Материал: Тестовые задания по цитологии и эмбриологии. под ред. Баринова., 2007

Внимание! Если размещение файла нарушает Ваши авторские права, то обязательно сообщите нам

21

При электронной микроскопии участка надпочечника в цитоплазме эпителиальных клеток видны мелкие вакуоли, трубочки, ветвящиеся канальцы, ограниченные замкнутыми мембранами. Какая органелла выявлена в клетках?

А) агранулярная эдоплазматическая сеть; Б) комплекс Гольджи; В) лизосомы; Г) микротрубочки; Д) пероксисомы.

ТЕСТОВОЕ ЗАДАНИЕ

При ультрамикроскопическом исследовании в цитоплазме гепатоцитов определяется агранулярная эндоплазматическая сеть. Назовите функцию данной органеллы?

А) синтез белков; Б) формирование лизосом;

В) образование цитоскелета; Г) синтез углеводов и липидов;

Д) внутриклеточное переваривание.

ТЕСТОВОЕ ЗАДАНИЕ

Выберите один наиболее правильный ответ.

Для сокращения сердечной мышечной клетки (кардиомиоцита) необходимы ионы кальция. Какая органелла обеспечивает его депонирование?

А) гранулярная эндоплазматическая сеть; Б) пластинчатый комплекс; В) гладкая эндоплазматическая сеть; Г) рибосомы; Д) лизосомы.

ТЕСТОВОЕ ЗАДАНИЕ

На электронной микрофотографии секреторных клеток околоушной железы выявляется органелла, состоящая из 5-10 плоских цистерн, имеющих на периферии расширения – ампулы, от которых отделяются мелкие пузырьки (везикулы). Определите данную органеллу.

А) агранулярная эндоплазматическая сеть; Б) гранулярная эндоплазматическая сеть; В) митохондрии; Г) комплекс Гольджи; Д) рибосомы.

ТЕСТОВОЕ ЗАДАНИЕ

На электронной микрофотографии клетки выявляются стопки плоских цистерн и пузырьков, стенки которых образованы мембранами. Органелла накапливает вещества, синтезируемые в клетке, подвергает их метаболическим превращениям, обеспечивает созревание, транспорт и упаковку веществ в секреторные пузырьки, подвергающиеся экзоцитозу. Назовите данную органеллу.

А) митохондрии;

К "СОДЕРЖАНИЮ" К НАЧАЛУ ГЛАВЫ

22

Б) гранулярная эндоплазматическая сеть; В) пластинчатый комплекс; Г) лизосомы;

Д) агранулярная эндоплазматическая сеть.

ТЕСТОВОЕ ЗАДАНИЕ

Выберите один наиболее правильный ответ. Пластинчатый комплекс обеспечивает:

А) накопление, конденсацию и упаковку секрета в биомембрану, образование лизосом.

Б) синтез белков, углеводов, полисахаридов. В) синтез АТФ, липидов, углеводов.

Г) синтез р-РНК, т-РНК. Д) синтез т-РНК.

ТЕСТОВОЕ ЗАДАНИЕ

Выберите один наиболее правильный ответ. Выведение белкового секрета из клетки обеспечивает:

А) гладкая эндоплазматическая сеть; Б) ионные каналы плазмолеммы; В) ядро; Г) пластинчатый комплекс;

Д) гранулярная эндоплазматическая сеть.

ТЕСТОВОЕ ЗАДАНИЕ

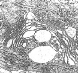
Назовите вид органелл нервных клеток, изображенных на рисунке. А) митохондрии; Б) пластинчатый аппарат; В) лизосомы; Г) микротрубочки;

Д) микрофибриллы.

ТЕСТОВОЕ ЗАДАНИЕ

При электронной микроскопии железистых клеток околощитовидной железы в цитоплазме определяется комплекс Гольджи. Какую функцию выполняет данная органелла?

К "СОДЕРЖАНИЮ" К НАЧАЛУ ГЛАВЫ

23

А) синтезирует белок; Б) образует цитоскелет;

В) осуществляет сегрегацию, накопление синтезированных продуктов; Г) обеспечивает внутриклеточное переваривание; Д) обеспечивает движение.

