Материал: Патан Серов учебник

Внимание! Если размещение файла нарушает Ваши авторские права, то обязательно сообщите нам

агентами. «Бреши» в мембране, независимо от того, «сквозные» они или «поверхностные», ведут к осмотическому набуханию клетки и ее гибели.

«Штопка» локально разрушенной плазмолеммы осуществляется с помощью мембран мелких везикул, которые сосредоточиваются в месте повреждения.

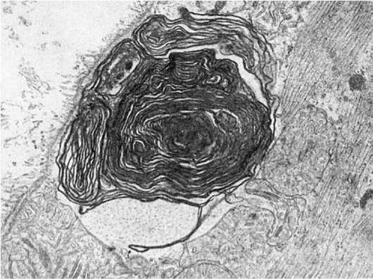
Своеобразным изменением плазмолеммы, встречающимся не только при нарушении ее проницаемости, является образование миелиноподобных структур (рис. 24). Эти структуры появляются в связи с перекисным окислением липидов мембран, усиливающимся под воздействием разных агентов. Высвобождающиеся из разрушающихся при перекисном окислении мембран фосфолипиды (дезагрегация и реагрегация мембраны) образуют сложные миелиноподобные структуры. Подобные структуры появляются и при скручивании удлиненных цитоплазматических отростков.

Изменения клетки при повреждении плазмолеммы. Повреждение плазмолеммы ведет к утрате так называемого активного мембранного транспорта: концентрации интра- и экстрацеллюлярного натрия и калия выравниваются, внутрь клетки проникают низкомолекулярные анионы, а затем и катионы, повышается внутриклеточное осмотическое давление. Таким образом, резко нарушается мембранный водно-электролитный транспорт, следствием чего становятся набухание и отек клетки. Нарушение активного мембранного транспорта может приводить также к избирательному поступлению в клетку определенных продуктов обмена (белки, липиды, углеводы, пигменты) и накоплению их после истощения ферментных систем, метаболизирующих эти продукты. Так развиваются клеточные дистрофии инфильтрационного генеза(жировая дистрофия гепатоцитов при гиперлипидемиях; гиалиново-капельная дистрофия нефроцитов при нефротическом синдроме). При резком повреждении плазмолеммы и поступлении в клетку ряда токсических или биологически активных веществ возможна деструкция структурных комплексов клетки

51

Рис.

24. Миелиноподобные структуры под плазматической мембраной мышечного волокна при ишемии. х22 500

с высвобождением составляющих их химических веществ (белки, липиды и т.д.), что ведет к их накоплению. Возникают клеточные дистрофии декомпозиционного генеза (жировая дистрофия миокарда при дифтерии, гидропическая дистрофия гепатоцитов при вирусном гепатите). Следует заметить, что инфильтрационный механизм развития дистрофии может сменяться декомпозиционным и наоборот. В ряде случаев повреждения плазмолеммы позволяют проникнуть в клетку веществам, способным извратить синтез того или иного продукта. Тогда возникают клеточные дистрофии извращенного синтеза (синтез алкогольного гиалина гепатоцитом под воздействием этанола). Финалом тяжелого повреждения плазмолеммы является гибель клетки - ее некроз(см. Дистрофия, Некроз).

Патология клеточных стыков

В тканях человека клеточные стыки ответственны за три главные функции: межклеточную адгезию, «тесное общение» клеток и герметизацию слоя эпителиальных клеток.

Межклеточную адгезию как чисто механическую функцию ранее связывали в первую очередь с десмосомами. В настоящее время установлено, что в межклеточной адгезии участвуют все типы клеточных стыков.

Медиаторами «тесного общения» (или сопряжения) клеток считают щелевидные стыки,

которые обеспечивают прямое сообщение между клетками, перенос ионов и малых молекул без потери их во внеклеточное пространство. Это способствует регуляции метаболических процессов в клетках и их дифференцировке.

52

Герметизация клеток эпителиального пласта обеспечивается плотными стыками, степень ее коррелирует с количеством стыков и внутримембранных тяжей. Плотные стыки отвечают за поддержание осмотических и электрохимических градиентов эпителиального пласта и отчасти за состояние внеклеточных структур, окружающих этот пласт.

Изменение межклеточной адгезии. Показано, что степень межклеточной адгезии ослабевает при опухолевом росте, причем уже на ранних стадиях онкогенеза. Количество и распределение клеточных стыков на поверхности опухолевых клеток могут быть одним из критериев характеристики роста опухоли.

