Материал: Литусов_Пиогенные кокки

Внимание! Если размещение файла нарушает Ваши авторские права, то обязательно сообщите нам

На поверхности пневмококков обнаружено 69 белков, которые могут участвовать в колонизации. Прикрепление пневмококков к клеткам организма осуществляется с помощью поверхностных адгезинов. К ним относятся пневмококковые поверхностные адгезины А и С, а также холин-связывающие белки. Со стороны эпителиальных клеток в формировании контакта участвуют сиаловая кислота и некоторые другие компоненты.

Капсула является основным фактором патогенности пневмококков. Бескапсульные варианты пневмококков авирулентны. Капсула обладает антифагоцитарной активностью.

Белки системы MSCRAMM являются поверхностными микробными компонентами, распознающими адгезивные матриксные молекулы. К ним относятся концевой пилиновый белок RrgA, холин-связывающие белки, фибронектин- связывающий белок.

М-протеин

Капсула

Пневмолизин

PspA

Аутолизин

Fbp

Пили

PspC

Нейраминидаза

Рисунок 1.78 – Основные факторы патогенности пневмококка.

Концевой пилиновый белок RrgA представляет собой плазминоген- связывающий белок.

Холин-связывающие белки (пневмококковые поверхностные белки PspA и PspС) участвуют в адгезии микробной клетки. Белок PspA предотвращает фиксацию комплемента на бактериальной клетке и тем самым спасает микроб от опсонизации и последующего фагоцитоза. Кроме того этот белок связывает лактоферрин, имеющийся на слизистой оболочке респираторного тракта. Эти белки способствуют также транслокации пневмококков через респираторный эпителий и гемато-энцефалический барьер.

Тейхоевая кислота клеточной стенки содержат фосфорилхолин, с помощью которого она специфически взаимодействуют с С-полисахаридом и поверхностными холин-связывающими белками. Тейхоевая и липотейхоевая кислоты выполняют роль адгезинов.

Фибронектин-связывающий белок (Fbp) выполняет функцию адгезии и распространения микробных клеток в тканях.

Пили. У пневмококка описано 2 типа пилей – Pl-1 и Pl-2. Синтез пилей кодируется генами, входящими в состав двух островков патогенности. Пили выполняют функцию адгезии пневмококка к эпителию дыхательных путей.

М-белок обеспечивает адгезию и устойчивость к фагоцитозу.

Протеаза разрушает секреторный иммуноглобулин А, что снижает защитную функцию слизистой оболочки дыхательных путей.

Гиалуронидаза разрушает гиалуроновую кислоту соединительной ткани, способствуя распространению пневмококков в организме.

Нейраминидаза (сиалидаза) отщепляет сиаловую кислоту от гликопротеинов, липопротеинов и олигосахаридов, входящих в состав тканей организма, и тем самым оголяет клеточные рецепторы для пневмококковых адгезинов.

Пневмолизины – мембраноповреждающие токсины, разрушают реснички мерцательного эпителия, подавляют фагоцитоз. Протомеры пневмолизина адсорбируются холестерином билипидного слоя мембран эритроцитов, затем после ряда конформационных изменений протомеры преобразуются в гептамеры, проникают через мембрану и формируют пору, через которую происходит выход из клетки и проникновение в клетку небольших молекул и ионов, обусловливающих

осмотический лизис эритроцитов. Пневмолизин способен поражать клетки бронхиального эпителия, альвеолярного эпителия и эндотелий легочных артерий, то есть те клетки, которые участвуют в создании легочно-капиллярного барьера. Кроме этого, пневмолизин стимулирует высвобождение фактора некроза опухоли и интерлейкинов макрофагами, что усиливает воспалительную реакцию.

Лейкоцидин разрушает нейтрофилы, моноциты, макрофаги.

