Материал: Врожденные пороки сердца

Внимание! Если размещение файла нарушает Ваши авторские права, то обязательно сообщите нам

Двухмерная эхокардиография с цветным допплеровским исследованием - «золотой стандарт» диагностики.

Метод позволяет визуализировать дефекты перегородок, калибр крупных сосудов, распределение потоков крови, размеры полостей сердца и градиенты давления в них.

Высокий подаортальный дефект межжелуждочковой перегородки:

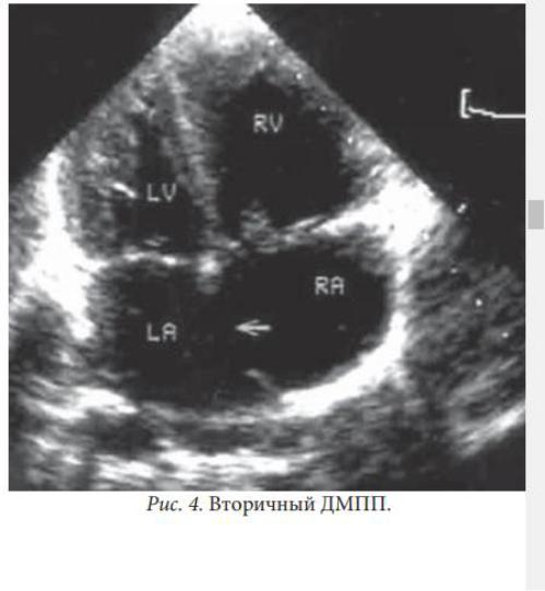
Вторичный дефект межпредсердной

перегородки:

Открытый артериальный проток визуализируется в виде дополнительного сосуда, соединяющего нисходящую аорту с бифуркацией легочной артерии

Поток крови направлен из аорты в легочную артерию