Материал: Патан Серов учебник

Внимание! Если размещение файла нарушает Ваши авторские права, то обязательно сообщите нам

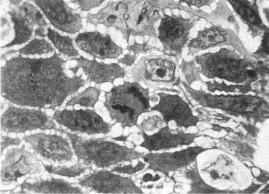
Рис.

8. Патология митоза. Полутонкий срез ткани опухоли. х1000

Хромосомные аберрации и хромосомные болезни

Хромосомные аберрации. Под хромосомными аберрациями понимают изменения структуры хромосом, вызванные их разрывами, с последующим перераспределением, утратой или удвоением генетического материала. Они отражают различные виды аномалий хромосом. У человека среди наиболее часто встречающихся хромосомных аберраций, проявляющихся развитием глубокой патологии, выделяют аномалии, касающиеся числа и структуры хромосом. Нарушения числа хромосом могут быть выражены отсутствием одной из пары гомологичных хромосом (моносомия) или появлением добавочной, третьей, хромосомы (трисомия).Общее количество хромосом в кариотипе в этих случаях отличается

от модального числа и равняется 45 или 47. Полиплоидия и анеуплоидия имеют меньшее значение для развития хромосомных синдромов. К нарушениям структуры хромосом при общем нормальном их числе в кариотипе относят различные типы их «поломки»:

транслокацию (обмен сегментами между двумя негомологичными хромосомами), делецию (выпадение части хромосомы), фрагментацию, кольцевые хромосомы и т.д.

Хромосомные аберрации, нарушая баланс наследственных факторов, являются причиной многообразных отклонений в строении и жизнедеятельности организма, проявляющихся в так называемых хромосомных болезнях.

Хромосомные болезни. Их делят на связанные с аномалиями соматических хромосом (аутосом) и с аномалиями половых хромосом (телец Барра). При этом учитывают характер хромосомной аномалии - нарушение числа отдельных хромосом, числа хромосомного набора или структуры

26

хромосом. Эти критерии позволяют выделять полные или мозаичные клинические формы хромосомных болезней.

Хромосомные болезни, обусловленные нарушениями числа отдельных хромосом (трисомиями и моносомиями), могут касаться как аутосом, так и половых хромосом.

Моносомии аутосом (любые хромосомы, кроме Х- и Y-хромосом) несовместимы с жизнью. Трисомии аутосом достаточно распространены в патологии человека. Наиболее часто они представлены синдромами Патау (13-я пара хромосом) и Эдвардса (18-я пара), а также болезнью Дауна (21-я пара). Хромосомные синдромы при трисомиях других пар аутосом встречаются значительно реже. Моносомия половой Х-хромосомы (генотип ХО) лежит в основе синдрома Шерешевского-Тернера, трисомия половых хромосом (генотип XXY) - в основе синдрома Клейнфелтера. Нарушения числа хромосом в виде тетраили триплоидии могут быть представлены как полными, так и мозаичными формами хромосомных болезней.

Нарушения структуры хромосом дают самую большую группу хромосомных синдромов (более 700 типов), которые, однако, могут быть связаны не только с хромосомными аномалиями, но и с другими этиологическими факторами.

Для всех форм хромосомных болезней характерна множественность проявлений в виде врожденных пороков развития, причем их формирование начинается на стадии гистогенеза и продолжается в органогенезе, что объясняет сходство клинических проявлений при различных формах хромосомных болезней.

Патология цитоплазмы

Изменения мембран и патология клетки

Клеточные мембраны, как известно, состоят из бислоя фосфолипидов, по обе стороны которого располагаются разнообразные мембранные белки. На внешней поверхности мембраны белковые молекулы несут полисахаридные компоненты (гликокаликс), которые содержат многочисленные поверхностные клеточные антигены. Они играют важную роль в клеточном узнавании, формировании клеточных стыков.

Изменения клеточных мембран. Среди них различают следующие (Авцын А.П., Шахламов В.А., 1979): чрезмерное везикулообразование («минусмембрана» - рис. 9); увеличение поверхности плазмолеммы клеток мембранами микропиноцитозных пузырьков («плюсмембрана»); усиленный микроклазматоз и клазматоз («минус-мембрана» - см. рис. 9); образование цитоплазматических отростков из плазмолеммы клетки; образование пузырей на поверхности клетки; утолщение слоев мембраны; образование микропор; образование миелиноподобных структур из плазмолеммы и мембран органелл; слияние разнородных клеточных мембран; локальные разрушения мембран - «бреши» в плазмолемме; «штопка» локально разрушенной плазмолеммы мембранами микропиноцитозных везикул.

27

Рис.

9. Изменения мембран эндотелиоцитов. Усиленное везикулообразование и клазматоз. х25

500

К патологии мембран клетки могут вести нарушения мембранного транспорта, изменения проницаемости мембран, изменения коммуникации клеток и их «узнавания», изменения подвижности мембран и формы клеток, нарушения синтеза и обмена мембран.

Нарушения мембранного транспорта. Процесс мембранного транспорта предполагает перенос ионов и других субстратов против градиента концентрации. Транспорт может быть активным, тогда он требует АТФ и «подвижности» транспортных белков в мембране, или пассивным посредством различных диффузионных и обменных процессов. Активный транспорт - это также функция эпителиальных барьеров. Нарушения мембранного транспорта, ведущие к патологии клетки, хорошо прослежены при ишемии, которая приводит к первичным изменениям митохондрий. В митохондриях резко падает эффективность окислительного фосфорилирования, они набухают, вначале увеличивается проницаемость их внутренней мембраны, в дальнейшем повреждение становится тотальным и необратимым

(рис. 10).

