Материал: Патан Серов учебник

Внимание! Если размещение файла нарушает Ваши авторские права, то обязательно сообщите нам

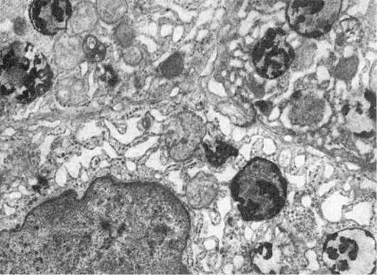
Рис.

18. Фаголизосомы в гепатоцитах. х18 500

Нарушения функций лизосом и наследственные болезни

Среди наследственных болезней, связанных с нарушениями функций лизосом и называющихся лизосомными болезнями, прежде всего следует назвать наследственные лизосомные энзимопатии. Они являются следствием первичной генной мутации и проявляются либо полным блоком синтеза ферментного белка, либо синтезом белковых молекул со сниженной биокаталитической активностью. Дефект (отсутствие) одного или нескольких лизосомных ферментов ведет к накоплению в клетке веществ, которые в норме метаболизируют эти ферменты. Поэтому наследственные лизосомные энзимопатии включены в группу болезней накопления, илитезаурисмозов. Группа наследственных лизосомных энзимопатии достаточно велика. Особенно отчетливо она представлена среди гликогенозов (болезнь Помпе), ганглиозидозов (болезни Тея-Сакса, Сандхофа, ювенильный ганглиозидоз), гепатозов (болезнь Дабина-Джонсона), ожирения (недостаточность липаз адипозоцитов).

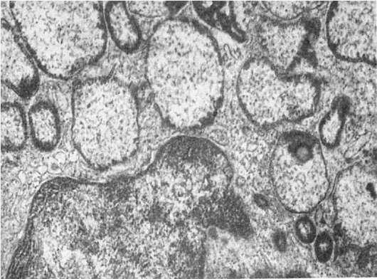
Другую группу наследственных болезней, обусловленных нарушением функции лизосом,

можно связать снарушением мембранных взаимодействий органелл клетки, что приводит к образованию гигантских органелл, в том числе гигантских лизосом (рис. 19). Эта группа невелика: синдром Чедиака-Хигаси, так называемая циклическая нейтропения.

Лизосомы и липопигменты

Содержимое телолизосом представлено липопигментами, т.е. продуктами, которые энзимы лизосом расщепляют с трудом или вообще не рас-

41

Рис.

19. Гигантские светлые лизосомы звездчатого ретикулоэндотелиоцита при врожденной недостаточности α-1-антитрипсина. х21 000

щепляют. После растворения лизосомальной мембраны они долгое время находятся в цитоплазме, лишь изредка покидают клетки.

Липопигментами обозначают группу цитоплазматических гранул и включений от желтого до темно-коричневого цвета, содержащих белки и труднорастворимые липиды. Их цвет обусловлен продуктами окисления и полимеризации ненасыщенных жирных кислот. Лизосомное происхождение липопигментов подтверждено биохимически, гистохимически и электронно-микроскопически. Липопигменты делят на липофусцин,встречающийся в паренхиматозных и нервных клетках, и цероид, образующийся в макрофагах

(см. Дистрофия).

Микротельца (пероксисомы)

Изменения микротелец, касающиеся их числа и структурных компонентов, встречаются при многих болезнях человека. Будучи вторичными, они отражают нарушения оксидазнокаталазной активности клетки. Но изменения микротелец могут быть и первичными, что позволяет говорить о «пероксисомных болезнях», имеющих характерные клинические проявления первичной каталазной недостаточности.

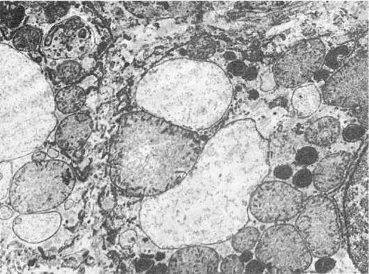
Изменения числа и структуры микротелец, их нуклеоидов и матрикса Увеличение числа пероксисом и повышение каталазной активности в гепатоцитах (рис. 20) и нефроцитах можно вызвать в эксперименте с помощью ряда лекарственных препаратов, обладающих гиполипопротеинемическим действием, а в кардиомиоцитах - при длительной даче этанола. У

42

человека повышение числа пероксисом отмечено в гепатоцитах при вирусном гепатите, лептоспирозе.

Рис.

20. Увеличение количества пероксисом в гепатоцитах. х22 000

Уменьшение числа пероксисом, особенно в гепатоцитах, вызывают в эксперименте с помощью веществ, тормозящих синтез каталаз, или отмены стимуляторов этого синтеза. У человека уменьшение числа пероксисом и снижение синтеза их ферментов наблюдаются в печени при воспалении, а также при опухолевом росте. Значительные дефекты пероксисомной системы, разрушение пероксисом находят при гиперлипидемии и гиперхолестеринемии, причем разрушение пероксисом происходит путем аутолиза или аутофагии.

