Материал: Патан Серов учебник

Внимание! Если размещение файла нарушает Ваши авторские права, то обязательно сообщите нам

активированный комплемент и вызывают воспаление. Оно касается прежде всего сосудов микроциркуляции (васкулит). Помимо гуморальных иммунных реакций, при ревматоидном артрите имеют значение и реакции гиперчувствительности замедленного типа,проявляющиеся наиболее ярко в синовиальной оболочке.

Патологическая анатомия. Изменения возникают в тканях суставов, а также в соединительной ткани других органов.

Всуставах процессы дезорганизации соединительной ткани определяются в околосуставной ткани и в капсуле мелких суставов кистей рук и стоп, обычно симметрично захватывая как верхние, так и нижние конечности. Деформация наступает сначала в мелких, а затем в крупнъгх, обычно в коленных, суставах.

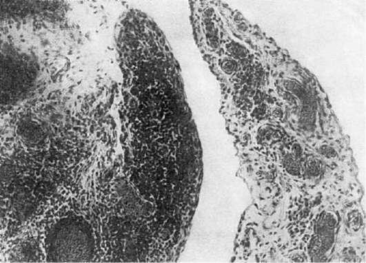
Воколосуставной соединительной ткани первоначально наблюдаются мукоидное набухание, артериолиты и артерииты. Далее наступает фибриноидный некроз, вокруг очагов фибриноидного некроза появляются клеточные реакции: скопления крупных гистиоцитов, макрофагов, гигантских клеток рассасывания. В итоге на месте дезорганизации соединительной ткани развивается зрелая волокнистая соединительная ткань с толстостенными сосудами. При обострении заболевания те же изменения возникают в очагах склероза. Описанные очаги фибриноидного некроза носят название ревматоидных узлов (рис. 171). Они появляются обычно около крупных суставов в виде плотных образований размером до лесного ореха. Весь цикл их развития от начала возникновения мукоидного набухания до образования рубца занимает 3-5 мес.

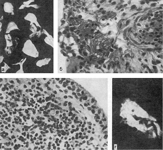
Всиновиальной оболочке воспаление появляется в самые ранние сроки заболевания. Возникает синовит(рис. 172) - важнейшее морфологическое проявление болезни, в развитии которого выделяют три стадии.

Впервой стадии синовита в полости сустава скапливается мутноватая жидкость; синовиальная оболочка набухает, становится полнокровной, тусклой. Суставной хрящ сохранен, хотя в нем могут появляться поля, лишенные клеток, и мелкие трещины. Ворсины отечные, в их строме - участки мукоидного и фибриноидного набухания, вплоть до некроза некоторых ворсин. Такие ворсины отделяются в полость сустава и из них образуются плотные слепки - так называемые рисовые тельца. Сосуды микроциркуляторного русла полнокровны, окружены макрофагами, лимфоцитами, нейтрофилами, плазматическими клетками; местами появляются кровоизлияния. В стенке фибриноидно-измененных артериол обнаруживают иммуноглобулины. В ряде ворсин определяется пролиферация синовиоцитов.

Вцитоплазме плазматических клеток обнаруживается ревматоидный фактор. В синовиальной жидкости увеличивается содержание

401

Рис.

171. Ревматоидный узел:

а - фибриноидныи некроз в околосуставной ткани с клеточной реакцией на периферии; б - сформированный ревматоидный узелок в легком с некрозом и распадом в центре

нейтрофилов, причем в цитоплазме некоторых из них также обнаруживается ревматоидный фактор. Такие нейтрофилы названы рагоцитами (от греч. ragos - гроздь винограда). Их образование сопровождается активацией ферментов лизосом, выделяющих медиаторы

402

воспаления и тем самым способствующих его прогрессированию. Первая стадия синовита иногда растягивается на несколько лет.

Рис.

