Материал: Симптоматология+пороков+сердца

Внимание! Если размещение файла нарушает Ваши авторские права, то обязательно сообщите нам

Инструментальная диагностика при АН

ЭКГ

Признаки гипертрофии левого желудочка:

в левых грудных отведениях (V5, V6) увеличение амплитуды зубцов R;

увеличение амплитуды зубца S в правых грудных отведениях (V1,V2);

смещение переходной зоны к правым грудным отведениям (V1,V2);

смещение электрической оси сердца влево или горизонтальное ее расположение (α ≤ 00);

смещение сегмента ST ниже изоэлектрической линии и

появление отрицательных зубцов Т в отведениях V5 и

V6, I, aVL.

ЭКГ при аортальном пороке

выраженная гипертрофия ЛЖ с нарушением процессов реполяризации

Инструментальная диагностика при АН

Рентгенография:

увеличение тени сердца влево

аортальная конфигурация сердца

расширение тени аорты

усиленная пульсация сердца и аорты

ЭхоКГ:

дилатация и гипертрофияЛЖ

аортальная регургитация

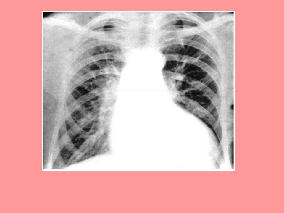
Рентгенограмма больного с недостаточностью клапана аорты и выраженной дилатацией ЛЖ при исследовании в прямой проекции

Трикуспидальная недостаточность (ТН)

ТН – порок, при котором во время систолы происходит регургитация крови из правого желудочка в правое предсердие.

Причины:

1.Ревматический эндокардит

2.Инфекционный эндокардит

3.Врожденный порок

4.Травма с повреждением клапана

5.Относительная ТН – расширение фиброзного кольца при дилатации ПЖ:

митральные пороки (декомпенсация правого желудочка)

миокардиты

хроническое легочное сердце