Материал: Аллергозы, суставной синдром

Внимание! Если размещение файла нарушает Ваши авторские права, то обязательно сообщите нам

Артриты

Воспалительные изменения в суставах различной природы.

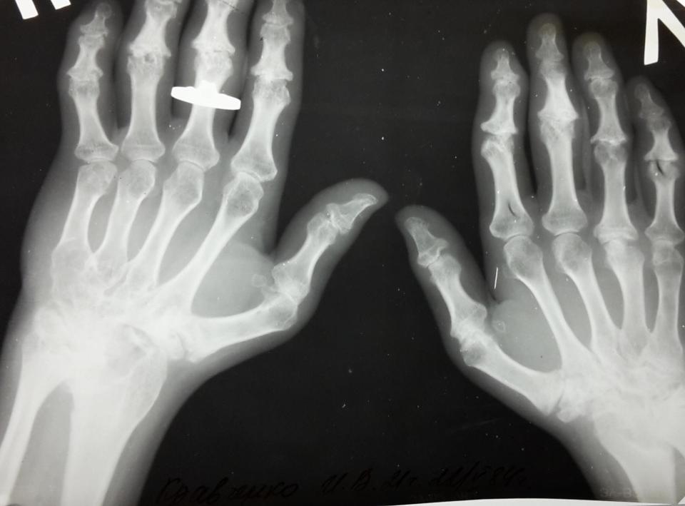
Поражение кисти при ревматоидном артрите.

Видно частичное разрушение суставных поверхностей, множественные подвывихи.

Болезнь Бехтерева

Анкилозирующий спондилартрит – заращение всех суставов позвоночника.

Обызвествление продольных связок делает такой позвоночник неподвижным.