурность или расщепление

522

базальной мембраны капилляров. В зависимости от степени выраженности и характера изменений как мезангия, так и стенок капилляров клубочков различают мезангиопролиферативный и мезангиокапиллярный варианты мезангиального гломерулонефрита.

При мезангиопролиферативном гломерулонефрите, клиническое течение которого относительно доброкачественное, отмечаются пролиферация мезангиоцитов и расширение мезангия без существенных изменений стенок капилляров клубочков (рис. 227).

Для мезангиокапиллярного гломерулонефрита,отличающегося довольно быстрым развитием хронической почечной недостаточности, характерны не только выраженная пролиферация мезангиоцитов, но и диффузное повреждение (утолщение и расщепление) мембран капилляров клубочков в связи с интерпозицией мезангия (рис. 228). Иногда в связи с пролиферацией мезангиоцитов и увеличением мезангиального матрикса в центре долек капиллярные петли смещаются к периферии и сдавливаются, что определяет ранний гиалиноз сосудистых долек клубочков. В таких случаях говорят о лобулярном гломерулонефрите как разновидности мезангиокапиллярного.

Для мезангиального гломерулонефрита характерны изменения не только клубочков, но и канальцев (дистрофия, атрофия) и стромы (клеточная инфильтрация, склероз).

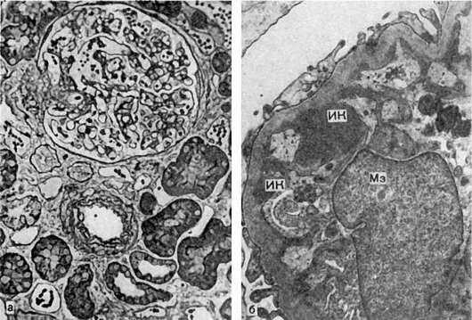
Рис.

227.Мезангиопролиферативный гломерулонефрит:

а - пролиферация мезангиальных клеток, расширение мезангия, полутонкий срез (гистологическая картина); б - гипертрофия мезангиоцитов (Мз), отложение иммунных комплексов (ИК) в мезангии. Электронограмма. х12 000

Почки при мезангиальном гломерулонефрите плотные, бледные, с желтыми пятнами в корковом слое.

523

Фибропластический (склерозирующий) гломерулонефрит представляет собой собирательную форму, при которой склероз и гиалиноз капиллярных петель и образование спаек в полости капсулы завершают изменения, свойственные другим морфологическим типам нефрита. В тех случаях, когда фибропластической трансформации подвергается большинство клубочков, говорят о диффузном, а часть клубочков - об очаговомфибропластическом гломерулонефрите. При фибропластическом

гломерулонефрите, особенно диффузном, выражены дистрофические и атрофические изменения канальцев, склероз стромы и сосудов почек.

Почки при фибропластическом (диффузном) гломерулонефрите могут быть несколько уменьшены, с намечающимися мелкими западениями на поверхности; они, как правило, плотные, серо-красные.

Хронический гломерулонефрит, как правило, претерпевает эволюцию во вторичное (нефритическое) сморщивание почек (вторично-сморщенные почки) (рис. 229, см. на цв. вкл.). Размеры почек уменьшаются, они становятся плотными, поверхность их мелкозернистая (при равномерном сморщивании - гладкая). Зернистый характер поверхности почек объ-

524

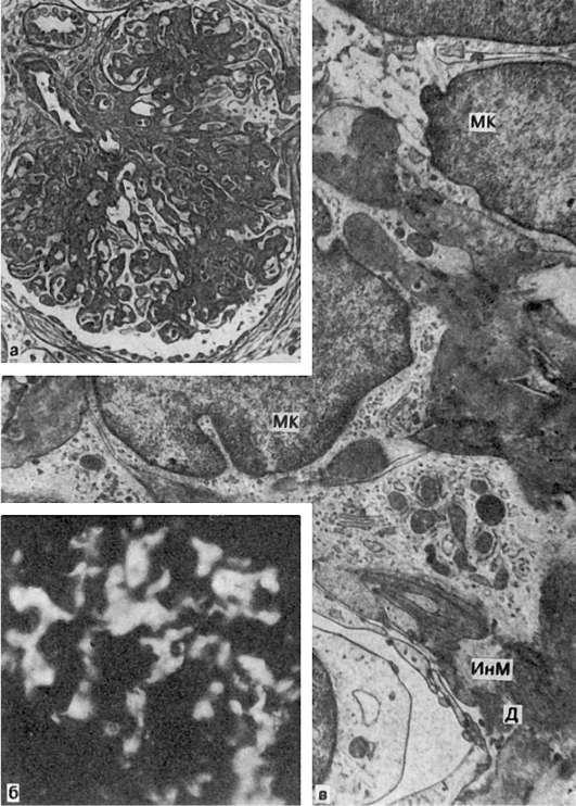
Рис.

228. Мезангиокапиллярный гломерулонефрит:

а - пролиферация мезангиальных клеток, склероз сосудистых петель, дольчатость клубочка (гистологическая картина); б-С3-иммунные комплексы на базальной мембране и в мезангии клубочка; в - пролиферация мезангиальных клеток (МК), интерпозиция мезангия (ИнМ), депозиты иммунных комплексов (Д) в мезангии. Электронограмма. х25 000

525