Материал: Патан Серов учебник

Внимание! Если размещение файла нарушает Ваши авторские права, то обязательно сообщите нам

результатом деятельности одного органоида или одного метаплазматического образования. Каждое функциональное проявление клетки - это результат совместной работы

всех взаимосвязанных компонентов. Понятно поэтому, что структурные изменения клетки, отражающие нарушения ее функции, не могут быть поняты без учета возможных изменений каждой из ее двух основных частей - ядра и цитоплазмы, ее органелл, метаплазматических образований и включений. От нарушений элементарных структур клетки и их функций к патологии клетки как элементарной саморегулирующейся живой системе и к патологии клеточных коопераций, объединенных конечной функцией, - таков путь познания патологии клетки - структурной основы патологии человека.

Поэтому патология клетки - понятие неоднозначное. Во-первых, это патология специализированных ультраструктур клетки, она представлена не только

достаточно стереотипными изменениями той или иной ультраструктуры в ответ на различные воздействия, но и настолько специфичными изменениями ультраструктур, что можно говорить о хромосомных болезнях и «болезнях» рецепторов, лизосомных, митохондриальных, пероксисомных и других «болезнях» клетки. Во-вторых, патология клетки - это изменения ее компонентов и ультраструктур в причинно-следственных связях. При этом речь идет о выявлении общих закономерностей повреждения клетки и ее реакции на повреждение. Сюда могут быть отнесены: рецепция патогенной информации клеткой и реакция на повреждение, нарушения проницаемости клеточных мембран и циркуляции внутриклеточной жидкости; нарушения метаболизма клетки, смерть клетки (некроз), клеточная дисплазия и метаплазия, гипертрофия и атрофия, патология движения клетки, ее ядра и генетического аппарата и др.

Патология клеточного ядра

Морфологически она проявляется в изменении структуры, размеров, формы и количества ядер и ядрышек, в появлении разнообразных ядерных включений и изменений ядерной оболочки. Особую форму ядерной патологии представляет патология митоза; с патологией хромосом ядра связано развитие хромосомных синдромов и хромосомных болезней.

Структура и размеры ядер

Структура и размеры ядра (речь идет об интерфазном, интермитозном, ядре) зависят в первую очередь от плоидности, в частности от содержания в ядре ДНК, и от функционального состояния ядра. Тетраплоидные ядра имеют диаметр больше, чем диплоидные, октоплоидные - больше, чем тетраплоидные.

Большая часть клеток содержит диплоидные ядра. В пролиферирующих клетках в период синтеза ДНК (S-фаза) содержание ДНК в ядре удваивается, в постмитотический период, напротив, снижается. Если после синтеза ДНК в диплоидной клетке не происходит нормального митоза, то появляются тетраплоидные ядра. Возникаетполиплоидия - кратное увеличение числа наборов хромосом в ядрах клеток, или состояние плоидности от тетраплоидии и выше.

16

Полиплоидные клетки выявляют различными способами: по размеру ядра, по увеличенному количеству ДНК в интерфазном ядре или по увеличению числа хромосом в митотической клетке. Они встречаются в нормально функционирующих тканях человека. Увеличение числа полиплоидных ядер во многих органах отмечается в старости. Особенно ярко полиплоидия представлена при репаративной регенерации (печень), компенсаторной (регенерационной) гипертрофии (миокард), при опухолевом росте.

Другой вид изменений структуры и размеров ядра клетки встречается при анеуплоидии, под которой понимают изменения в виде неполного набора хромосом. Анеуплоидия связана с хромосомными мутациями. Ее проявления (гипертетраплоидные, псевдоплоидные, «приблизительно» диплоидные или триплоидные ядра) часто обнаруживаются в злокачественных опухолях.

Размеры ядер и ядерных структур независимо от плоидии определяются в значительной мерефункциональным состоянием клетки. В связи с этим следует помнить, что процессы, постоянно совершающиеся в интерфазном ядре, разнонаправленны: во-первых,

это репликация генетического материала в S-периоде («полуконсервативный» синтез ДНК); во-вторых, образование РНК в процессе транскрипции,транспортировка РНК из ядра в цитоплазму через ядерные поры для осуществления специфической функции клетки и для репликации ДНК.

