Материал: Патан Серов учебник

Внимание! Если размещение файла нарушает Ваши авторские права, то обязательно сообщите нам

Рис.

свидетельствует как о повышенном синтезе р-РНК, так и о трансмиссии. Такие «гиперфункциональные ядрышки» встречаются в молодых плазматических клетках, активных фибробластах, гепатоцитах, во многих опухолевых клетках. Те же гипергранулированные ядрышки со слабовыраженной базофилией цитоплазмы могут отражать нарушение трансмиссии (транспортировки гранул) при продолжающемся синтезе р-РНК. Они обнаруживаются в опухолевых клетках, отличающихся большим ядром и незначительной цитоплазматической базофилией.

Разрыхление (диссоциация) ядрышек, отражающее их гипогрануляцию, может быть следствием «извержения» р-РНК в цитоплазму или торможения ядрышковои транскрипции. Дезорганизация (сегрегация) ядрышекотражает, как правило, полное и быстрое прекращение ядрышковой транскрипции: ядро уменьшается в размерах, наблюдается выраженная конденсация ядрышкового хроматина, происходит разделение гранул и протеиновых нитей. Эти изменения встречаются при энергетическом дефиците клетки.

Ядерные включения

Ядерные включения делят на три группы: ядерные цитоплазматические, истинные ядерные и ядерные вирусобусловленные.

Ядерными цитоплазматическими включениями называют отграниченные оболочкой части цитоплазмы в ядре. Они могут содержать все составные части клетки (органеллы, пигмент, гликоген, капли жира и т.д.). Их появление в большинстве случаев связано с нарушением митотического деления.

21

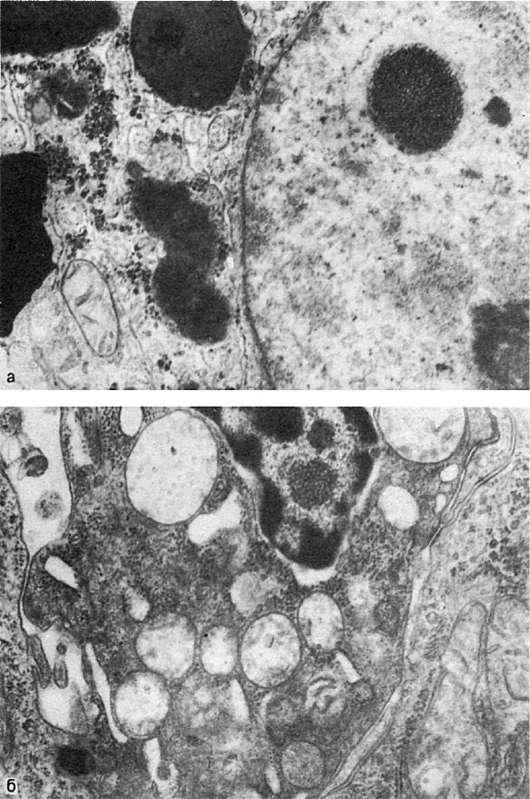
Истинными ядерными включениями считают те, которые расположены внутри ядра (кариоплазмы) и соответствуют веществам, встречающимся

в цитоплазме - белок, гликоген (рис. 6, а), липиды и т.д. В большинстве случаев эти вещества проникают из цитоплазмы в ядро через неповрежденные или поврежденные поры ядерной оболочки или через разрушенную ядерную оболочку. Возможно также проникновение этих веществ в ядро при митозе. Таковы, например, включения гликогена в ядрах печени при сахарном диабете («ядерный гликоген», «дырчатые, пустые, ядра»).

22

Рис.

а - включения гликогена в ядре гепатоцита. х22 500; б - включения вируса в ядре опухолевой клетки

Вирусобусловленные ядерные включения (так называемые тельца ядерных включений) неоднозначны. Во-первых, это ядерные включения в кариоплазме кристаллической решетки

23

вируса (рис. 6, б), во-вторых, включения белковых частиц, возникающих при внутриядерном размножении вируса; в-третьих, ядерные включения как проявление реакции на поражение вирусом цитоплазмы («реактивные включения»).

Ядерная оболочка

Ядерная оболочка выполняет ряд функций, нарушения которых могут служить основой для развития патологии клетки.

Ороли ядерной оболочки в поддержании формы и размера ядра свидетельствует образование внутриядерных трубчатых систем, отходящих от внутренней ядерной мембраны, включений в перинуклеарной зоне - гипертрофия миокарда, легочный фиброз, системный васкулит, саркоидоз, опухоли печени, дерматомиозит (рис. 7).

Оядерной оболочке как месте прикрепления ДНК для облегчения репликации и транскрипциисвидетельствует тот факт, что в ядерной оболочке имеются структуры, модулированные хроматином и в свою очередь ответственные за ориентацию и структуру хроматина. Показано, что функциональная активность ДНК связана с ее распределением при делении клетки и со степенью конденсации в интерфазе, причем повреждение оболочки может вызывать изменения таких участков распределения и быть причиной патологических изменений клетки.

Рис.

7. Микротубулярные включения в перинуклеарной зоне эндотелиоцита при дерматомиозите.

х15 500

В пользу функции ядерной оболочки как физического барьера и модулятора нуклеоцитоплазматического обмена говорит установленная корреляция между

24

изменениями структуры ядерной оболочки, модулем ее пор и выходом РНК в цитоплазму. Контроль ядерной оболочкой транспорта РНК в цитоплазму может оказывать существенное влияние на гомеостаз клетки при патологических состояниях. Участие ядерной оболочки всинтезе мембран не имеет достоверных доказательств, хотя и считают, что эта роль возможна, так как мембраны ядерной оболочки непосредственно переходят в эндоплазматическую сеть цитоплазмы. О возможном влиянии ферментов ядерной оболочки на функцию ядра свидетельствует наличие в ядерной оболочке различных ферментов детоксикации, а также веществ, обеспечивающих «гормональное управление» (аденилатциклаза, рецепторы инсулина и др.).

Патология митоза

В жизненном цикле клетки митоз занимает особое место. С его помощью осуществляется репродукция клеток, а значит, и передача их наследственных свойств. Подготовка клеток к митозу складывается из ряда последовательных процессов: репродукции ДНК, удвоения массы клетки, синтеза белковых компонентов хромосом и митотического аппарата, удвоения клеточного центра, накопления энергии для цитотомии. В процессе митотического деления, как известно, различают 4 основные фазы: профазу, метафазу, анафазу и телофазу.

При патологии митоза может страдать любая из этих фаз. Руководствуясь этим, создана классификация патологии митоза (Алов И.А., 1972), согласно которой выделяются следующие типы патологии митоза.

I. Повреждение хромосом: 1) задержка клеток в профазе; 2) нарушение спирализации и деспирализации хромосом; 3) фрагментация хромосом; 4) образование мостов между хромосомами в анафазе; 5) раннее разъединение сестринских хроматид; 6) повреждение кинетохора.

II. Повреждение митотического аппарата: 1) задержка развития митоза в метафазе; 2) рассредоточение хромосом в метафазе; 3) трехгрупповая метафаза; 4) полая метафаза; 5) многополюсные митозы; 6) асимметричные митозы; 7) моноцентрические митозы; 8) К- митозы.

III. Нарушение цитотомии: 1) преждевременная цитотомия; 2) задержка цитотомии; 3) отсутствие цитотомии.

Патологию митоза могут вызвать различные воздействия на клетку: ультрафиолетовое и ионизирующее излучение, высокая температура, химические вещества, в том числе канцерогены и митотические яды и др. Велико количество патологических митозов при малигнизации тканей (рис. 8).

25