Патогенез пневмококковой инфекции. Механизм проникновения пневмококка в организм – аэрогенный. На слизистой оболочке верхних дыхательных путей возбудитель размножается, с помощью ферментов агрессии разжижает слизь, достигает эпителия и прикрепляется к эпителиальным клеткам и элементам соединительной ткани с помощью адгезинов (пилей, многочисленных поверхностных молекул системы MSCRAMM). В результате этого происходит колонизация слизистой оболочки. В процессе колонизации формируется биопленка, состоящая вначале из бескапсульных высоко адгезивных клеток, а затем из капсульных более инвазивных клеток. Заключенные в биопленку клетки пневмококков устойчивы к действию антибиотиков. Колонизация пневмококками слизистых оболочек верхних дыхательных путей и образование биопленки протекает бессимптомно (здоровое носительство). Распространение патогена в нижние отделы респираторного тракта проявляется клиническими симптомами заболевания. В кровоток из инфицированных тканей пневмококк проникает путем эндоцитоза эндотелиальными клетками и разрыва межклеточных связей с помощью ферментов агрессии. На всех этапах соприкосновения с внутренней средой организма пневмококк защищает себя с помощью капсулы, пневмолизина и поверхностных белков.

Резистентность пневмококков. Вне организма пневмококки малоустойчивы. Они могут сохраняться во внешней среде не более 3-4 недель. Быстро погибают под влиянием высокой температуры, например, при 85ОС погибают через 30 минут. Пневмококки чувствительны к обычно используемым дезинфицирующим веществам: от действия 1% раствора формалина, 2% раствора едкого натра гибель пневмококков наступает в течение 1-2 минут.

Экология. Пневмококк колонизирует верхние отделы дыхательных путей человека. У людей он является одним из возбудителей менингита, среднего отита, синусита, внебольничной пневмонии. Реже пневмококк вызывает эндокардиты, септический артрит, флегмоны и другие инфекции. Пневмококковая инфекция поражает как взрослых, так и детей и часто проявляется как осложнение других инфекций, в частности, вирусных. По данным Всемирной организации здравоохранения, ежегодно в мире от инфекций, обусловленных пневмококком, умирает более 1,8 млн. человек, из них более половины – дети в возрасте до 5 лет.

Эпидемиология пневмококковой инфекции. Возможно экзогенное и эндогенное инфицирование человека пневмококком. Источник пневмококковой экзогенной инфекции – больной человек или бактерионоситель. Механизм передачи – аэрогенный. Инфекция передается воздушно-капельным путем. Эндогенное инфицирование наблюдается в случаях колонизации пневмококками слизистой оболочки верхних дыхательных путей (носительство вирулентных штаммов). Носительство обусловлено тропизмом пневмококков к слизистой дыхательных путей в результате наличия специфических адгезинов.

Предрасполагающими факторами к развитию эндогенной инфекции являются застойные явления в легких, разрушение сурфактанта, снижение уровня секреторного иммуноглобулина А.

Различают “инвазивные” и “неинвазивные” формы пневмококковой инфекции. При “инвазивных” пневмококковых инфекциях (ИПИ) возбудитель обнаруживается в жидкостях и тканях организма, стерильных в нормальных условиях (кровь, спинномозговая, перитонеальная и плевральная жидкости и др.). К таким формам инфекции относятся пневмококковый менингит, острый средний отит, пневмококковая пневмония, септический артрит, остеомиелит и др.

К “неинвазивным” формам пневмококковой инфекции относятся “небактериемическая” пневмония (при отсутствии возбудителя в крови), синусит и другие поражения.

Лабораторная диагностика пневмококковой инфекции. Исследуемый материал – кровь, спинномозговая жидкость (при диагностике инвазивных форм пневмококковой инфекции), мокрота, жидкость из полости среднего уха (при неинвазивных заболеваниях).

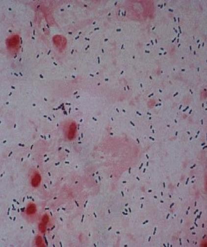
Микроскопическое исследование окрашенного по Граму мазка, приготовленного из исследуемого материала, позволяет обнаружить капсульные грамположительные диплококки (рисунок 1.79).

Рисунок 1.79 – Капсульные диплококки в мазке из исследуемого материала, окраска по Граму. Заимствовано из Интернет-ресурсов.

Основным методом лабораторной диагностики пневмококковой инфекции является бактериологический (культуральный) метод. Он основан на выделении S. pneumoniae. Для выделения пневмококков материал высевают на кровяной агар и инкубируют в атмосфере углекислого газа при температуре 37ОС в течение суток. Дальнейшему исследованию подвергают сероватые колонии, образующие α-гемолиз (зеленое окрашивание агара вокруг колоний). Пневмококки, имеющие сильно развитую капсулу, на кровяном агаре образуют выпуклые сероватые слизистые (напоминающие капли масла) колонии диаметром несколько миллиметров.

