Материал: Патан Серов учебник

Внимание! Если размещение файла нарушает Ваши авторские права, то обязательно сообщите нам

Изменения гранулярной эндоплазматической сети и рибосом могут быть представлены гиперплазией и атрофией, упрощением структуры, дезагрегацией (диссоциацией) рибосом и полисом, образованием аномальных рибосомально-пластинчатых комплексов.

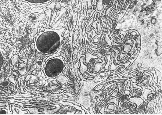
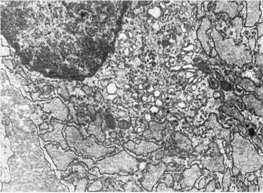
Гиперплазия гранулярной эндоплазматической сети и рибосом, т.е. увеличение их количества, светооптически проявляется повышенной базофилией цитоплазмы, которая отражает объемную плотность рибосом и является показателем интенсивности белкового синтеза в клетке. Электронно-микроскопически в таких случаях можно судить о сопряжении синтеза и экскреции белка или отсутствии такого сопряжения. В интенсивно секретирующих и экскретирующих белок клетках (например, в активных фибробластах) цистерны гранулярной эндоплазматической сети расширены и содержат мало электронно-плотного материала: отмечается гиперплазия как связанных с мембранами, так и свободных рибосом, образующих полисомы; пластинчатый комплекс (комплекс Гольджи), участвующий в экскреции синтезируемого белка, хорошо развит (рис. 11). В интенсивно секретирующих белок клетках с нарушенной его экскрецией в гиперплазированных расширенных цистернах эндоплазматической сети с обилием рибосом и полисом накапливается хлопьевидный электронноплотный материал (рис. 12), иногда происходит его кристаллизация; комплекс Гольджи в таких случаях развит плохо.

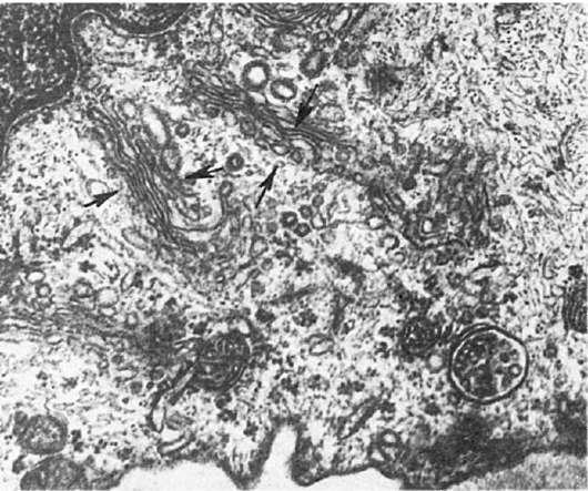
Рис.

11. Гиперплазия гранулярной эндоплазматической сети, расширение ее цистерн, гиперплазия пластинчатого комплекса (плазматическая клетка). х13 500

31

Рис.

12. Конденсированный белковый секрет в эндоплазматической сети (плазматическая клетка).

х13 500

Атрофия гранулярной эндоплазматической сети, т.е. уменьшение ее размеров, светооптически представлена снижением или исчезновением базофилии цитоплазмы, а электронно-микроскопически - уменьшением размеров канальцев и объема сети, количества и размеров рибосом (рис. 13). Она отражает снижение белково-синтетической функции клетки (белковый дефицит при голодании, болезнях печени; старение).

32

Рис.

13. Атрофия гранулярной и гиперплазия агранулярной эндоплазматической сети гепатоцитов.

х16 500

Упрощение структуры гранулярной эндоплазматической сети клеток свидетельствует о недостаточной их дифференцировке, нередко встречается в клетках злокачественных опухолей.

Дезагрегация (диссоциация) рибосом и полисом, выражающаяся в нарушениях рибосомально-мембранных взаимоотношений, «неорганизованной» ассоциации рибосом в полисомы, может быть выражением структурного упрощения эндоплазматической сети недифференцированной и опухолевой клетки. Но те же изменения наблюдаются и в дифференцированных клетках при кислородном голодании и дефиците белка в организме.

Образование аномальных рибосомально-пластинчатых комплексов является выражением субклеточной атипии и встречается при опухолях системы крови - гемобластозах (см. Опухоли системы крови).

Изменения агранулярной эндоплазматической сети

Агранулярная цитоплазматическая сеть может претерпевать ряд морфологических изменений, отражающих нарушения разнообразных функций этого органоида. Среди них главные - гиперплазия и атрофия.

