Материал: Тестовые задания по цитологии и эмбриологии. под ред. Баринова., 2007

Внимание! Если размещение файла нарушает Ваши авторские права, то обязательно сообщите нам

16

А) адгезию; Б) механическую связь;

В) рецепторную; Г) перенос и транспорт ионов и мелких молекул;

Д) увеличение клеточной поверхности.

ТЕСТОВОЕ ЗАДАНИЕ

При ультрамикроскопическом исследовании печени между соседними клетками определяются десмосомы. Какую функцию они выполняют?

А) рецепторную; Б) перенос и транспорт ионов;

В) увеличение клеточной поверхности; Г) передают возбуждение; Д) обеспечивают механическую связь.

ТЕСТОВОЕ ЗАДАНИЕ

1

5

2

3

6 6

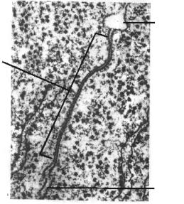
Назовите вид межклеточного соединения, обозначенного на рисунке цифрой 2. А) нексус; Б) адгезивный контакт;

В) плотное соединение; Г) десмосома; Д) полудесмосома.

К "СОДЕРЖАНИЮ" К НАЧАЛУ ГЛАВЫ

17

ТЕСТОВОЕ ЗАДАНИЕ

1

3

2

Определите вид межклеточного соединения, обозначенного на электронной микрофотографии цифрой 3.

А) простое соединение; Б) нексус; В) плотное соединение; Г) десмосома;

Д) полудесмосома.

ТЕСТОВОЕ ЗАДАНИЕ

Выберите один наиболее правильный ответ.

К основным компонентам цитоплазмы эукариотической клетки относятся:

А) гиалоплазма, митохондрии, эндоплазматическая сеть, лизосомы, включения, Б) гиалоплазма, органеллы, включения,

B) гиалоплазма, микротрубочки и микрофиламенты, аппарат Гольджи, лизосомы, Г) включения, органеллы, Д) гиалоплазма, включения.

ТЕСТОВОЕЗАДАНИЕ

На электронной микрофотографии эпителиоцита выявляется гомогенная составная часть цитоплазмы. Назовите данную часть цитоплазмы.

А) органеллы; Б) включения; В) гиалоплазма; Г) реснички;

Д) микроворсинки.

ТЕСТОВОЕ ЗАДАНИЕ

С помощью гистохимических методов исследования в цитоплазме клетки структуры, наличие и количество которых зависит от метаболической активности клеток. Назовите данный компонент цитоплазмы.

А) органеллы; Б) включения;

К "СОДЕРЖАНИЮ" К НАЧАЛУ ГЛАВЫ

18

В) гиалоплазма; Г) микроворсинки; Д) микротрубочки.

ТЕСТОВОЕ ЗАДАНИЕ На электронных микрофотографиях клеток в цитоплазме определяются постоянные,

обязательные структуры, выполняющие определенные функции. Назовите данные структуры цитоплазмы.

А) органеллы; Б) включения; В) гиалоплазма; Г) реснички;

Д) микроворсинки.

ТЕСТОВОЕ ЗАДАНИЕ

Для каждого незаконченного утверждения ОДИН или НЕСКОЛЬКО ответов являются правильными.

ВЫБЕРИТЕ:

А

Б

В

Г

Д

если верно

если верно

если верно

если верно

если верно

1, 2, 3

1, 3

2, 4

только 4

все

Гиалоплазма характеризуется:

1)гомогенным или мелкозернистым характером строения;

2)способностью переходить из золеобразного состояния в гелеобразное и обратно;

3)содержанием ферментов;

4)содержанием биополимеров: белков, нуклеиновых кислот, полисахаридов и др.

ТЕСТОВОЕ ЗАДАНИЕ

Для каждого незаконченного утверждения ОДИН или НЕСКОЛЬКО ответов являются правильными.

ВЫБЕРИТЕ:

А

Б

В

Г

Д

если верно

если верно

если верно

если верно

если верно

1, 2, 3

1, 3

2, 4

только 4

все

Кмембранным органеллам относятся:

1)митохондрии;

2)эндоплазматическая сеть;

3)пластинчатый комплекс;

4)пероксисомы.

Гранулярная эндоплазматическая сеть:

1)относится к вакуолярной системе клетки;

2)состоит из скоплений уплощенных цистерн, на поверхности которых располагаются рибосомы;

3)является транспортной системой клетки;

4)развита в малодифференцированных клетках.