Изменение «тесного общения» клеток. Как уже говорилось, «тесное общение» клеток предопределяет их непосредственный контакт для обмена информационными молекулами и обычно осуществляется с помощью щелевидных стыков, гидрофильные каналы которых пропускают ионы и молекулы с молекулярной массой до 1000. Считают, что дефекты «тесного общения» клеток могут играть важную роль в развитии и поведении опухолей.

Нарушения межмембранных связей клеток тканевых барьеров. Плотные стыки являются структурной основой таких тканевых барьеров, как кровь - мозг, кровь - легкие, кровь - желчь, кровь - почки. Поэтому эти стыки находятся, как правило, в эпителии. Они предотвращают «про-

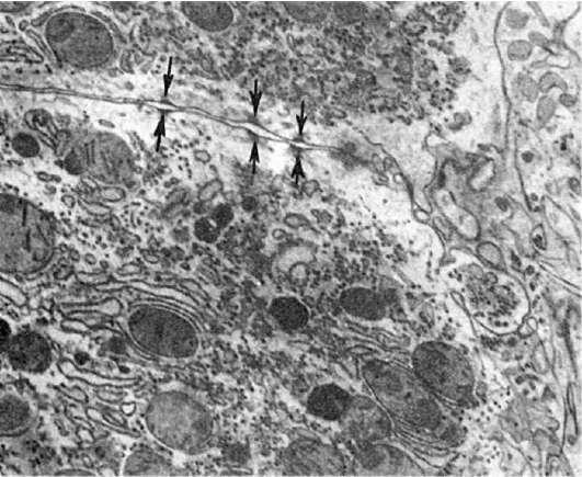
извольный обмен» белками и другими макромолекулами между клеточными «партнерами» барьеров. Наиболее частым следствием повреждения тканевых барьеров является увеличение проницаемости плотных стыков клеток (рис. 25), что ведет к «трансэпителиальной протечке» (например, при повышении внутрисосудистого гидростатического давления, мозговой коме, холестазе, шоке, нефротическом синдроме).

53

Рис. 25. Расхождение десмосомальных контактов между гепатоцитами (показано стрелками) вблизи желчного канальца при первичном билиарном циррозе. х23 500

Структурные изменения клеточных стыков. Эти изменения касаются прежде всего десмосом.Псевдодесмосомы («несовершенные» десмосомы) с хорошо развитой пластинкой лишь у одной клетки могут возникать в результате разрыва дефектных стыков, неполной сборки стыка, диссоциации клеток. В основеасимметричных десмосом с недоразвитой пластинкой у одной из клеток лежат, вероятно, те же механизмы. К структурным изменениям клеточных стыков следует отнести и нарушения их топографии, т.е. появление их на поверхности клеток, где они в обычных условиях жизнедеятельности клеток не встречаются.

Изменения структуры десмосом, как и других типов клеточных стыков, находят при метаплазии, дисплазии, опухолевом росте, в эмбриональных тканях (асимметричные десмосомы); они найдены при таких заболеваниях, как ревматоидный артрит, псориаз.

В заключение следует сказать, что патология клетки как интегративное понятие является необходимой базой общей патологии человека.

ДИСТРОФИЯ

Общие сведения

54

Дистрофия (от греч. dys - нарушение и trophe - питаю) - сложный патологический процесс, в основе которого лежит нарушение тканевого (клеточного) метаболизма, ведущее к структурным изменениям. Поэтому дистрофии рассматриваются как один из видов повреждения.

Под трофикой понимают совокупность механизмов, определяющих метаболизм и структурную организацию ткани (клетки), которые необходимы для отправления специализированной функции. Среди этих механизмов выделяют клеточные и внеклеточные (рис. 26). Клеточные механизмы обеспечиваются структурной организацией клетки и ее ауторегуляцией. Это значит, что трофика клетки в значительной мере явля-

Рис.

26. Механизмы регуляции трофики (по М.Г. Балш)

ется свойством самой клетки как сложной саморегулирующейся системы. Жизнедеятельность клетки обеспечивается «окружающей средой» и регулируется с помощью ряда систем организма. Поэтому внеклеточные механизмы трофики располагают транспортными (кровь, лимфа, микроциркуляторное русло) и интегративными (нейро-эндокринные, нейрогуморальные) системами ее регуляции. Из сказанного следует, чтонепосредственной причиной развития дистрофий могут служить нарушения как клеточных, так и внеклеточных механизмов, обеспечивающих трофику.

55