Материал: Патан Серов учебник

Внимание! Если размещение файла нарушает Ваши авторские права, то обязательно сообщите нам

Болезнь Бехтерева (синонимы: болезнь Штрюмпелля-Бехтерева- Мари, анкилозирующий спондилоартрит, ревматоидный спондилит) - хроническое ревматическое заболевание с поражением преимущественно суставно-связочного аппарата позвоночника, ведущим к его неподвижности; возможно вовлечение в процесс периферических суставов и внутренних органов.

Этиология и патогенез. Определенное значение в развитии болезни придается инфекционно-аллергическому фактору, травме позвоночника и главное - наследственности: болеют чаще мужчины, у которых в 80-100% случаев выявляется антиген гистосовместимости HLA-B27. Предполагают возможность аутоиммунизации, так как антиген гистосовместимости HLA-B27, встречающийся почти постоянно у больных анкилозирующим спондилоартритом, сцеплен с геном слабого иммунного ответа. Этим объясняют возможность неполноценной и извращенной иммунной реакции при воздействии бактериальных и вирусных агентов, что определяет развитие хронического иммунного воспаления в позво-

ночнике с остеопластической трансформацией его тканей. Неполноценным и извращенным иммунным ответом объясняют также развитие хронического воспаления и склероза во внутренних органах.

Патологическая анатомия. При анкилозирующем спондилоартрите возникают деструктивновоспалительные изменения в тканях мелких суставов позвоночника, которые мало отличаются от изменений при ревматоидном артрите. В результате длительно текущего воспаления разрушаются суставные хрящи, появляются анкилозы мелких суставов. Соединительная ткань, заполняющая полость суставов, подвергается метаплазии в костную, развиваются костные анкилозы суставов, подвижность их ограничивается. Такой же процесс с образованием кости развивается в межпозвоночных дисках, что ведет к полной неподвижности позвоночного столба. Нарушаются функции сердца и легких, иногда развивается легочная гипертензия. Поражаются и внутренние органы: в аорте, сердце, легких наблюдаются хроническое воспаление и очаговый склероз; развивается амилоидоз с преимущественным поражением почек.

Системная красная волчанка

Системная красная волчанка (болезнь Либмана-Сакса) - острое или хроническое системное заболевание соединительной ткани с выраженной аутоиммунизацией и преимущественным поражением кожи, сосудов и почек. Системная красная волчанка (СКВ) - болезнь молодых женщин, составляющих до 90% заболевших. Однако возможно заболевание у детей и пожилых женщин, редко у мужчин.

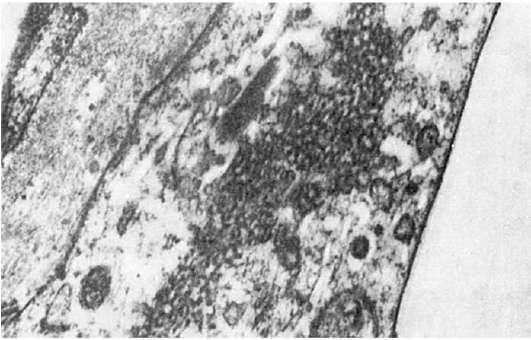
Этиология. Накопилось достаточно фактов в пользу вирусной этиологии СКВ. В эндотелиальных клетках (рис. 175), лимфоцитах и тромбоцитах крови больных СКВ при электронно-микроскопическом исследо-

406

Рис.

175. Системная красная волчанка. Вирусоподобные включения в эндотелии капилляра почечного клубочка (электронно-микроскопическое исследование биоптата почки). х15 000

вании обнаружены вирусоподобные включения. У больных СКВ и их родственников выявлены лимфоцитотоксические антитела, являющиеся маркерами персистирующей вирусной инфекции, и антитела к двухспиральной (вирусной) РНК. Кроме того, при СКВ находят в высоких титрах циркулирующие антитела к вирусам кори, краснухи, парагриппа и другим РНКсодержащим вирусам из группы парамиксовирусов. Однако не исключают, что вирусная инфекция при СКВ развивается вторично на фоне клеточного иммунодефицита. Большое значение имеет наследственное предрасположение.

Патогенез. Развитие болезни связывают с нарушением регуляции гуморального и клеточного иммунитета, снижением Т-клеточного контроля за счет поражения Т-лимфоцитов вирусом. Клинико-лабораторные и иммуноморфологические исследования показывают, что при СКВ имеет место сенсибилизация организма компонентами клеточных ядер (ДНК). В пусковом механизме иммунных нарушений играют роль не только вирусы, но и инсоляция, наследственные факторы. Гуморальные иммунные реакции связаны с наличием в плазме крови широкого спектра аутоантител к различным компонентам ядра и цитоплазмы (к ДНК, РНК, гистонам, нуклеопротеидам), эритроцитам, лимфоцитам, тромбоцитам, но преимущественно к нативной ДНК. В крови появляется большое количество иммунных комплексов, которые вызывают в тканях воспаление и фибриноидный некроз (проявления гиперчувствительности немедленного типа).

Патогенное действие клеточных иммунных реакций (гиперчувствительности замедленного типа) представлено лимфомакрофагальными инфильтратами, разрушающими тканевые элементы. Под влиянием лечения СКВ принимает более медленное и доброкачественное течение.

