Материал: Аллергозы, суставной синдром

Внимание! Если размещение файла нарушает Ваши авторские права, то обязательно сообщите нам

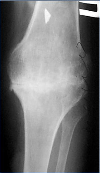
Анкилоз

Анкилоз - “зарастание” сустава, закрытие суставной щели.

Вначале развивается фиброзный анкилоз, который затем преходит в костный.

Пример – анкилоз коленного сустава, фиброзный, начальная фаза костного анкилоза.

Деформирующий спондилоз

• Выраженные краевые костные разрастания во всех поясничных позвонках.

• Высота дисков сохранена.

Диагностические критерии ревматоидного артрита

(АРА 1997)

Утренняя скованность /Утренняя скованность суставов не менее часа, существующая в течение 6 недель

Артрит 3-х или большего кол-ва суставов /Припухлость периартикулярных мягких тканей или наличие жидкости в полости сустава, определяемые врачом по крайней мере в трех суставах.

Артрит суставов кости/ Припухлость хотя бы одной группы след. суставов: проксимальных межфаланговых лучезапястных, плюснефаланговых .

Симметричный артрит /Билатеральное поражение проксимальных межфаланговых, пястно-фаланговых, плюснефаланговых суставов.

Ревматоидные узелки / Подкожные узлы, определяемые врачом на разгибательной поверхности предплечья вблизи локтевого сустава или в области др.суставов.

Ревматоидный фактор в сыворотке крови / Наличие в сыворотке крови ревматоидного фактора, определяемого любым методом, позволяющим его выявить менее чем у 5% здоровых лиц в популяции.

Рентгенологические изменения / Изменения ,типичные для ревматоидного артрита, в лучезапястных суставах или суставах кисти, включающие эрозии или декальцификацию кости(кисты),расположенные вблизи пораженных суставов.

Диагноз РА ставится при наличии 4 из 7 представленных критериев, при этом критерии с 1-го по 4-й должны присутствовать у больного не менее 6-ти недель.

Диагностические критерии ревматоидного артрита

(EULAR).

Один пораженный «крупный сустав» (плечи, локти,

бедра, колени и лодыжки) получает 0 баллов; участие 2–10 крупных суставов получает 1 балл.

Вовлечение 1–3 «малых суставов» (фаланговых,

проксимальных межфаланговых, с второго по пятый плюснефаланговых суставов, межфаланговых суставов пальцев и запястья) получает 2 балла независимо от вовлечения больших суставов;

вовлечение 4–10 малых суставов получает сразу 3 балла.

— Заинтересованность более 10 суставов, в том числе, по меньшей мере одного большого, получает 5 баллов.

Диагностические критерии ревматоидного артрита

(продолжение)

— И отрицательный ревматоидный фактор (РФ) и отрицательный тест на аутоантитела (anti-citrullinated protein antibody test, ACPA) вместе получают 0 баллов, в то время как «слабоположительный» РФ или ACPA (определяемые как меньше, чем в три раза превышающие верхнюю границу нормы) получают 2 балла. За резкоположительный любой из двух показателей начисляется 3 балла.

— Нормальные СРБ и СОЭ получают «0», в то время как по крайней мере один позитивный тест получает 1 балл.

— Продолжительность наличия симптомов менее 6 недель получает 0 баллов, продолжительность 6 недель и более — 1 балл.

Сумма баллов 6 или более из 10 квалифицируется как установленный диагноз РА.