ТЕСТОВОЕ ЗАДАНИЕ

При электронной микроскопии железистых клеток щитовидной железы в цитоплазме определяется комплекс Гольджи. Какую функцию выполняет данная органелла?

А) образует цитоскелет; Б) синтезирует белок; В) осуществляет движение;

Г) обеспечивает внутриклеточное переваривание; Д) формирует первичные лизосомы.

ТЕСТОВОЕ ЗАДАНИЕ

Укажите вид органеллы, представленный на электронной микрофотографии. А) гранулярная эндоплазматическая сеть; Б) агранулярная эндоплазматическая сеть; В) комплекс Гольджи; Г) митохондрии; Д) лизосомы.

ТЕСТОВОЕ ЗАДАНИЕ

На гистологическом препарате печени при окраске по Альтману в цитоплазме клеток выявляются органеллы, имеющие вид мелких зерен и нитей. Назовите данный вид органелл.

А) комплекс Гольджи; Б) митохондрии; В) пероксисомы; Г) лизосомы; Д) центриоли.

К "СОДЕРЖАНИЮ" К НАЧАЛУ ГЛАВЫ

24

ТЕСТОВОЕ ЗАДАНИЕ

3

1

2

Определите вид органеллы в эпителиальных клетках кишки, обозначенной на рисунке цифрой 6.

А) пероксисомы; Б) лизосомы; В) митохондрии; Г) центриоли;

Д) комплекс Гольджи.

ТЕСТОВОЕ ЗАДАНИЕ

На электронной микрофотографии в клетках проксимального извитого канальца почки видны органеллы, ограниченные двумя мембранами. Внутренняя мембрана образует складки. Какая органелла представлена на электронной микрофотографии?

А) комплекс Гольджи; Б) митохондрия; В) центросома;

Г) агранулярная эдоплазматическая сеть; Д) лизосома.

ТЕСТОВОЕ ЗАДАНИЕ

С помощью электронной гистохимии в клетках проксимального извитого канальца почки выявляются органеллы, которые имеют две мембраны. Внутренняя мембрана содержит белки-ферменты. Какие из них являются маркерными для данной органеллы?

А) пероксидаза; Б) ферменты окислительного фосфорилирования;

В) ДНК-полимераза; Г) РНК-полимераза;

К "СОДЕРЖАНИЮ" К НАЧАЛУ ГЛАВЫ

25

Д) протеолитические ферменты.

ТЕСТОВОЕ ЗАДАНИЕ

На электронной микрофотографии нервной клетки определяются тельца овальной или округлой формы, ограниченные двумя мембранами, наружная – гладкая, внутренняя образует кристы. Между кристами располагается матрикс. Укажите данный вид органелл.

А) митохондрии; Б) гранулярная эдоплазматическая сеть;

В) пластинчатый комплекс; Г) лизосомы;

Д) агранулярная эдоплазматическая сеть.

ТЕСТОВОЕ ЗАДАНИЕ

Выберите один наиболее правильный ответ. Окислительное фосфорилирование в клетке осуществляется в:

А) пероксисомах; Б) лизосомах;

В) гранулярной эдоплазматической сети; Г) митохондриях; Д) агранулярной эдоплазматической сети.

ТЕСТОВОЕ ЗАДАНИЕ

Выберите один наиболее правильный ответ. Функции митохондрий:

А) синтез структурных липидов биомембран; Б) накопление гликопротеидов; В) синтез рецепторных белков биомембран;

Г) аккумуляция энергии в форме макроэргических связей АТФ; Д) синтез белков-переносчиков.

ТЕСТОВОЕ ЗАДАНИЕ

3

2

1

5

4

Назовите структуру митохондрии, обозначенную цифрой 5 А) наружная митохондриальная мембрана; Б) внутренняя митохондриальная мембрана; В) межмембранное пространство; Г) матрикс; Д) кристы.

К "СОДЕРЖАНИЮ" К НАЧАЛУ ГЛАВЫ