Материал: Лекция 7

Внимание! Если размещение файла нарушает Ваши авторские права, то обязательно сообщите нам

Опухоли опорно-двигательной системы и остеохондропатии

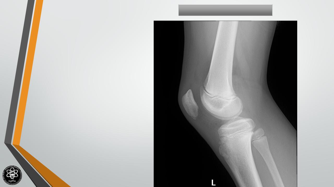
Болезнь Ларсена-Нильсона