Гиперплазия мембран эндоплазматической сети с расширением ее канальцев и систем (см. рис. 13) может отражать различные по интенсивности и разные по своей сути процессы. Вопервых, это усиление метаболической активности ряда веществ (белков, липидов, лекарственных средств). Во-вторых, это нарушенный внутриклеточный транспорт

33

метаболизируемых продуктов, которые накапливаются в расширенных канальцах и цистернах сети, при этом пластинчатый комплекс редуцирован. В-третьих, это дефицит ферментов (ферментопатия), ведущий к недостаточности специфических функций этого органоида. При нарушении внутриклеточного транспорта метаболизируемых продуктов и ферментопатии в расширенных цистернах эндоплазматической сети накапливаются белки и вода (гидропическая дистрофия) или липиды и липопротеиды (жировая дистрофия).

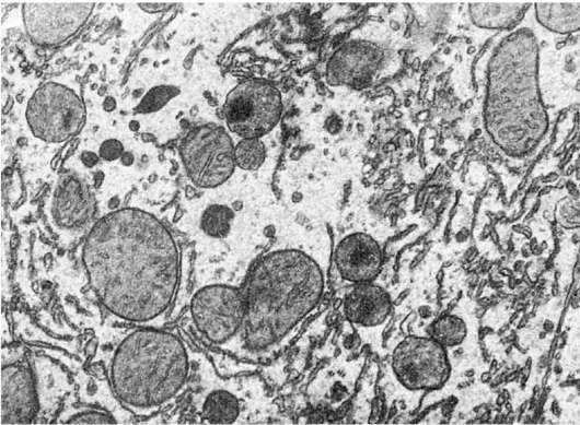
Атрофия, а в дальнейшем и редукция гладкой эндоплазматической сети возникают при остром или хроническом воздействии на клетку различных ядов и токсических веществ (рис. 14), а также при белковом голодании.

Эндоплазматическая сеть и система оксигеназ со смешанной функцией

Ряд чужеродных веществ, подвергающихся метаболизму в эндоплазматической сети, способен взаимодействовать с макромолекулами клетки, что ведет к ее повреждению. Катализаторами таких метаболических процессов в эндоплазматической сети является группа родственных NADH- и 02-зависимых ферментов. Это - монооксигеназы (гидроксилазы) или оксигеназы со смешанной функцией (ОСФ); терминальной оксигеназой этой системы является цитохром-Р-450. Система ОСФ, связанная с цитохромом Р-450, найдена в эндоплазматической сети клеток многих органов (печень, легкие, кишечник, кора надпочечников, семенники, кожа). Эта система может, помимо гидроксилирования стероидов, утилизировать многие липофильные эндогенные (жирные кислоты) и экзогенные

Рис.

14. Атрофия гладкой эндоплазматической сети гепатоцита. х18 000

34

(лекарственные препараты, органические растворители, карциногены) вещества. Метаболизм чужеродных липофильных веществ требует сложного взаимодействия ряда ферментативных процессов, в которых система ОСФ - цитохром Р-450 занимает центральное место. Такой метаболизм не всегда ведет к инактивации метаболических веществ. Возможно образование реакционноспособных оксигенированных продуктов, которые могут взаимодействовать с нуклеиновыми кислотами и белками клетки, что ведет к ее повреждению. Основной механизм такого повреждения - это генерация супероксидных радикалов кислорода и перекиси водорода, индуцирующих переокисление липидов.

Пластинчатый комплекс (комплекс Гольджи), секреторные гранулы и вакуоли Синтетическая деятельность пластинчатого комплекса, тесно связанная с

эндоплазматической сетью, завершается образованием секреторных гранул и вакуолей. Поэтому морфология нарушенной деятельности пластинчатого комплекса отражает и нарушения секреции, т.е. нарушения продукции клеточных включений - гранул и вакуолей. Можно говорить о двух основных морфологических проявлениях нарушенной деятельности пластинчатого комплекса и секретообразования: гипертрофии и атрофии.

Гипертрофия пластинчатого комплекса, т.е. его увеличение за счет гиперплазии его мембран, увеличения количества секреторных гранул, везикул и вакуолей, является проявлением повышенного синтеза и секреции белков, гликолипидов или полисахаридов (рис. 15). При этом увеличивается количество секреторных гранул и везикул в цитоплазме и за пределами пластинчатого комплекса. Гипертрофия пластинчатого

Рис.

15. Гиперплазия мембран пластинчатого комплекса в подоците. х20 500

35