Материал: панкреатит и кишечник

Внимание! Если размещение файла нарушает Ваши авторские права, то обязательно сообщите нам

Рентгенография: стеноз двенадцатиперстной кишки при хроническом панкреатите:

10)УЗИ: позволяет выявить наличие, характер и

протяженность патологического процесса в ПЖ увеличение и изменение плотности ПЖ, кальцинаты, псевдокисты и др.

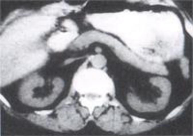
11)компьютерная томография: очаги некроза,

обыизвествлений и кист ПЖ

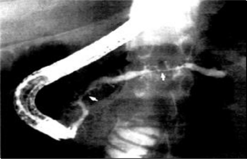
12)ЭРПХГ - эндоскопической ретроградной панкреатохолангиографии, данный метод значительно повысил точность диагностики ХП и расширил лечебные возможности.

УЗИ при хроническом панкреатите:

Компьютерная томография (норма):

Эндоскопическая ретроградная панкреатохолангиография:

Увеличение

интрапанкреатического давления вследствие стеноза протоков ПЖ

Две области выраженного сужения основного протока ПЖ, с последующим постстенотическим расширением