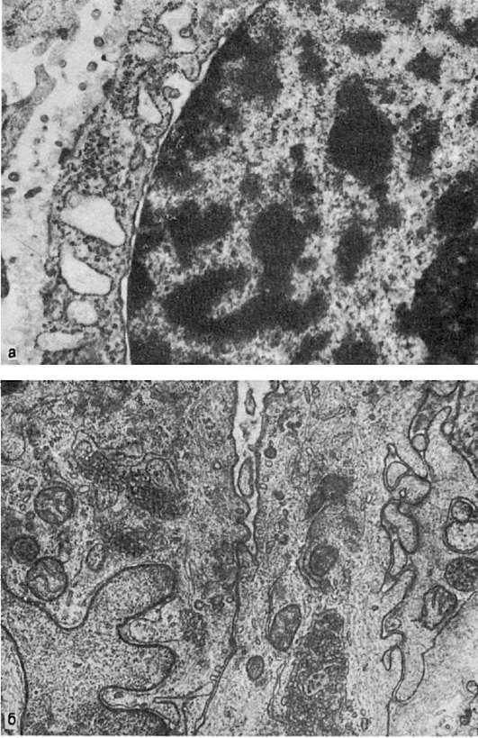
Функциональное состояние ядра находит отражение в характере и распределении его хроматина. В наружных отделах диплоидных ядер нормальных тканей находят конденсированный (компактный) хроматин -гетерохроматин, в остальных ее отделах - неконденсированный (рыхлый) хроматин - эухроматин. Гетеро- и эухроматин отражают различные состояния активности ядра; первый из них считается «малоактивным» или «неактивным», второй - «достаточно активным». Поскольку ядро может переходить из состояния относительно функционального покоя в состояние высокой функциональной активности и обратно, морфологическая картина распределения хроматина, представленная гетеро- и эухроматином, не может считаться статичной. Возможна «гетерохроматинизация» или «эухроматинизация» ядер (рис. 2), механизмы которой изучены недостаточно. Неоднозначна и трактовка характера и распределения хроматина в ядре.

Например, маргинация хроматина, т.е. расположение его под ядерной оболочкой, трактуется и как признак активности ядра, и как проявление его повреждения. Однако конденсация эухроматиновых структур(гиперхроматоз стенки ядра), отражающая инактивацию активных участков транскрипции, рассматривается как патологическое явление, как предвестник гибели клетки. К патологическим изменениям ядра относят также егодисфункциональное (токсическое) набухание, встречающееся при различных повреждениях клетки. При этом происходит изменение коллоидно-осмотического состояния ядра и цитоплазмы вследствие торможения транспорта веществ через оболочку клетки.

17

Рис.

2. Гетеро- и эухроматизация ядер:

а - гетерохроматин ядра опухолей клетки. х25 000; б - эухроматизация хроматина ядра эндотелиоцита. Многочисленные инвагинаты ядерной оболочки; в цитоплазме - тубулярные включения и скопления промежуточных филаментов. х30 000

18

Форма ядер и их количество

Изменения формы ядра - существенный диагностический признак: деформация ядер цитоплазматическими включениями при дистрофических процессах, полиморфизм ядер при воспалении (гранулематоз) и опухолевом росте (клеточный атипизм).

Форма ядра может меняться также в связи с образованием множественных выпячиваний ядра в цитоплазму (рис. 3), которое обусловлено увеличением ядерной поверхности и свидетельствует о синтетической активности ядра в отношении нуклеиновых кислот и белка.

Изменения количества ядер в клетке могут быть представлены многоядерностью, появлением «спутника ядра» и безъядерностью. Многоядерность возможна при слияний клеток. Таковы, например, гигантские многоядерные клетки инородных тел и ПироговаЛангханса, образующиеся при слиянии эпителиоидных клеток (см. рис. 72). Но возможно образование многоядерных клеток и при нарушениях митоза - деление ядра без последующего деления цитоплазмы, что наблюдается после облучения или введения цитостатиков, а также при злокачественном росте.

«Спутниками ядра», кариомерами (маленькими ядрами) называют мелкие подобные ядру образования с соответствующей структурой и собственной оболочкой, которые расположены в цитоплазме около неизмененного ядра. Причиной их образования считают хромосомные мутации. Таковы кариомеры в клетках злокачественной опухоли при наличии большого числа фигур патологических митозов.

Рис.

3. Атипизм ядер клетки опухоли. Множественные выпячивания ядерной оболочки. х15 500

19

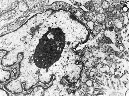
Безъядерность в отношении функциональной оценки клетки неоднозначна. Известны безъядерные клеточные структуры, которые являются вполне жизнеспособными (эритроциты, тромбоциты). При патологических состояниях можно наблюдать жизнеспособность частей цитоплазмы, отделенных от клетки. Но безъядерность может свидетельствовать и о гибели ядра, которая проявляется кариопикнозом, кариорексисом (рис. 4)

икариолизисом (см. Некроз).

Рис.

4. Распад пикнотического ядра (кариорексис)

Структура и размеры ядрышек

Изменения ядрышек имеют существенное значение в морфофункциональной оценке состояния клетки, так как с ядрышками связаны процессы транскрипции и трансформации рибосомальной РНК (р-РНК). Размеры и структура ядрышек в большинстве случаев коррелируют с объемом клеточного белкового синтеза, выявляемого биохимическими методами. Размеры ядрышек зависят также от функции и типа клеток.

Увеличение размеров и количества ядрышек (рис. 5) свидетельствует о повышении их функциональной активности. Вновь образованная в ядрышке рибосомальная РНК транспортируется в цитоплазму и, вероятно, через поры внутренней ядерной мембраны. Интенсивный синтез белка в таких случаях подтверждается увеличением количества рибосом эндоплазматической сети.

Гипергранулированные ядрышки с преобладанием гранул над фибриллярной субстанцией могут отражать различное функциональное состояние как ядрышек, так и клетки. Наличие таких ядрышек с хорошо выраженной лакунарной системой и резкой базофилией цитоплазмы

20