Материал: Патан Серов учебник

Внимание! Если размещение файла нарушает Ваши авторские права, то обязательно сообщите нам

Эндокардит -

воспаление эндокарда - одно из ярких проявлений ревматизма. По локализации различают эндокардит клапанный, хордальный ипристеночный. Наиболее выраженные изменения развиваются в створках митрального или аортального клапанов. Изолированное поражение клапанов правого сердца наблюдается очень редко и при наличии эндокардита клапанов левого сердца.

При ревматическом эндокардите отмечаются дистрофические и некробиотические изменения эндотелия, мукоидное, фибриноидное набухание и некроз соединительной основы эндокарда, клеточная пролиферация (гранулематоз) в толще эндокарда и тромбообразование на его поверхности. Сочетание этих процессов может быть различным, что позволяет выделить несколько видов эндокардита. Выделяют 4 вида ревматического клапанного эндокардита

396

(Абрикосов А.И., 1947): 1) диффузный, или вальвулит; 2) острый бородавчатый; 3) фибропластический; 4) возвратнобородавчатый.

Диффузный эндокардит, или вальвулит (по В.Т. Талалаеву), характеризуется диффузным поражением створок клапанов, но без изменений эндотелия и тромботических наложений. Острый бородавчатый эндокардитсопровождается повреждением эндотелия и образованием по замыкающему краю створок (в местах повреждения эндотелия) тромботических наложений в виде бородавок (рис. 168). Фибропластический эндокардит развивается как следствие двух предыдущих форм эндокардита при особой склонности процесса к фиброзу и рубцеванию. Возвратно-бородавчатый

эндокардит характеризуется повторной дезорганизацией соединительной ткани клапанов, изменением их эндотелия и тромботическими наложениями на фоне склероза и утолщения створок клапанов (рис. 169). В

исходе эндокардита развиваются склероз и гиалиноз эндокарда, что приводит к его утолщению и деформации створок клапана, т.е. к развитию порока сердца (см. Порок сердца).

Миокардит - воспаление миокарда, постоянно наблюдающееся при ревматизме. Выделяют 3 его формы: 1) узелковый продуктивный (гранулематозный); 2) диффузный межуточный экссудативный; 3) очаговый межуточный экссудативный.

Узелковый продуктивный (гранулематозный) миокардит характеризуется образованием в периваскулярной соединительной ткани миокарда ревматических гранулем (специфический ревматический миокардит - см. рис. 167). Гранулемы, распознающиеся только при микроскопическом исследовании, рассеяны по всему миокарду, наибольшее их число встречается в ушке левого предсердия, в межжелудочковой перегородке и задней стенке левого желудочка. Гранулемы находятся в различных фазах развития. «Цветущие («зрелые») гранулемы наблюдаются в период атаки ревматизма, «увядающие» или «рубцующиеся» - в период ремиссии. В исходе узелкового миокардита развивается периваскулярный

397

склероз, который усиливается по мере прогрессирования ревматизма и может приводить к выраженному кардиосклерозу.

Диффузный межуточный экссудативный миокардит, описаннъгй М.А. Скворцовым,

характеризуется отеком, полнокровием интерстиция миокарда и значительной инфильтрацией его лимфоцитами, гистиоцитами, нейтрофилами и эозинофилами. Ревматические гранулемы встречаются крайне редко, в связи с чем говорят о неспецифическом диффузном миокардите. Сердце становится очень дряблым, полости его расширяются, сократительная способность миокарда в связи с развивающимися в нем дистрофическими изменениями резко нарушается. Эта форма ревматического миокардита встречается в детском возрасте и довольно быстро может заканчиваться декомпенсацией и гибелью больного. При благоприятном исходе в миокарде развиваетсядиффузный кардиосклероз.

Очаговый межуточный экссудативный миокардит характеризуется незначительной очаговой инфильтрацией миокарда лимфоцитами, гистиоцитами и нейтрофилами. Гранулемы образуются редко. Эта форма миокардита наблюдается при латентном течении ревматизма.

При всех формах миокардита встречаются очаги повреждения и некробиоза мышечных клеток сердца. Такие изменения сократительного миокарда могут быть причиной декомпенсации даже в случаях с минимальной активностью ревматического процесса.

Перикардит имеет характер серозного, серозно-фибринозного или фибринозного и нередко заканчивается образованием спаек. Возможна облитерация полости сердечной сорочки и обызвествление образующейся в ней соединительной ткани (панцирное сердце).

При сочетании эндо- и миокардита говорят о ревматическом кардите, а при сочетании эндо-, мио- и перикардита - о ревматическом панкардите.

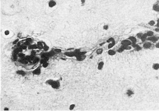
Сосуды разного калибра, в особенности микроциркуляторного русла, постоянно вовлекаются в патологический процесс. Возникают ревматические васкулиты - артерииты, артериолиты и капилляриты. В артериях и артериолах возникают фибриноидные изменения стенок, иногда тромбоз. Капилляры окружаются муфтами из пролиферирующих адвентициальных клеток. Наиболее выражена пролиферация эндотелиальных клеток, которые слущиваются. Такая картина ревматического эндотелиоза характерна для активной фазы заболевания. Проницаемость капилляров резко повышается. Васкулиты при ревматизме носят системный характер, т.е. могут наблюдаться во всех органах и тканях (рис. 170). В исходе ревматического васкулита развивается склероз сосудов (артериосклероз, артериолосклероз, капилляросклероз).