Нуклеоиды пероксисом разрушаются в эксперименте на животных при введении веществ, уменьшающих липидемию, или после облучения. У человека при одних заболеваниях (гепатоцеребральная дистрофия) происходит деградация нуклеоидов пероксисом, при других (идиопатический холестаз) - новообразование нуклеол в пероксисомах.

Пероксисомный матрикс разрушается у животных при введении им ингибиторов синтеза каталаз. У человека разрушение матрикса пероксисом находят при ишемическом некрозе, вирусном гепатите.

Пероксисомные болезни

43

Известны три наследственных метаболических расстройства, которые могут рассматриваться какпероксисомные болезни: акаталаземия, цереброгепаторенальный синдром Целлвегера и системная недостаточность карнитина.

При акаталаземии активность каталазы в печени и других органах крайне низка вследствие сниженной ее термостабильности. Единственный клинический синдром этого заболевания - гангренозные изъязвления полости рта.

Цереброгепаторенальный синдром Целлвегера характеризуется отсутствием пероксисом в гепатоцитах; эндоплазматическая сеть их редуцирована, митохондрий мало; цитоплазма заполнена гликогеном и липидами. Каталазная активность печени у этих больных составляет примерно 20% нормы. Результатом недостаточности пероксисом при этом синдроме является нарушение синтеза желчных кислот.

Системная недостаточность карнитина клинически характеризуется миопатией с периодическими нарушениями функций печени и головного мозга. Выраженный дефицит карнитина обнаруживается в скелетных мышцах, печени, плазме крови; в мышцах не происходит окисления жирных кислот.

Цитоскелет и патология клетки

«Скелет» клетки выполняет опорную, транспортную, контрактильную и двигательную функции. Он представлен 3 видами филаментов (фибрилл) - микрофиламентами, промежуточными филаментами и микротрубочками - макрофиламентами. Каждый из филаментов, выполняя ряд общих функций клетки, специализирован в отношении преимущественно одной из них - контракции (микрофиламенты), статики (промежуточные филаменты) или движения органелл и транспорта (микротрубочки). Цитоскелет претерпевает различные изменения при многих

болезнях и патологических состояниях, что, естественно, влияет на специализированные функции клетки.

Микрофиламенты

Микрофиламенты имеют прямое отношение к актину и миозину. Актиновые филаменты, как и миозин, обнаружены почти во всех клетках. Для миозина, независимо от того, принадлежит он мышечным или немышечным клеткам, характерна одна способность - обратимо связываться с актиновыми филаментами и катализировать гидролиз АТФ, что требует присутствия самого актина. Количество миозина в мышечных клетках в 50 раз больше по сравнению с немышечными, кроме того, миозиновые филаменты мышечных клеток длиннее и толще, чем филаменты немышечных клеток.

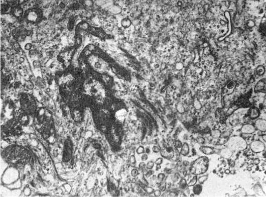
Патология микрофиламентов довольно разнообразна. С их дисфункцией связывают, например, определенные виды холестаза и даже первичный билиарный цирроз. Считают, что циркуляция желчи в печени регулируется микрофиламентозной системой (рис. 21), так как микрофиламенты в большом количестве окружают желчные канальцы и, прикрепляясь к

44

плазматической мембране гепатоцитов, могут влиять на размер просвета желчных канальцев. Показано, что воздействия на микрофиламенты, угнетающие их сократительную способность, ведут к застою желчи. Возможно, что подобный механизм лежит в основе некоторых видов холестаза. Резкое увеличение микрофиламентов находят в эпителии желчных протоков при первичном билиарном циррозе, что может быть причиной нарушения кинетики билиарной системы, холестаза и после-

Рис.

21. Увеличение количества микрофиламентов в эпителиальной клетке желчного протока при холестазе. х20 000

дующего гранулематоза холангиол, характерного для этого заболевания. Однако вопрос о том, первична или вторична аккумуляция микрофиламентов в эпителии билиарной системы при первичном билиарном циррозе, еще не решен. Увеличение количества микрофиламентов описано в клетках злокачественных опухолей, особенно в зонах инвазии опухоли. Микрофиламентозная активность характерна и для ряда репаративных процессов, например для заживления ран.

Микрофиламентозная система служит также секреторным процессам, фагоцитозу и митозу.

Промежуточные филаменты

Промежуточные филаменты достаточно специализированы в зависимости от типа клеток, в которых встречаются: цитокератины находят в эпителиях, скелетин (десмин) - в мышечных клетках, виментин - в мезенхимальных клетках, нейрофиламенты - в клетках центральной и периферической нервной системы, глиальные филаменты - в клетках глии. Однако в клетках одного и того же происхождения могут встречаться промежуточные филаменты разного типа.

45