Характерным для S. pneumoniae является ингибирование роста культуры оптохином (чувствительность к оптохину). Для этого культуру высевают на кровяной агар и сверху на засеянную поверхность помещают бумажные диски, содержащие 5 мкг оптохина. Инкубирование проводят в течение 18-24 часов при температуре 35ОС в атмосфере с 5-7% углекислого газа. Зона задержки роста ≥14 мм

(диск диаметром 6 мм) или ≥16 мм (диск диаметром 10 мм) свидетельствует о присутствии пневмококка (рисунок 1.80).

а б

Рисунок 1.80 – Проба с оптохином: а - положительная проба, б – контроль (отрицательная проба). Заимствовано из Интернет-ресурсов.

Зона задержки роста <14 мм (<16 мм) требует проведения других тестов, в частности, теста лизиса в присутствии солей желчных кислот. Соли желчных кислот обладают способностью избирательно лизировать колонии S. pneumoniae на агаре или в бульоне. При этом происходит активация пневмококковых аутолизинов – ферментов, участвующих в синтезе клеточной стенки. Для проведения этого теста к микробной суспензии добавляют 10% раствор дезоксихолата натрия, тщательно перемешивают и инкубируют в течение 0,5-2 часов при температуре 35ОС. У большинства штаммов пневмококков в течение этого времени наступает визуальный лизис культуры, выявляемый по изменению мутности суспензии (просветление жидкости).

Серологическое типирование пневмококка проводится с помощью реакции латексной агглютинации (РЛА) или реакции набухания капсулы по Нейфельду. Для реакции латекс-агглютинации используют групповые диагностические сыворотки (например, наборы PNEUMOTEST LATEX). Образование крупных хлопьев на фоне полного просветления указывает на положительную реакцию (рисунок 1.81).

Рисунок 1.81 – Реакция латекс-агглютинации: А – положительная реакция, Б – отрицательная реакция (Алябьева Н.М., 2014 г.).

Феномен набухания капсулы проявляется в резком увеличении размеров капсулы в присутствии противокапсульной сыворотки. Результат реакции наблюдают с помощью фазово-контрастного микроскопа (рисунок 1.82).

а б

Рисунок 1.82 – Реакция набухания капсулы по Нейфельду: а - отрицательная реакция, б – положительная реакция (Алябьева Н.М., 2014 г.).

Антигены пневмококка в сыворотке крови, спинномозговой жидкости, моче можно обнаружить с помощью латекс-агглютинации, встречного иммуноэлектрофореза, иммунохроматографического теста (рисунок 1.83).

Рисунок 1.83 – Иммунохроматографический экспресс-тест Пневмококк Binax NOW для качественного определения антигена пневмококка в моче, спинномозговой

жидкости. Заимствовано из Интернет-ресурсов.

ПЦР основана на выявлении фрагментов специфических генов, кодирующих синтез аутолизина, пневмолизина, поверхностных белков клеточной стенки и др.

Профилактика пневмококковой инфекции. С целью специфической профилактики пневмококковой инфекции в Российской Федерации зарегистрированы 7-валентная, 10-валентная, 13-валентная конъюгированные вакцины и поливалентная пневмококковая вакцина.

Вакцина пневмококковая конъюгированная адсорбированная 7- валентная содержит коньюгаты генно-модифицированного нетоксичного дифтерийного белка CRM197 с пневмококковыми полисахаридами серотипов 4, 6В, 9V, 14, 18C, 19F и 23F.

Вакцина пневмококковая 10-валентная конъюгированная с D-протеином нетипируемой Haemophilus influenzae, столбнячным и дифтерийным анатоксинами адсорбированная содержит полисахариды 1, 4, 5, 6В, 7F, 9V, 14, 18C, 19F, 23F. К таким препаратам относится вакцина Синфлорикс.

Вакцина пневмококковая полисахаридная конъюгированная адсорбированная 13-валентная представляет собой комплекс полисахаридов 13 серотипов пневмококка (1, 3, 4, 5, 6А, 6В, 7F, 9V, 14, 18C, 19A, 19F, 23F),

индивидуально конъюгированных с дифтерийным белком CRM197 и адсорбированных на фосфате алюминия.

Конъюгированные вакцины предназначены, в первую очередь, для вакцинации детей с первого года жизни (рисунок 1.84).

