Материал: Аллергозы, суставной синдром

Внимание! Если размещение файла нарушает Ваши авторские права, то обязательно сообщите нам

Артрозы

Возникают в результате воздействия многих неблагоприятных факторов.

Главный субстрат - разрушение суставного хряща.

Со временем появляются компенсаторные изменения в суставных поверхностях и рядом с ними.

Артрозы

(продолжение)

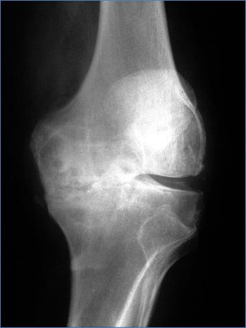
Пример деформирующего артроза коленного сустава.

Резкое сужение внутренней части суставной щели свидетельствует о полном разрушении там суставного хряща. Видны субхондральный склероз и кистозная дегенерация под суставными поверхностями.