Материал: Аппендицит_2019

Внимание! Если размещение файла нарушает Ваши авторские права, то обязательно сообщите нам

Диагностика

Инструментальные методы

УЗИ

Типичная ультразвуковая картина острого аппендицита.

1 – передняя брюшная стенка;

2 – стенка червеобразного отростка толщиной 3 мм; 3 – просвет червеобразного отростка,

несжимаемый при дозированной компрессии

Диагностика

Инструментальные методы

Компьютерная томография

«Золотой стандарт» диагностики

Высокая точность (90-98%)

Менее операторозависим

Признаки – червеобразный отросток диаметром >7 мм, утолщение стенок, признаки воспаления окружающих тканей, у 50% пациентов выявляется копролит

Недостатки:

Лучевая нагрузка (ограничено применение у беременных и детей)

Стоимость

Время

Не рекомендовано при типичной клинической картине

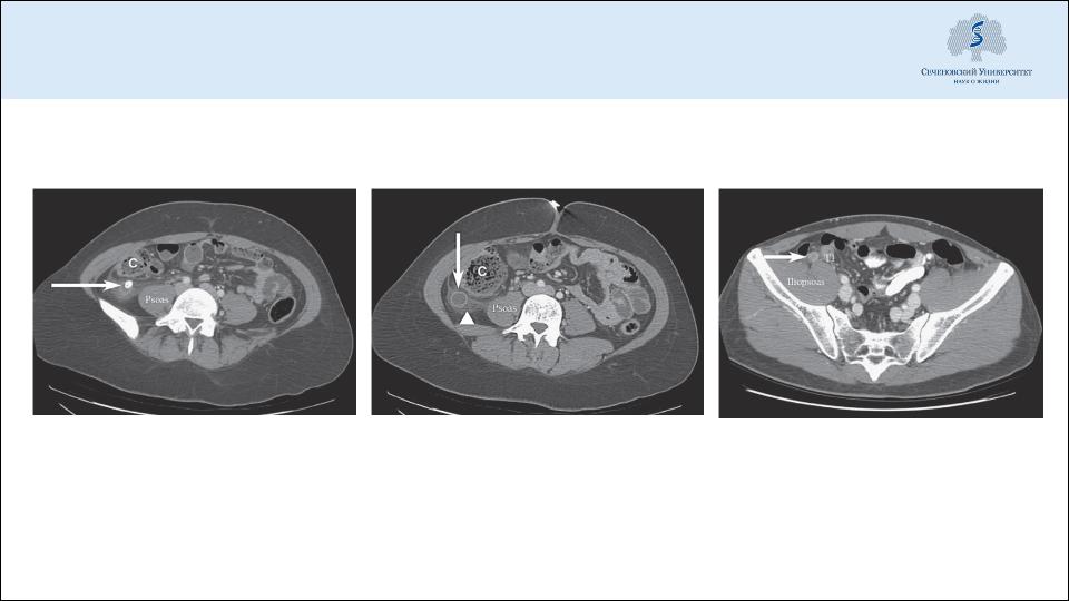
Диагностика

Инструментальные методы

Компьютерная томография

Копролит в просвете

Червеобразный отросток

Утолщение стенок червеобразного

червеобразного отростка

увеличенного диаметра, экссудат

отростка при воспалении

Sabiston textbook of surgery : the biological basis of modern practice.—19th ed. / [edited by] Courtney M. Townsend Jr. … [surgicalet al.]

Диагностика

Инструментальные методы

МРТ

Уступает в точности компьютерной томографии

Не несет лучевой нагрузки

Рекомендована к применению у беременных

Недостатки

Время

Стоимость

Ограничение у пациентов с клаустрофобией

Диагностика

Инструментальные методы

Диагностическая лапароскопия

Высокая точность диагностики (95-99%)

При подтверждении диагноза становится методом лечения

Недостатки

Инвазивность

Операционные и анестезиологические риски