Материал: Лекция 7

Внимание! Если размещение файла нарушает Ваши авторские права, то обязательно сообщите нам

Опухоли опорно-двигательной системы и остеохондропатии

ОСТЕОМА

 

 

 

Остеомалобнойкости.Краеваярезекция.

Опухоли опорно-двигательной системы и остеохондропатии

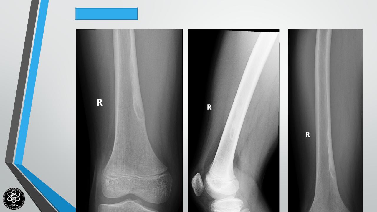
ОСТЕОИД-ОСТЕОМА

 

Частные вопросы костной онкологии

 

 

 

 

Частота — 4 % всех опухолей скелета.

 

Поражаемый возраст — 20-30 лет.

Излюбленная локализация — большеберцовая и малоберцовая кости, но может локализоваться в локтевом отростке и др. костях.

Клиника — выраженный болевой компонент. Иногда боли носят мучительный характер. Выраженное нарушение функции.

Рентгенологическая картина — зона просветления, окруженная ободком склероза, в центре часто секвестр.

Гистологически — полость, выстланная грануляционной тканью, в центре — секвестр, достигающий величины горошины.

Лечение хирургическое — краевая резекция кости в пределах здоровой ткани.

Исход — выздоровление. Рецидивы редки. Озлокачествления не наблюдается.

Опухоли опорно-двигательной системы и остеохондропатии

Остеоид-остеома

Опухоли опорно-двигательной системы и остеохондропатии

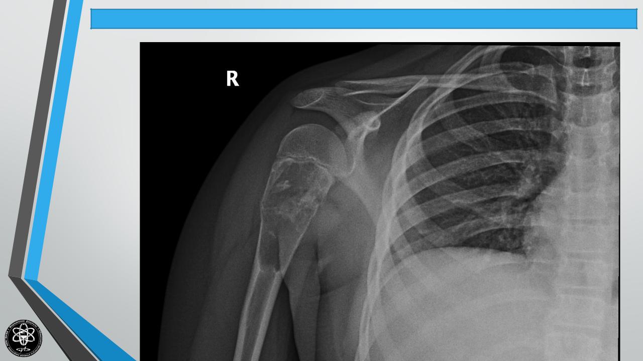
ОСТЕОБЛАСТОКЛАСТОМА(КОСТНАЯКИСТА, Частные вопросы костной онкологии

ГИГАНТОКЛЕТОЧНАЯОПУХОЛЬ, АНЕВРИЗМАКОСТИ)

Частота — 7,6% опухолей скелета. Поражаемый возраст — 10 — 40 лет.

Частота у мужчин и женщин примерно одинаковая. Формы: литическая и ячеистая.

Течение прогрессирующее. Возможны метастазы, малигнизация, особенно в старших возрастных группах. Рост экспансивный. Кость постепенно утолщается, деформируется.

Излюбленная локализация — метафизы плечевой кости, большеберцовой кости, бедра (нижний метафиз), позвонки и др. Клиника — незначительные боли или полное их отсутствие. Чаще диагностика случайная в связи с патологическим переломом. Рентгенологически — раздутая кость с просветлением в центре ячеистого или литического характера.

Гистологически — полость, заполненная бурой жидкостью. Стенка выстлана грануляционной тканью бурого цвета (“бурая опухоль”).

Лечение — хирургическое — краевая или сегментарная резекция. При недостаточной радикальности — рецидивы, возможны метастазы, малигнизация.

Опухоли опорно-двигательной системы и остеохондропатии

Остеобластокластома(костнаякиста,гигантоклеточнаяопухоль, аневризмакости)