Ишемическое повреждение митохондрий приводит к полому натрий-калиевого АТФ-насоса, постепенному накапливанию в клетке натрия и потере ею калия. Нарушение натрий-калиевого обмена ведет к вытеснению кальция из митохондрий. В результате в цитоплазме повышается уровень ионизированного кальция и увеличивается связывание его с кальмодулином. С повышением содержания кальцийкальмодулиновых комплексов связан ряд изменений клетки: рас-

28

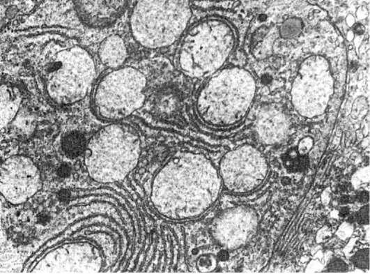
Рис.

10. Вакуолизация митохондрий в одном гепатоците (слева) и конденсация их в другом

(справа). х16 000

хождение клеточных стыков, поглощение кальция митохондриями, изменение микротрубочек и микрофиламентов, активация фосфолипаз. Эндоплазматическая сеть накапливает воду и ионы, следствием чего является расширение ее канальцев и цистерн, развитие гидропической дистрофии. Усиление гликолиза сопровождается истощением гликогена, накоплением лактата и снижением клеточного рН. С этими изменениями связано нарушение структуры хроматина и уменьшение синтеза РНК. Необратимые ишемические повреждения клетки связаны с гидролизом мембран, особенно мембранных липидов, под действием фосфолипаз. Возникают и нарушения лизосомальных мембран с высвобождением гидролаз.

Изменения проницаемости мембран. Контроль мембранной проницаемости предполагает поддержание структуры как фосфолипидного бислоя мембраны с необходимым обменом и ресинтезом, так и соответствующих белковых каналов. Важная роль в осуществлении этого контроля принадлежит гликокаликсу и взаимодействию мембранных белков с цитоскелетом, а также гормонам, взаимодействующим с мембранными рецепторами. Изменения проницаемости могут быть тяжелыми (необратимыми) или поверхностными. Наиболее изученной моделью изменения мембранной проницаемости является повреждение тяжелыми металлами (ртуть, уран). Тяжелые металлы, взаимодействуя с сульфгидрильными группами мембранных белков, изменяют их конформацию и резко увеличивают проницаемость мембраны для натрия,

калия, хлора, кальция и магния, что приводит к быстрому набуханию клеток, распаду их цитоскелета. Подобные изменения мембран отмечаются при повреждении их комплементом

29

(«болезни гиперчувствительности»). В мембранах образуются бреши, что снижает их сопротивление и резко увеличивает проницаемость.

Изменения коммуникации клеток и их «узнавания». Коммуникабельность клеток и опознавание «своих» и «чужих» - необходимое свойство клеточного кооперирования. Клеточное «общение» и «узнавание» подразумевают прежде всего различия во внешних поверхностях плазматической мембраны и мембран внутриклеточных органелл. Особый интерес в этом отношении представляет гликокаликс мембраны с поверхностными антигенами - маркерами определенного типа клеток.

Изменения клеточного «общения» и «узнавания» встречаются при тех патологических процессах (воспаление, регенерация, опухолевый рост), при которых поверхностные антигены могут изменяться, причем различия могут касаться как типа антигена, так и его «доступности» со стороны внеклеточного пространства. Показано, что при исчезновении характерных для данного типа клеток антигенов могут появляться «эмбриональные» и аномальные (например, карциноэмбриональный) антигены; изменения гликолипидов мембраны делают ее более доступной воздействию антител.

Коммуникабельность клеток определяется также состоянием клеточных стыков, которые могут повреждаться при различных патологических процессах и болезнях. В раковых клетках, например, найдена корреляция между изменениями клеточных стыков и нарушением межклеточных связей; в опухолях обнаружены аномальные клеточные соединения.

Изменения подвижности мембран и формы клеток. Различают два типа изменений,

связанных с нарушением подвижности мембран: выпячивание мембраны наружу - экзотропия и внутрь цитоплазмы - эзотропия. При экзотропии мембрана, выпячивающаяся во внеклеточное пространство, образует окруженную мембраной цитоплазматическую структуру. При эзотропии появляется окруженная мембраной полость. Изменения формы клеток связаны не только с экзо- и эзотропией, но и с упрощением клеточной поверхности (потеря малых отростков подоцитов при нефротическом синдроме).

Нарушения синтеза и обмена мембран. Возможно усиление синтеза мембран (при воздействии ряда химических веществ на клетку) или его ослабление (снижение синтеза мембран щеточной каемки энтероцитов при угнетении мембранных ферментов). В равной мере возможно усиление обмена мембран (при стимуляции аутофагоцитоза) или его ослабление (при лизосомных болезнях).

Эндоплазматическая сеть

Однозначные изменения гранулярной и агранулярной эндоплазматической сети могут отражать нарушения различных функций цитоплазмы и клетки.

Изменения гранулярной эндоплазматической сети и рибосом

Функции гранулярной эндоплазматической сети и рибосом сопряжены достаточно жестко, поэтому морфологические проявления их нарушений касаются, как правило, обеих органелл.

30