Материал: конспект_с.г.фітопатологія_2015-ilovepdf-compressed

Внимание! Если размещение файла нарушает Ваши авторские права, то обязательно сообщите нам

Походження віроїдів невідоме. Деякі дослідники вважають їх представниками доклітинного "світу РНК", еволюційними реліктами.

Віроїди розповсюджуються з посадковим матеріалом, з насінням, передаються від рослини до рослини механічним шляхом.

Віроїди характеризуються високою інфекційністю, термостабільністю, стійкістю до різних хімічних сполук.

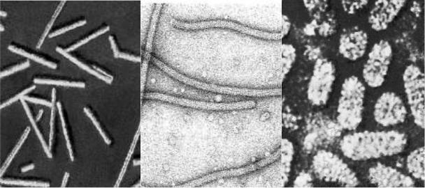
4.2. Форми вірусних частинок

За даними електроноскопічних досліджень, вірус - це велика макромолекула, здатна існувати поза клітиною у вигляді вірусних частинок (віріонів), які, об’єднуючись, можуть утворювати кристали. Останні являють собою десятки мільйонів вірусних частинок, зібраних у визначеному порядку (рис. 4.2.1.).

Форми вірусних частинок - віріонів:

палочковидні (вірус тютюнової мозаїки, вірус білої мозаїки огірка);

нитковидні (Х-вірус картоплі, вірус мозаїки цибулі, вірус жовтухи цукрових буряків;

сферичні (вірус бронзовості томату);

багатогранні (вірус кільцевої плямистості вишні, вірус коротковузля винограду);

бациловидні (вірус штрихової мозаїки пшениці, вірус жовтої карликовості картоплі).

1

2

3

Рис. 4.2.1. Форми віріонів фітопатогенних вірусів:

1 - палочковидні частинки вірусу тютюнової мозаїки; 2 - нитковидні частинки вірусу мозаїки цибулі; 3 - сферичні частинки вірусу бронзовості томату.

Поза клітиною вірус знаходиться в інертному стані, але при надходженні його у середину клітини, він реплікує собі подібних, у нього з’являється здат-

41

ність до стійких спадкових змін або мутацій.

4.3. Симптоми вірусних захворювань

При ураженні рослин вірусними збудниками захворювання проявляються наступними симптомами:

порушення обміну речовин;

мозаїчність листя;

кільцева плямистість;

некроз окремих ділянок листа, стебел, плодів;

утворення некротичних плям, штрихів;

виникнення карликовості, скручування;

зміна форми листя;

позеленіння квітів.

За зовнішніми ознаками вірусні хвороби поділяються на два типи - мозаїки і жовтухи.

Мозаїка характеризується мозаїчним малюнком, чергуванням темнозелених та світло-зелених ділянок тканини листка, різною деформацією листкової пластинки (нитковидність, зморшкуватість, курчавість), а також появою штрихуватості, некрозу на листках, стеблах та плодах (рис. 4.3.1).

Рис. 4.3.1. Мозаїка викликана вірусним збудником.

При захворюваннях типу жовтухи (жовтяниця) віруси не завжди викликають пожовтіння листків, на відміну від мозаїки тут відбувається глибока деформація рослин, карликовість, посилена кущистість, потворність квітів, пелюстки квітів зеленіють; іноді замість квітки утворюється пагін або редуковані листки, або в центрі редукованої квітки утворюється розетка справжніх листків.

42

В деяких випадках рослини, уражені вірусом, не проявляють зовнішніх симптомів ураження. Випадки такої безсимптомної (латентної) інфекції відомі для Х-вірусу картоплі.

У рослин, уражених вірусними захворюваннями, спостерігаються глибокі порушення анатомічної будови і функціональної діяльності, порушується активність фотосинтезу, азотний обмін, змінюється дихання, проникність мембран, транспорт поживних речовин, тощо.

4.4. Класифікація вірусів

Єдиної, досконалої класифікації вірусів не існує. Вважається, що для визначення вірусів доцільно признати біномінальну номенклатуру, яка прийнята в систематиці тварин та рослин. Розповсюдженою серед рослинних вірусів вважається номенклатура К.Сміта (1937), де родове визначення рослини-господаря дається латиною; наприклад, вірус тютюнової мозаїки називається Nicotiana virus 1; різні штами вірусів позначаються додаванням великих літер алфавіту, наприклад Nicotiana virus 1А. Для цілого ряду вірусів картоплі прийняті буквені вирази (Y - вірус, Х - вірус, М - вірус). Вірус тютюнової мозаїки прийнято називати початковими літерами - ВТМ.

При подальшому вдосконаленні системи класифікації більшу увагу приділяють внутрішній будові вірусних частинок, хімічному складу, фізичним та імунологічним властивостям, тощо.

Ряд вірусологів (Гіббс, Харрісон та ін.) запропонували, щоб кожний вір ус поряд з назвою містив ще і криптограму (інформацію про властивості вірусу, тип нуклеїнової кислоти (ДНК чи РНК), число ланцюгів в ній (одна або дві), молекулярну масу нуклеїнової кислоти та процентний вміст її у вірусній частинці, спосіб передачі інфекції).