Поражение суставов - полиартрит - считается одним из постоянных проявлений ревматизма. В настоящее время оно встречается у 10-15% больных. В полости сустава появляется серозно-фибринозный выпот. Синовиальная оболочка полнокровна, в острой фазе в ней наблюдаются мукоидное набухание, васкулиты, пролиферация синовиоцитов. Суставной хрящ обычно сохраняется. Деформации обычно не развиваются. В

398

околосуставных тканях, по ходу сухожилий соединительная ткань может подвергаться дезорганизации с гранулематозной клеточной реакцией. Возникают крупные узлы, что характерно для нодозной (узловатой) формы ревматизма. Узлы состоят из очага фибриноидного некроза, окруженного валом из крупных клеток макрофагального типа. С течением времени такие узлы рассасываются, и на их месте остаются рубчики.

Поражение нервной системы развивается в связи с ревматическими васкулитами (см.

рис. 170) и может выражаться дистрофическими изменениями нервных клеток, очагами деструкции мозговой ткани и кровоизлияниями. Такие изменения могут доминировать в клинической картине, что чаще встречается у детей -церебральная форма ревматизма

(малая хорея).

При ревматической атаке наблюдаются воспалительные изменения серозных оболочек (ревматический полисерозит), почек (ревматический очаговый или диффузный гломерулонефрит), легких с поражением сосудов и интерстиция (ревматическая пневмония), скелетных мышц (мышечный

Рис.

170. Капиллярит и артериолит головного мозга при ревматизме

ревматизм), кожи в виде отека, васкулитов, клеточной инфильтрации (нодозная эритема), эндокринныхжелез, где развиваются дистрофические и атрофические изменения.

В органах иммунной системы находят гиперплазию лимфоидной ткани и плазмоклеточную трансформацию, что отражает состояние напряженного и извращенного (аутоиммунизация) иммунитета при ревматизме.

399

Клинико-анатомические формы. По преобладанию клинико-морфологических проявлений заболевания выделяются (в известной мере условно) следующие описанные выше формы ревматизма: 1) кардиоваскулярная; 2) полиартритическая; 3) нодозная (узловатая); 4) церебральная.

Осложнения ревматизма чаще связаны с поражением сердца. В исходе эндокардита возникают пороки сердца. Бородавчатый эндокардит может стать источником тромбоэмболии сосудов большого круга кровообращения, в связи с чем

возникают инфаркты в почках, селезенке, в сетчатке, очаги размягчения в головном мозге, гангрена конечностей и т.д. Ревматическая дезорганизация соединительной ткани приводит к склерозу, особенно выраженному в сердце. Осложнением ревматизма могут стать спаечные процессы в полостях (облитерация полости плевры, перикарда и т.д.).

Смерть от ревматизма может наступить во время атаки от тромбоэмболических осложнений, но чаще больные умирают от декомпенсированного порока сердца.

Ревматоидный артрит

Ревматоидный артрит (синонимы: инфекционный полиартрит, инфект-артрит) - хроническое ревматическое заболевание, основу которого составляет прогрессирующая дезорганизация соединительной ткани оболочек и хряща суставов, ведущая к их деформации.

Этиология и патогенез. В возникновении заболевания допускается роль бактерий (β- гемолитический стрептококк группы В), вирусов, микоплазмы. Большое значение придается генетическим факторам. Известно, что заболевают ревматоидным артритом преимущественно женщины - носители антигена гистосовместимости HLA/B27 и D/DR4. В генезе тканевых повреждений - как локальных, так и системных - при ревматоидном артрите важная роль принадлежит высокомолекулярным иммунным комплексам. Эти комплексы содержат в качестве антигена IgG, а в качестве антитела - иммуноглобулины различных классов (IgM, IgG, IgA), которые называютревматоидным фактором.

Ревматоидный фактор продуцируется как в синовиальной оболочке (его находят в синовиальной жидкости, синовиоцитах и в клетках, инфильтрирующих ткани сустава), так и влимфатических узлах (ревматоидный фактор циркулирующих в крови иммунных комплексов). Изменения тканей суставов в значительной мере связаны с синтезируемым местно, в синовиальной оболочке, ревматоидным фактором, относящимся преимущественно к IgG. Он связывается с Fc-фрагментом иммуноглобулинаантигена, что ведет к образованию иммунных комплексов, активирующих

комплемент и хемотаксис нейтрофилов. Эти же комплексы реагируют с моноцитами и макрофагами, активируют синтез простагландинов и интерлейкина I, которые стимулируют выброс клетками синовиальной оболочки коллагеназы, усиливая повреждение тканей.

Иммунные комплексы, содержащие ревматоидный фактор и циркулирующие в крови, осаждаясь на базальных мембранах сосудов, в клетках и тканях, фиксируют

400