407

Патологическая анатомия. Изменения при СКВ отличаются большим разнообразием. Заболевание носит выраженный генерализованнъгй характер, отсюда необычайный клинический и морфологический его полиморфизм, создающий большие трудности в диагностике. Изменения, которые обнаруживают при вскрытии умершего, не имеют какихлибо характерных признаков. Патолого-анатомический диагноз обычно устанавливается по совокупности морфологических признаков, а также данных клинического обследования. Однако микроскопическая картина позволяет выяснить признаки, характерные для этого заболевания. Наиболее яркие изменения при СКВ развиваются в рыхлой соединительной ткани (подкожной, околосуставной, межмышечной), в стенках сосудов микроциркуляторного русла, в сердце, почках и органах иммунокомпетентной системы.

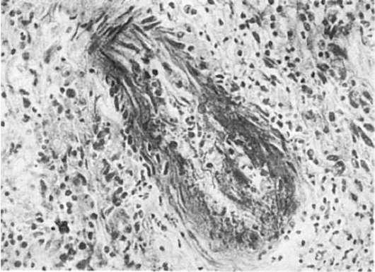
Разнообразные тканевые и клеточные изменения можно разбить на 5 групп. К первой группе относятся острые некротические и дистрофические изменения соединительной ткани. Наблюдаются все стадии прогрессирующей дезорганизации соединительной ткани, фибриноидные изменения и некроз стенок мелких кровеносных сосудов (рис. 176), осо-

Рис.

176. Фибриноидный некроз мелкой артерии при системной красной волчанке

бенно микроциркуляторного русла. Фибриноид при СКВ имеет свои особенности: в нем содержится большое количество распавшегося ядерного белка и глыбок хроматина.

Вторая группа тканевых изменений при СКВ представлена подострым межуточным воспалением всех органов, включая нервную систему, с вовлечением в процесс сосудов микроциркуляторного русла(капилляриты, артериолиты, венулиты). Среди клеток воспалительного инфильтрата преобладают лимфоциты, макрофаги, плазматические клетки.

408

Воспалительный процесс разной интенсивности возникает и в серозных оболочках (полисерозит).

Третью группу составляют изменения склеротического характера. Они развиваются в исходе изменений первой и второй групп. Склероз нередко сочетается со свежими проявлениями дезорганизации соединительной ткани и васкулитами, что свидетельствует об обострении заболевания. К характерным признакам СКВ относится периартериальный

«луковичный» склероз в селезенке (рис. 177).

Четвертая группа представлена изменениями иммунокомпетентной системы. В

костном мозге, лимфатических узлах, селезенке обнаружи-

Рис.

177. Периартериальный «луковичный» склероз в селезенке при системной красной волчанке

ваются очаговые скопления лимфоцитов и плазматических клеток, продуцирующих иммуноглобулины. Встречается гиперплазия вилочковой железы с лимфоидными фолликулами. Отмечается повышенная фагоцитарная активность макрофагов. В селезенке и лимфатических узлах появляются белковые преципитаты, возникающие в результате диспротеиноза.

К пятой группе изменений относится ядерная патология, наблюдаемая в клетках всех органов и тканей, но главным образом в лимфатических узлах. Конфигурация ядер сохраняется, но они постепенно теряют ДНК и при окраске ядерными красителями становятся бледными. При гибели клетки ядро определяется в виде светло окрашенного ядерными красителями тела, в дальнейшем оно распадается на глыбки. Такие ядра называютгематоксилиновыми тельцами, которые считают специфичными для СКВ. В связи

409

с появлением антиядерных антител (волчаночный фактор) наблюдается еще один иммунопатологический феномен, характерный для СКВ. Он состоит в том, что нейтрофилы и макрофаги фагоцитируют клетки с поврежденными ядрами и образуют так называемые волчаночные клетки (рис. 178). Обнаружение их в крови является одним из достоверных признаков СКВ. Эти клетки могут появляться в костном мозге, селезенке, лимфатических узлах, стенке сосудов.

Все пять групп тканевых и клеточных изменений при СКВ обычно обнаруживаются в разных сочетаниях, но выраженность их может быть разной в зависимости от остроты и длительности течения болезни.

Висцеральные проявления системной красной волчанки различны. Сердце при СКВ поражается в 1/3 случаев; изменения могут наблюдаться во всех его слоях - эндокарде, миокарде, перикарде. У части больных развивается абактериальный бородавчатый эндокардит, названный по имени описавших его авторовэндокардитом Либмана и Сакса.

Как уже говорилось, сосуды разного калибра подвергаются значительным изменениям, особенно сосуды микроциркуляторного русла - возникают артериолиты, капилляриты и венулиты. В стенке аорты в связи с поражением ее микрососудов появляются вторичные изменения в виде эластолиза и мелких рубчиков в средней оболочке. В разных органах васкулиты вызывают вторичные изменения - дистрофию паренхиматозных элементов, некроз.

Почки часто поражаются при СКВ. Возникает два варианта гломерулонефрита: один с характерными морфологическими признаками - волчаночный нефрит, другой - без этих признаков, имеющий обычную

Рис. 178. Волчаночная клетка (показана стрелкой)

410