Гладкая эндоплазматическая сеть:

К "СОДЕРЖАНИЮ" К НАЧАЛУ ГЛАВЫ

19

1)представляет замкнутую сеть ограниченных мембраной трубочек, канальцев, цистерн;

2)в составе мембран содержится цитохром Р-450;

3)является депо ионов кальция;

4)обусловливает оксифилию цитоплазмы.

ТЕСТОВОЕ ЗАДАНИЕ

На электронной микрофотографии фибробласта дермы кожи видна хорошо развитая гранулярная эндоплазматическая сеть. С какой функцией клетки это связано?

А) синтезом белка коллагена; Б) синтезом липидов;

В) сегрегацией, накоплением синтезированных продуктов; Г) фагоцитозом; Д) внутриклеточным пищеварением.

ТЕСТОВОЕ ЗАДАНИЕ

На электронной микрофотографии гепатоцита определяется система замкнутых мембран, ограничивающих канальцы и цистерны, осуществляющая метаболизм липидов и углеводов, детоксикацию, транспорт веществ, обмен кальция. Какая это органелла?

А) митохондрия; Б) гранулярная эндоплазматическая сеть;

В) пластинчатый комплекс; Г) лизосома;

Д) агранулярная эндоплазматическая сеть.

ТЕСТОВОЕ ЗАДАНИЕ

В препарате околоушной слюнной железы при окраске гематоксилином и эозином выявляются секреторные клетки с базофильной цитоплазмой (сероциты). Какие органеллы обусловливают данную окраску цитоплазмы?

А) митохондрии; Б) лизосомы;

Б) гранулярная эндоплазматическая сеть; Г) комплекс Гольджи; Д) центросомы.

ТЕСТОВОЕ ЗАДАНИЕ

Выберите один наиболее правильный ответ. Функции гранулярной эндоплазматической сети:

А) синтез белков и их внутриклеточный транспорт; В) синтез углеводов и липидов; В) синтез иРНК; Г) детоксикация веществ;

Д) накопление гликогена.

ТЕСТОВОЕ ЗАДАНИЕ

На электронной микрофотографии секреторной клетки определяется система замкнутых, мембран, покрытых рибосомами. Эта система структур осуществляет синтез белков, изоляцию последних от содержимого гиалоплазмы. Назовите органеллу:

А) митохондрии,

К "СОДЕРЖАНИЮ" К НАЧАЛУ ГЛАВЫ

20

Б) гранулярная эндоплазматическая сеть; В) пластинчатый комплекс; Г) лизосомы;

Д) агранулярная эндоплазматическая сеть.

ТЕСТОВОЕ ЗАДАНИЕ

На электронной микрофотографии в цитоплазме клетки определяются цистерны и трубочки, окруженные мембраной. На поверхности мембран располагаются рибосомы. Какая органелла представлена на электронной микрофотографии

А) митохондрии.

Б) комплекс Гольджи.

В) агранулярная эндоплазматическая сеть, Г) гранулярная эндоплазматическая сеть. Д) лизосомы.

ТЕСТОВОЕ ЗАДАНИЕ

3

1

4

2

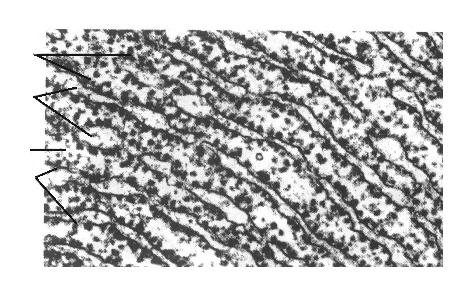
Назовите вид органеллы, представленной на электронной микрофотографии. А) пластинчатый комплекс; Б) митохондрии;

В) гранулярная эндоплазматическая сеть; Г) гладкая эндоплазматическая сеть; Д) лизосомы.

ТЕСТОВОЕ ЗАДАНИЕ

Выберите один наиболее правильный ответ. Синтез полисахаридов и липидов в клетке происходит в:

А) гранулярной эндоплазматической сети; Б) гладкой эндоплазматической сети; В) митохондриях; Г) лизосомах; Д) центриолях.

ТЕСТОВОЕ ЗАДАНИЕ

К "СОДЕРЖАНИЮ" К НАЧАЛУ ГЛАВЫ