172. Синовит при ревматоидном артрите:

а - рисовые тельца; б - синовит; в - плазматические клетки инфильтрата; г - фиксация IgG в стенке артериолы

Во второй стадии синовита наблюдается разрастание ворсин и разрушение хряща. По краям суставных концов костей постепенно возникают островки грануляционной ткани, которая в виде пласта - паннуса (от лат.pannus - лоскут) наползает на синовиальную оболочку и на суставной хрящ. Этот процесс особенно ярко выражен в мелких суставах кистей рук и стоп. Межфаланговые и пястно-пальцевые суставы легко подвергаются вывиху или подвывиху с типичным отклонением пальцев в наружную (ульнарную) сторону, что придает кистям вид плавников моржа. Аналогичные изменения наблюдаются в суставах и костях пальцев нижних конечностей. В крупных суставах в этой стадии отмечаются ограничение подвижности, сужение суставной щели и остеопороз эпифизов костей. Наблюдается утолщение капсулы мелких суставов, ее внутренняя поверхность неровная, неравномерно полнокровная, хрящевая поверхность тусклая, в хряще видны узуры, трещины. В крупных суставах отмечается срастание соприкасающихся поверхностей синовиальной оболочки.

403

При микроскопическом исследовании местами виден фиброз синовиальной оболочки, местами - очаги фибриноида. Часть ворсин сохранена и разрастается, строма их пронизана лимфоцитами и плазматически-

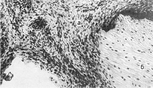
ми клетками. Местами в утолщенных ворсинах формируются очаговые лимфоидные скопления в виде фолликулов с зародышевыми центрами (рис. 173) - синовиальная оболочка становится органом иммуногенеза. В плазматических клетках фолликулов выявляется ревматоидный фактор. Среди ворсин встречаются поля грануляционной ткани, богатой сосудами и состоящей из нейтрофилов, плазматических клеток, лимфоциов и макрофагов. Грануляционная ткань разрушает и замещает ворсинки, нарастает на поверхность хряща и проникает в его толщу через небольшие трещины (рис. 174). Гиалиновый хрящ под влиянием грануляций постепенно истончается, расплавляется; костная поверхность эпифиза обнажается. Стенки сосудов синовиальной оболочки утолщены и гиалинизированы.

Рис.

173. Синовит при ревматоидном артрите. Образование лимфоидных фолликулов в толще ворсин

404

Рис.

174. Ревматоидный артрит. Грануляционная ткань (а) «наползает» на суставной хрящ (б)

Третья стадия ревматоидного синовита, которая развивается иногда через 20-30 лет от начала заболевания, характеризуется появлением фиброзно-костного анкилоза. Наличие различных фаз созревания грануляционной ткани в полости сустава (от свежих до Рубцовых) и масс фибриноида свидетельствует о том, что в любой стадии болезни, иногда даже при многолетнем ее течении, процесс сохраняет свою активность и неуклонно прогрессирует, что приводит к тяжелой инвалидизации больного.

Висцеральные проявления ревматоидного артрита обычно выражены незначительно. Они проявляются изменениями соединительной ткани и сосудов микроциркуляторного русла серозных оболочек, сердца, легких, иммунокомпетентной системы и других органов. Довольно часто возникают васкулиты и полисерозит,поражение почек в виде гломерулонефрита, пиелонефрита, амилоидоза. Реже встречаются ревматоидные узлы и участки склероза в

миокарде и легких.

Изменения иммунокомпетентной системы характеризуются гиперплазией лимфатических узлов, селезенки, костного мозга; выявляется плазмоклеточная трансформация лимфоидной ткани, причем имеется прямая зависимость между выраженностью гиперплазии плазматических клеток и степенью активности воспалительного процесса.

Осложнения. Осложнениями ревматоидного артрита являются подвывихи и вывихи мелких суставов, ограничение подвижности, фиброзные и костные анкилозы, остеопороз. Самое грозное и частое осложнение -нефропатический амилоидоз.

Смерть больных ревматоидным артритом наступает часто от почечной недостаточности в связи с амилоидозом или от ряда сопутствующих заболеваний - пневмонии, туберкулеза и др.

Болезнь Бехтерева

405