Рисунок 1.84 – Конъюгированные пневмококковые вакцины. Заимствовано из Интернет-ресурсов.

Полисахаридная поливалентная пневмококковая вакцина содержит капсульные полисахариды S. pneumoniae 23 серотипов (1, 2, 3, 4, 5, 6B, 7F, 8, 9N, 9V, 10A, 11A, 12F, 14, 15B, 17F, 18C, 19A, 19F, 20, 22F, 23F, 33F). Вакцину Пневмо 23,

содержащую полисахариды 23 серотипов, применяют детям старше 2 лет. Для вакцинации необходима всего одна доза вакцины (рисунок 1.85).

Рисунок 1.85 – Вакцина Пневмо 23. Заимствовано из Интернет-ресурсов. Длительность иммунитета после вакцинации составляет от 3-5 лет до 10 лет.

Прививка особенно рекомендуется пациентам из групп риска:

  • лицам в возрасте старше 65 лет (летальность от пневмококковой пневмонии у них достигает 40%);

  • пациентам с хроническими заболеваниями сердечно-сосудистой, дыхательной систем, сахарным диабетом, циррозом печени;

  • детям в возрасте до 5 лет, часто болеющим инфекциями дыхательных

путей.

Лечение пневмококковой инфекции проводится с использованием

антибиотиков. Однако в последние годы возросло количество сообщений о распространении пневмококков, устойчивых к пенициллинам, макролидам, триметоприму/сульфаметоксазолу, цефалоспоринам III поколения.

Вопросы для контроля усвоения материала

  1. Особенности морфологических и культуральных свойств пневмококка.

  2. Факторы патогенности пневмококков.

  3. Диагностика пневмококковой инфекции.

  4. Профилактика пневмококковой инфекции.

Тренировочные тесты

  1. Пневмококки относятся к семейству (один правильный ответ):

    1. Vibrionaceae

    2. Staphylococcaceae

    3. Pseudomonadaceae

    4. Bacillaceae

    5. Streptococcaceae

  1. Возбудитель крупозной пневмонии относится к роду (один правильный ответ):

    1. Staphylococcus

    2. Shigella

    3. Salmonella

    4. Spirillum

    5. Streptococcus

  1. При окраске мазка по Граму пневмококки приобретают цвет (один правильный ответ):

    1. красный

    2. розовый

    3. синий

    4. желтый

    5. коричневый

  1. В мазке пневмококки располагаются (один правильный ответ):

    1. одиночно

    2. попарно

    3. скоплениями в виде виноградной грозди

    4. длинными цепочками

    5. в виде пакетов

  1. Для пневмококков характерно (несколько правильных ответов):

    1. наличие подвижности

    2. являются диплококками

    3. растут на простых питательных средах

    4. образуют споры

    5. имеют капсулу

  1. Для S. pneumoniae характерны следующие признаки (несколько правильных ответов):

    1. α-гемолиз

    2. чувствительность к оптохину

6.2 лизис желчью

    1. отсутствие капсулы

    2. отрицательная окраска по Граму

  1. К факторам патогенности пневмококка относится (один правильный ответ):

    1. каталаза

    2. белок А

    3. эндотоксин

    4. капсула

    5. жгутики

  1. Для S. pneumoniae характерно (несколько правильных ответов):

    1. отрицательная окраска по Граму

    2. наличие альфа-гемолиза

    3. наличие бета-гемолиза

    4. положительная окраска по Граму

    5. наличие капсулы

  1. Возбудителем крупозной пневмонии является (один правильный ответ):

    1. S. pyogenes

    2. S. faecalis

    3. S. pneumoniae

    4. S. epidermidis

    5. S. aureus

  1. Для культивирования пневмококков используют (один правильный ответ):

    1. висмут-сульфитный агар

    2. среду Эндо

    3. сывороточный агар

    4. желточно-солевой агар

    5. среду Плоскирева

  1. Для специфической профилактики пневмококковых инфекций применяют (один правильный ответ):

    1. антибиотики

    2. витамины

    3. вакцину

    4. бактериофаги

    5. сульфаниламиды

  1. Внутривидовой дифференцировки S. pneumoniae основана на (один правильный ответ):

    1. строении ЦПМ

    2. структуре клеточной стенки

    3. структуре капсулы

    4. структуре пептидогликана

    5. наличии фимбрий