Материал: Аллергозы, суставной синдром

Внимание! Если размещение файла нарушает Ваши авторские права, то обязательно сообщите нам

Повышение кожной температуры над пораженным суставом -важный признак воспаления, который может выявляться и без видимой на глаз существенной припухлости сустава. Яркая гиперемия характерна для острых артритов.

При подагре она может быть настолько интенсивной и четко очерченной, что симулирует рожу или флегмону подкожной клетчатки.

Малиново-красный, безболезненный отек суставов пальцев характерен для псориатического артрита, гиперпигментации или синюшная окраска кожных покровов над суставами - для ревматоидного артрита.

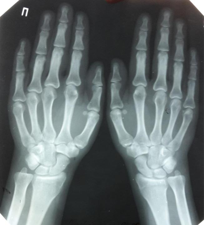
Воспалительные изменения в одном каком-либо суставе обозначают термином "моноартрит", при поражении 2-3 суставов - "олигоартрит", 3 и более суставов -"полиартрит". В процессе диагностики необходимо тщательное исследование всего опорно-двигательного аппарата, включая позвоночник, способствующее выявлению существенных диагностических признаков.

Важна локализация и последовательность поражения суставов. - «Летучий» характер артрита с локализацией в средних и крупных суставах конечностей наблюдается при ревматической лихорадке, палиндромном ревматизме.

- Симметричное поражение лучезапястных, проксимальных

межфаланговых суставов -

типичное

проявление

ревматоидного артрита.

 

 

-Воспалительные изменения суставов пальцев стоп с их «сосискообразной» дефигурацией часто наблюдаются при болезнях Рейтера.

-Артриты дистальных межфаланговых суставов - диагностический критерий псориатического артрита.

-С поражения коленных и голеностопных суставов нередко начинается болезнь Бехтерева и другие спондилоартриты.

Для констатации характера артрита используют специальные методы исследования. В сыворотке крови и синовиальной жидкости определяют ревматоидный фактор, АЦЦП, АНФ, при необходимости применяют бактериологические и серологические методы диагностики инфекции, например, иерсиниоза, хламидиоза.

С помощью рентгеновского метода выявляют такие признаки воспаления, как эпифизарный остеопороз, сужение суставных щелей, костные эрозии, остеолизис, анкилозы. В последние годы широко используют КТ, УЗИ, МРТ.

Применяют термографию суставов и сцинтиграфию с радиоактивным технецием. Метод радиоизотопного исследования суставов может быть использован для выявления субклинических фаз поражения, например, сакроилеита - артрита крестцово-подвздошных сочленений.