Кожна криптограма складається із чотирьох пар символів, в яких літерами або цифрами зашифровані властивості вірусу.

В першій парі символів (R або D) - тип нуклеїнової кислоти і число ланцюгів в її молекулі (1 або 2).

У другій парі символів - молекулярна маса нуклеїнової кислоти в млн. вуглецевих частинок (дальтон) і її процентний вміст у віріоні.

Втретій - форма віріону і форма нуклеокапсиду:

S - близька до сферичної;

Е - продовгувата з паралельними сторонами, кінці не закруглені;

U - продовгувата з паралельними сторонами, кінці (або кінець) закругле-

ні);

Х - структура іншого типу, часто складна.

Четверта пара символів показує тип зараженого господаря:

А - актиноміцети;

В - бактерії;

F - гриби;

І - безхребетні;

S - насінні рослини;

43

V - хребетні;

і тип переносника:

Ас - кліщі;

Al - білокрилки;

Ар - попелиці;

Аu - цикади;

Сс - кокциди;

Сl - жуки;

Di - мухи і комарі;

Fu - гриби;

Ne - нематоди;

Ps - листоблішки (псиліди);

Si - блохи;

Th - трипси;

Ve - переносник відомий, але не відноситься ні до однієї з вказаних груп;

О - вірус розповсюджується без переносника.

Втих випадках, коли відомості про якусь ознаку невідомі (в любій парі символів), ставиться знак * (зірочка).

У відповідності з прийнятими символами криптограма вірусу тютюнової

мозаїки, наприклад, має наступний вигляд: R/1 : 2/5 : Е/Е : S/О. Запис цієї криптограми означає, що вірус тютюнової мозаїки містить одноланцюгову РНК (R/1); молекулярна маса нуклеїнової кислоти 2 дальтон, у віріоні складає 5% (2/5); віріон і нуклеокапсид ВТМ мають продовгувату структуру з паралельними сторонами і незакругленими кінцями (Е/Е); господарі - насінні рослини, вірус розповсюджується без переносника (S/О).

За класифікацією, прийнятою в наш час (Гіббс, Харрісон, 1978), всі рослинні віруси розподілені на 20 основних груп, в кожну з яких включені віруси, схожі за рядом ознак (розміром, формою, типом будови і загальним складом віріону); типом, числом ланцюгів і кількістю фрагментів нуклеїнової кислоти; антигенними властивостями вірусу, відношенням їх до температури; колом ро- слин-господарів; механізмом переносу; симптомами ураження, тощо. Назви цим групам дають за скороченою назвою типового представника. Так, в групу немовірусів об’єднані віруси, переносниками яких є нематоди, а віріони їх багатогранні, діаметром 30 нм.

4.5. Розповсюдження фітопатогенних вірусів

Способи розповсюдження фітопатогенних вірусів:

передача з допомогою комах та інших переносників (векторна передача);

передача при механічному контакті здорової та хворої рослини (контакт- но-механічна передача);

передача щепленням (трансплантаційна передача);

передача через насіння та пилок.

Віруси від рослини до рослини передаються в основному комахами з ко- люче-смоктальним ротовим апаратом: попелицями, цикадами, трипсами, кло-

44

пами, жуками, кліщами (рис. 4.5.1.).

Способи розповсюдження фітопатогенних вірусів за допомогою комах.

Механізм переносу вірусів комахами неоднаковий. Мозаїчні, або стилетні, неперсистентні віруси - легко розповсюджуються від рослини до рослини сти-

летним, або неперсистентним, способом. При такому способі передачі, кома-

ха, живлячись на хворій рослині забруднює свій ротовий апарат (кінчик стилету), відразу (через 0,5-2 хвилини) стає вірофорною, тобто здатною передавати вірусну інфекцію іншій, здоровій рослині, але швидко втрачає (на протязі декількох годин) цю властивість. Основні переносники цієї групи вірусів - попелиці. До стилетних вірусів належать огірковий вірус, Y-вірус картоплі, вірус мозаїки буряків, вірус мозаїки яблуні, більшість вірусів суниці лісової та малини.

1

2

3

4

5

6

Рис. 4.5.1. Комахи - переносники вірусів:

1 – трипси, 2 – попелиці, 3 – цикадки, 4 – жуки, 5 – кліщі, 6 – клопи.

Інші віруси здатні розповсюджуватись тільки персистентним (циркулятивним) способом, тільки за допомогою спеціалізованих видів переносників: цикад, попелиць, трипсів, клопів, кліщів. Такі віруси називаються персистентними, або циркулятивними, а хвороби які викликаються цими вірусами відносяться до групи жовтух (вірус бронзовості томату, мозаїка гарбузів, курчавість верхівки буряків, тощо).

При персистентному способі розповсюдження вірусів, комаха не відразу після початку живлення на хворій рослині стає вірофорною, а через деякий проміжок часу (від декількох годин, до декількох діб), який називають латентним (інкубаційним) періодом. Комаха зберігає свою інфекційність протягом 100 годин і більше, а іноді і протягом всього життя.

Між неперсистентним та персистентним способами переносу вірусів існує проміжна напівперсистентна категорія. При такому способі передачі вірусів комаха зберігає свою інфекційність протягом 10-100 годин після живлення на

45