Материал: Лекция 7

Внимание! Если размещение файла нарушает Ваши авторские права, то обязательно сообщите нам

Опухоли опорно-двигательной системы и остеохондропатии

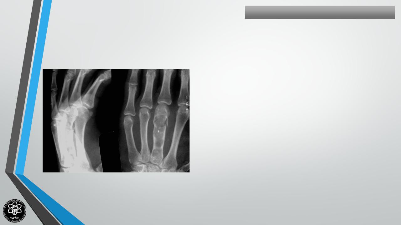
Остеобластокластома(костнаякиста,гигантоклеточнаяопухоль, аневризмакости)

Опухоли опорно-двигательной системы и остеохондропатии

ХОНДРОМА

 

Частные вопросы костной онкологии

 

 

 

Частота — 7 ,2 % всех костных опухолей.

Излюбленная локализация — ребра, лопатка, таз, кисти рук, бедренная кость и др.

Поражаемый возраст — 10-50 лет.

Процесс может развиваться в центре кости — энхондрома, или носить краевой характер — экхондрома.

Клиника — боли незначительные или отсутствуют.

Чем старше больной — тем больше опасность малигнизации. В старших возрастных группах малигнизация достигает 90%.

Лечение хирургическое — сегментарная или краевая резекция — в зависимости от формы.

Рецидивы и малигнизация возможны.

К операции предъявляются требования радикальности.

Опухоли опорно-двигательной системы и остеохондропатии

ГЕМАНГИОМАКОСТИ

 

Частные вопросы костной онкологии

 

 

 

Частота — 0,8% всех опухолей скелета или 4,7% доброкачественных опухолей.

Излюбленная локализация — позвоночник, губчатые кости.

Поражаемый возраст — любой.

Клиника — бессимптомная или слабые боли.

Выявляются при патологических переломах или при обследовании больных на остеохондроз.

Малигнизация возможна. Лечение — рентгенрадиотерапия.

Опухоли опорно-двигательной системы и остеохондропатии

ОСТЕОГЕННАЯСАРКОМА

 

Частные вопросы костной онкологии

 

 

 

 

 

 

 

 

 

Частота — 23,6% всех костных опухолей и 46,5% всех

 

злокачественных опухолей.

 

 

 

 

Поражаемый возраст — 10-23 года, но наблюдаются и в

 

других возрастных группах.

 

 

 

 

Излюбленная локализация — дистальный конец

 

бедренной кости, большеберцовая, плечевая кости.

 

 

 

Чаще поражаются мужчины.

 

 

 

 

Клиническая картина — боль, быстрый рост, сосудистая

 

сеть в области опухоли, при аускультации можно

 

слышать шум над опухолью, местная температура

 

повышена.

 

 

 

 

 

Длительность течения — 6 месяцев-2 года.

 

 

 

Рентгенологически

остеолитическая

или

остеопластическая формы, “Козырек”, “спикулы”. Лабораторные сдвиги — СОЭ нарастает до 30-50 и

более

мм/час,

растет

щелочная

фосфатаза.

Метастазирует чаще в легкие.

 

 

Лечение

комплексное

хирургическое,

медикаментозное. Прогноз неблагоприятный.

Опухоли опорно-двигательной системы и остеохондропатии

САРКОМАОСТЕОГЕННАЯ