Материал: Банк задач по терапии

Внимание! Если размещение файла нарушает Ваши авторские права, то обязательно сообщите нам

Методический центр аккредитации специалистов_СЗ_Лечебное дело_2018 г.

166

Методический центр аккредитации специалистов_СЗ_Лечебное дело_2018 г.

167

Методический центр аккредитации специалистов_СЗ_Лечебное дело_2018 г.

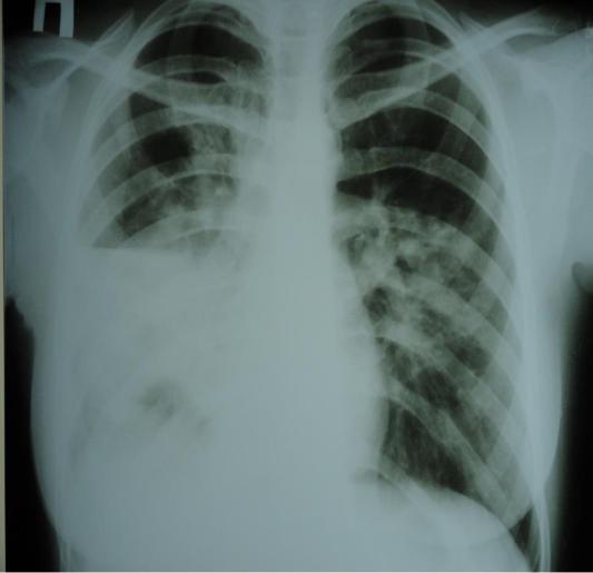
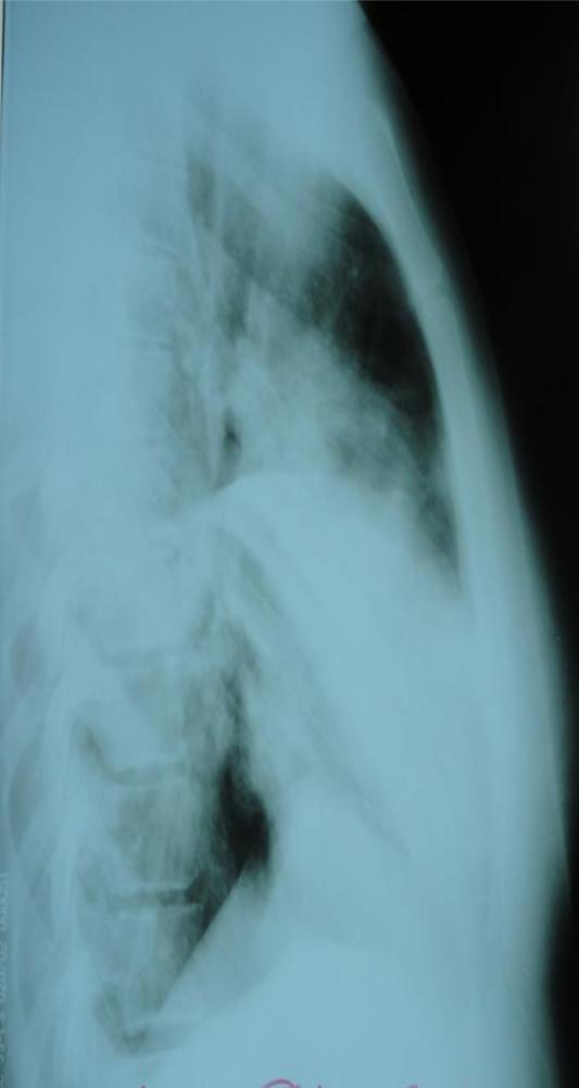
Вопросы:

1.Предположите наиболее вероятный диагноз.

2.Обоснуйте поставленный Вами диагноз.

3.Составьте и обоснуйте план дополнительного обследования пациента.

4.Какова тактика лечения данного пациента, назовите препараты «стартовой» терапии и препараты резерва?

5.Какова тактика диспансерного наблюдения пациента после выписка из стационара?

168

Методический центр аккредитации специалистов_СЗ_Лечебное дело_2018 г.

Ситуационная задача 150 [K001990]

Инструкция: ОЗНАКОМЬТЕСЬ С СИТУАЦИЕЙ И ДАЙТЕ РАЗВЕРНУТЫЕ ОТВЕТЫ НА ВОПРОСЫ

Основная часть

Мужчина 47 лет вызвал бригаду скорой помощи в связи с появлением давящей боли за грудиной. Боль появилась 40 минут назад, в покое, не купировалась 2 дозами Изокета. Пациент отмечает выраженную слабость, потливость.

Ранее боли за грудиной не беспокоили, физическую нагрузку переносил хорошо.

В течение 6 дет периодически повышалось АД до 160/100 мм рт. ст. При повышении АД принимал Каптоприл, постоянно гипотензивные препараты не получал. Курит 25 лет по 1 пачке сигарет в день. Наследственность не отягощена.

Объективно: состояние средней тяжести. Кожные покровы влажные. ЧДД - 18 в минуту. В лѐгких дыхание везикулярное, хрипов нет. Тоны сердца приглушены, ритмичные, ЧСС – 70 ударов в минуту, АД – 160/100 мм рт. ст. Живот мягкий, при пальпации безболезненный во всех отделах. Печень не увеличена. Пульс на сосудах нижних конечностях сохранѐн.

Зарегистрирована ЭКГ.

Больной доставлен в приѐмное отделение больницы с отделением рентгеноэндоваскулярных вмешательств в течение 20 минут.

Вопросы:

1. Предположите наиболее вероятный диагноз.

169

Методический центр аккредитации специалистов_СЗ_Лечебное дело_2018 г.

2.Обоснуйте поставленный Вами диагноз.

3.Составьте и обоснуйте план дополнительного обследования пациента.

4.Какой метод реперфузии показан больному? Обоснуйте свой выбор.

5.Какая антитромботическая терапия показана больному при поступлении в стационар, если известно, что на догоспитальном этапе она не проводилась? Результаты анализов: троп-тест отрицательный, креатинин - 0,09 ммоль/л, сахар - 6,5 ммоль/л.

170